
Patrick J. McIntire
4.1K posts

Patrick J. McIntire
@PatMcIntireMD
Director Breast Pathology. Attending physician at The Cleveland Clinic. Breast and Cytopathology. Path trained at Weill Cornell and Loyola. Views are my own.

















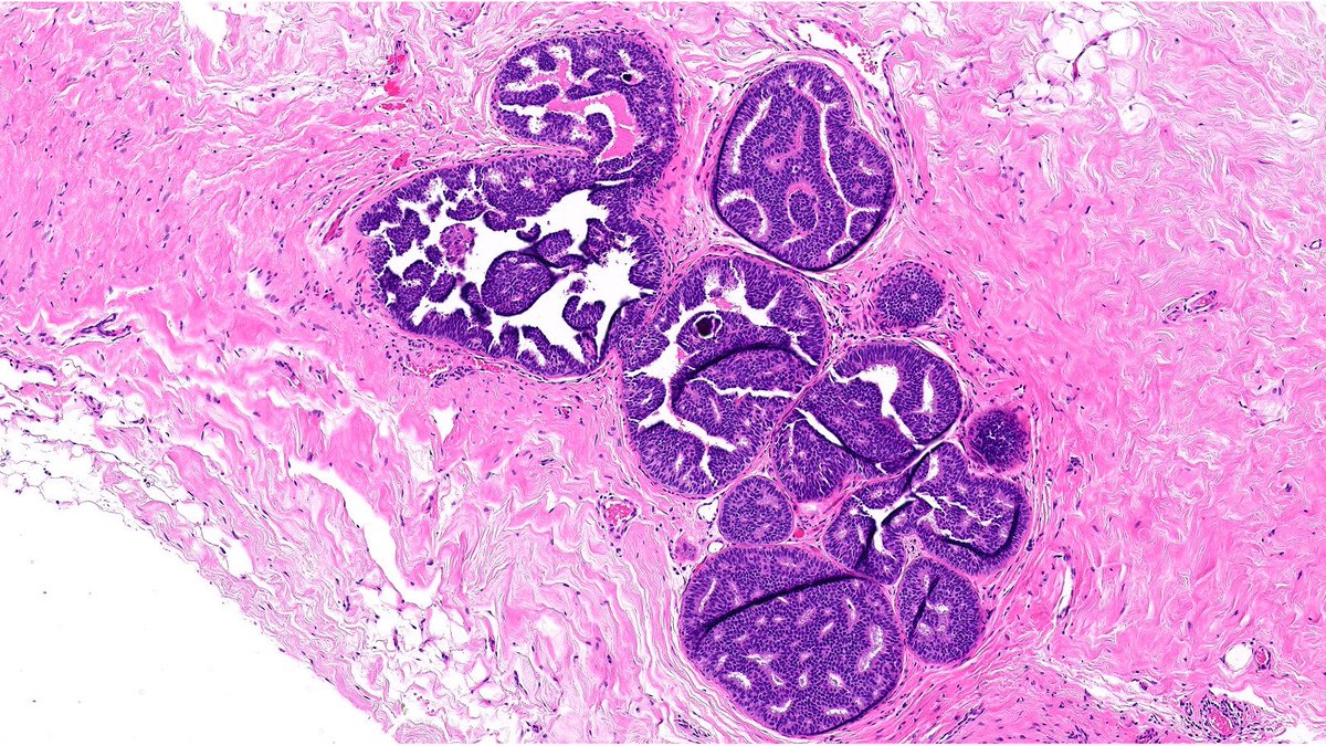
What’s the diagnosis of this papillary breast lesion? 🔬 Cast your vote below 👇 Answer revealed Monday! #PathX #PathTwitter #breastpath #PathQuiz











Delighted to share our latest article, "Challenges in papillary tumors of breast", published with my wonderful colleague @RazaHoda in @Human_Pathology! It's always a joy working together. Check it out here sciencedirect.com/science/articl…


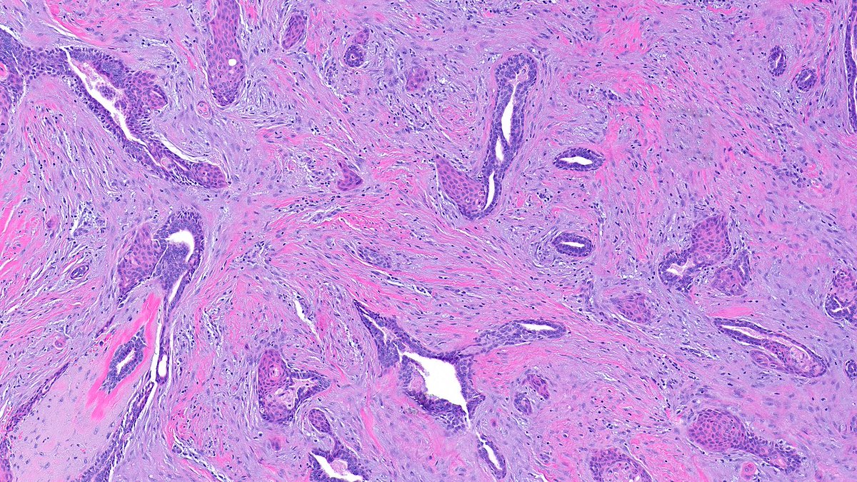
What is the diagnosis of this cutaneous lesion of breast? 🔬 Poll in the comments 👇 Answer to be posted on Monday #PathX #PathTwitter #breastpath #PathQuiz

New in #HumPathol: Clinicopathologic characterization of hormone-receptor positive, human epidermal growth factor receptor 2 Null, Ultralow, and Low breast carcinoma in the metastatic setting. sciencedirect.com/science/articl… #pathology #PathTwitter #PathX #breastpath







