
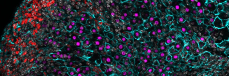
Nous disposons d'un contrat d'assistant(e) ingénieur(e) de 13 mois pour des projets de développement de nouvelles thérapeutiques pour le cancer de la corticosurrénale. N'hésitez pas à postuler !
urlz.fr/qfVv
@CNRS @GReD_Clermont
Français
VAL Pierre
183 posts

@PierreVAL_GReD
Group Leader, Molecular Pathophysiology of Adrenal and Endocrine Tissues Experience in mouse models of endocrine tissues diseases @CNRS @GRED_Clermont


Just a few weeks left to register under the early bird registration for the XIX International #Adrenal Meeting. Be there or be 🟪! 😉 meeting is May 29-31st in Boston, MA USA. eventsquid.com/mobileapp.cfm?…








#EuropeanHormoneDay is back! On 15 May we invite you to join us in raising awareness of the importance of good hormone health + promote better policies for endocrine patients. Follow using #BecauseHormonesMatter + visit europeanhormoneday.org for details.














