Ryan Hick, MD
1.1K posts

Ryan Hick, MD
@RyanHickMD
Derm/Dermpath @ProPath and @UTSWDerm. @BYU @DukeMedSchool @DukeDermatology Alum. Opinions are mine, not medical advice. Likes/RT are not endorsements.
Dallas, Texas Katılım Eylül 2013
545 Takip Edilen2.2K Takipçiler

@RoxanaDaneshjou Many great pearls in Thriving in Chaos at #AAD2022 @KariWanat taught on handling email onslaught everyday better by setting and limiting email time. Work through each email by one without skipping & deciding next step. #inboxzero
English

@HarkerDavid So cold this morning in Boston at #AAD2022 but worth it for some great content. Happy to be back in warm Texas.
English

Had a great experience at #AAD2022! Learned a lot, caught up with friends & colleagues, and explored Boston! My hair did freeze walking to the conference this AM tho so ready to head back to NC
English

@MishaRosenbach Saw that too. Kinda freaked me out
Boston, MA 🇺🇸 English

@HarkerDavid Haha we did Giacomo’s and Mike’s Pastry’s last night too. Must have just missed you
English

.@RepKenMarchant Physician practices already strained by the pandemic are facing detrimental Medicare cuts starting on Jan. 1. Please support physicians and patients by cosponsoring H.R. 8702 and supporting its passage before the end of the year.
English
Ryan Hick, MD retweetledi
Ryan Hick, MD retweetledi

A critically important scientific #COVID19 publication that I am honored to be a part of! Let’s spread widely on #MedTwitter and #dermtwitter to help increase awareness about #Skin manifestations of this #virus. #dermatology
Esther Freeman MD PhD@DrEstherFreeman
Our new paper on #dermatologic manifestations of #COVID19 is available @JAADjournals: 716 cases from 31 countries, 171 of which are lab confirmed. @MishaRosenbach @juleslipoff @carriekovarik @SeemalRDesaiMD @GeorgeHruza @lindyfox1 #dermtwitter #MedTwitter jaad.org/article/S0190-…
English

@HarkerDavid If you haven’t yet read or listened to Les Misérables by Victor Hugo just do it. It’s a phenomenal story that can really change you.
English

@CrystalAguhMD Heard your talk at the Texas Derm Society meeting last year. Excellent! We see a lot of hair problems at Parkland and apply a lot of what you shared in clinic. Thank you!
English
Ryan Hick, MD retweetledi

What's your #dermatology #diagnosis? Short #tweetorial at youtu.be/3g4fh4wfK-Y
Clinical photo courtesy of Ronnie Klein, MD, MPH.
#pathology

YouTube

English
Ryan Hick, MD retweetledi
Ryan Hick, MD retweetledi

Total melanonychia of 20 nails as a rare manifestation of vitamin B12 deficiency bit.ly/2TspkS2


English
Ryan Hick, MD retweetledi

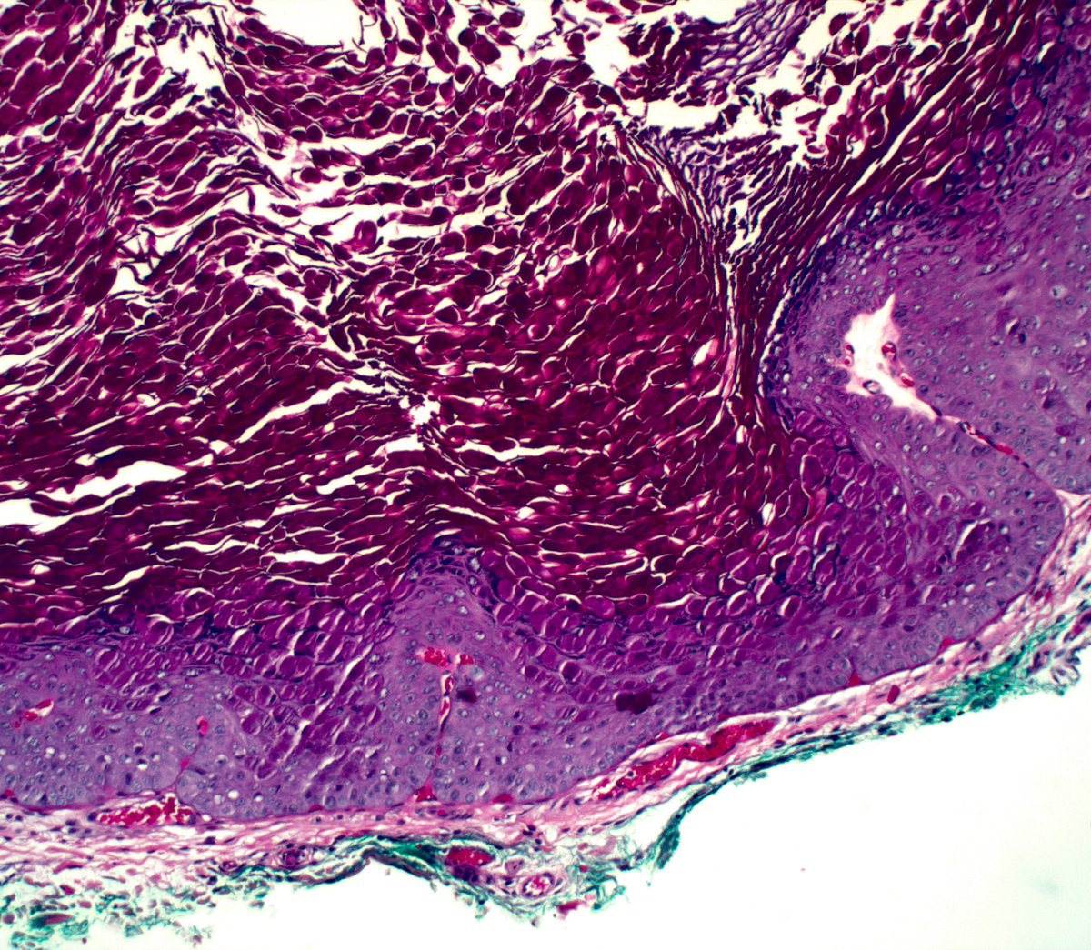
What's your #dermatology #diagnosis? Short #tweetorial at youtu.be/Thlfm7HR7TU
Clinical photo courtesy of Jonathan Leventhal, MD
#Dermatology #dermatopathology

YouTube

English
Ryan Hick, MD retweetledi

🔬Molluscum contagiosum.
👤72F. Chest.
Textbooks say it is a childhood disease or passed sexually. Anecdotally, any body can get it anywhere at any age.
#dermpath #dermatology #dermtwitter #pathology
@ProPathDerm @ProPath


English













