
Ignacio Ruz-Caracuel
763 posts

Ignacio Ruz-Caracuel
@PathRuzCaracuel
Pathologist at @RyCpatologia (Madrid, Spain). Histologist. PhD stud. @UAM_Madrid. Morphology 🔗 Molecular. #pathology #GIPath #NeuroPath #EndoPath


















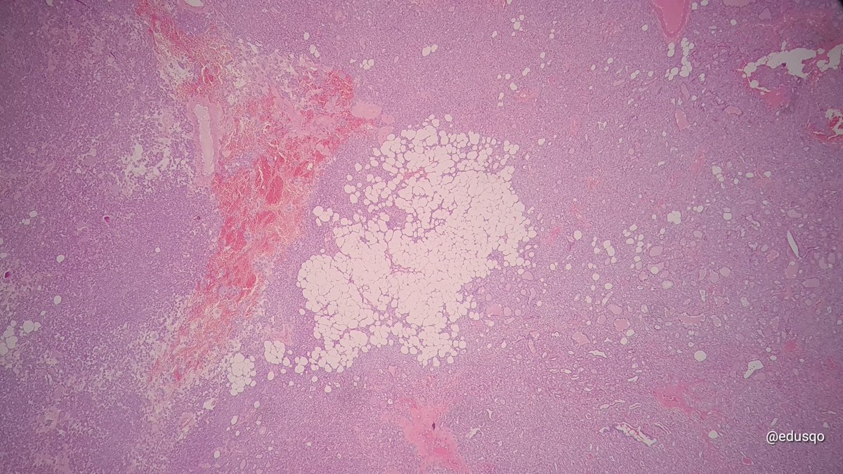
Part 5. Time for histology: lesion showing FAT, papillae (blue circle), follicles, macrofollicles and PTC nuclear features. The recent post by @DrJuhlin brought this case to my mind: PTC WITH ADIPOSE METAPLASIA. In fact, the nodule was hyperechoic, as fat is (I will upload it)




Mi rotación por derma me está fascinando. Que maravilla cuando te dejan hacer cosas y no eres solo un ficus. Si tuviera capacidad para sacar un 100 en el mir, hacía derma 100%.






Dear #pathtwitter friends! We are trying to assess practice & perceptions re: optimal lymph node harvest in colorectal ca specimens. Please take this short survey & share with friends/ colleagues! Thank you all! @BIDMCpath @Vik_deshpandeMD #GIpath forms.gle/VrurJ6f9RhXQer…










2020 has been a tough year of loss, so let's say bye with an exciting new project: WELCOME THE #NoNamePolyp STUDY! Ever come across one of these oddities? Please contact us! (See below for already on board contributors) LET'S PUT A NAME TO IT #Pathology #GIPath











