Oral Pathology "Weird & Wonderful" retweetledi

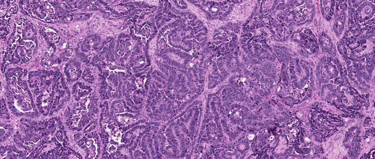
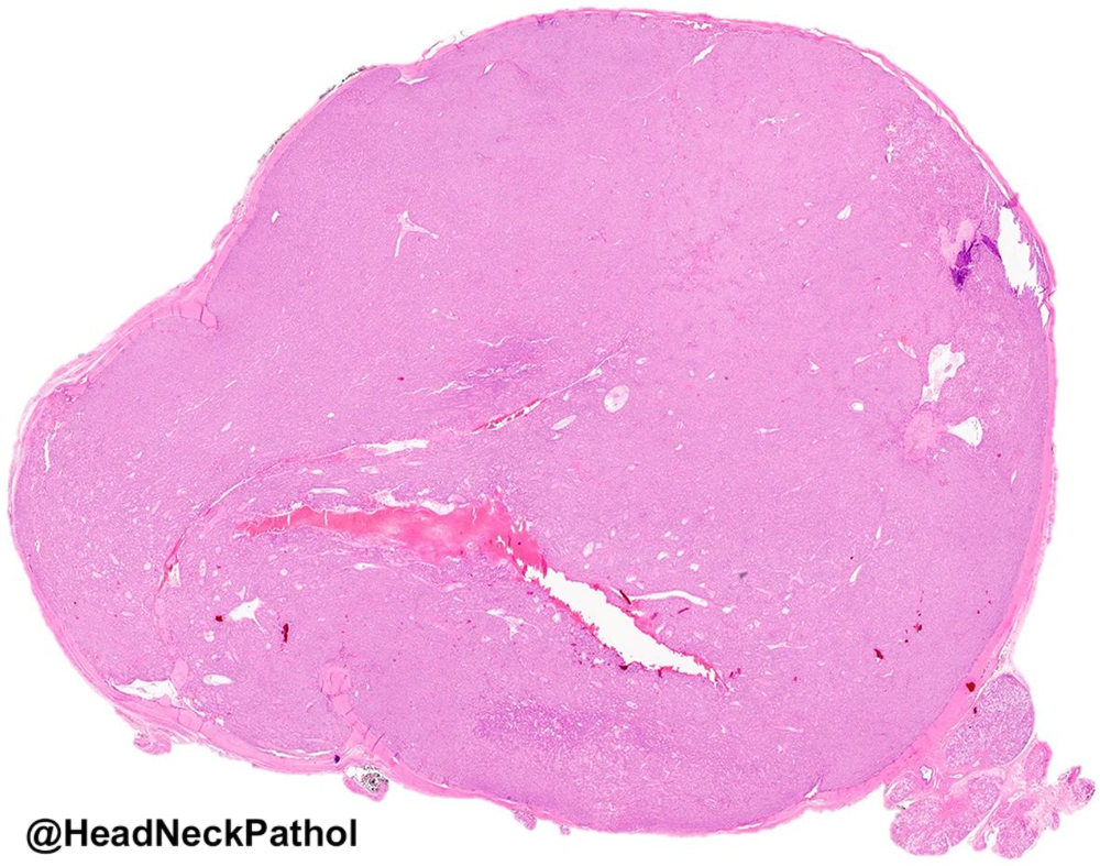
30 F. Mass in lumen of femoral vein. Diagnosis?
Answer ✅ youtu.be/9pBgqdjgEgY?si…
WSI digital slides: kikoxp.com/posts/21727
Immunostains: kikoxp.com/posts/21729
#pathology #pathologists #pathTwitter #dermpath #dermatology #dermatologia #dermtwitter #BSTpath

YouTube

English


















































