Otolaryngology Cases

48 posts

Otolaryngology Cases banner
Otolaryngology Cases

Otolaryngology Cases

@OtoCases

Official Twitter of the Otolaryngology Case Reports Journal

Katılım Aralık 2019
11 Takip Edilen453 Takipçiler
Otolaryngology Cases
Otolaryngology Cases@OtoCases·
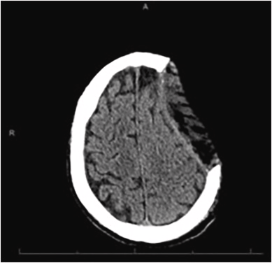
Have you heard of sinking skin flap syndrome? 😮 An important one to keep in mind for reconstruction of large scalp defects for malignancies with skull erosion. Learn more here in this case report by Ovaitt et al! sciencedirect.com/science/articl…
Otolaryngology Cases tweet media
English
0
1
7
0
Otolaryngology Cases
Otolaryngology Cases@OtoCases·
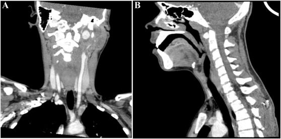
The ossification of these ligaments meant the loss of flexibility and, rather than accommodate the applied force, maintained their structure and pierced the retro-pharynx! Link to the case report is above!
English
0
0
3
0
Otolaryngology Cases
Otolaryngology Cases@OtoCases·
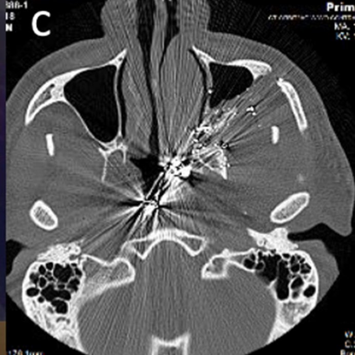
The correct answer for the poll below was actually "Eagle's Syndrome related trauma"! The patient had bilaterally elongated styloid processes seen in the image below, which along with calcified stylohyoid ligaments and the hyoid formed a ring in the neck sciencedirect.com/science/articl…
Otolaryngology Cases tweet mediaOtolaryngology Cases tweet media
English
2
2
5
0
Otolaryngology Cases
Otolaryngology Cases@OtoCases·
"Cases like this illustrate the need to keep internal carotid artery pseudoaneurysms in the differential, especially given children's susceptibility to infectious arteritis "
English
0
0
1
0
Otolaryngology Cases
Otolaryngology Cases@OtoCases·
"The patient's original pharyngitis was thought to have developed into a cellulitis, creating a phlegmon that rapidly compromised and eroded into the carotid sheath, leading to separation of the internal carotid artery walls and the development of the pseudoaneurysm."
English
1
0
1
0
Otolaryngology Cases
Otolaryngology Cases@OtoCases·
Happy Sunday! Check out this fascinating case about an internal carotid artery pseudoaneurysm presenting as a peritonsillar abscess in a 14-year old with persistent sore throat and emesis after dental work. sciencedirect.com/science/articl…
Otolaryngology Cases tweet media
English
1
3
7
0
Otolaryngology Cases
Otolaryngology Cases@OtoCases·
Interesting report from @UMichOto on the importance of a broad differential for ear canal masses! Learn more about this mystery lesion which may be associated with Carney complex, and should be worked up for associated cardiac and endocrine abnormalities! cutt.ly/cjCjdx5
Otolaryngology Cases tweet media
English
1
4
10
0
Otolaryngology Cases
Otolaryngology Cases@OtoCases·
Happy New Year to all our followers! We look forward to exciting new research in 2021!
English
1
1
11
0