Jonathan He
3.8K posts

Jonathan He
@HoustonArsenal
Pathologist | Past AP/CP & co-chief resident @UTSW_Pathology; Surg path fellow @BWHPath; Dermpath fellow @MDAndersonNe | Opinions are mine
Dallas, TX Katılım Şubat 2011
1.4K Takip Edilen1.1K Takipçiler

🚨Spoiler alert. What a delivery right before #USCAP2026! Our study on DPN-like melanomas, featuring a new, nonconventional pathway beyond CTNNB1 and APC mutations, will be online soon. Stay tuned! 😆🔬
#dermpath #MDACCPath #molepath 🧬

English
Jonathan He retweetledi

I’m updating mediastinum section and looking for images of T-cell lymphoblastic leukemia/lymphoma. Anyone have a case that they would like to contribute? Thanks. #hemepath
English
Jonathan He retweetledi
Jonathan He retweetledi

❤️🤍⭐️ Max Dowman becomes Arsenal youngest goalscorer ever in Premier League!
16 years, 73 days. 💎 #AFC

English

@DrSamuelBHume May also be interesting to have the patent expiration year marked for those top drugs.
English

@DrAldehyde @katcollmd Congrats! Not the first time, not the last time😄
English

What a pleasant surprise! Our article has been selected as the front cover of this month’s issue of JPTM. I’m glad that the editorial team was impressed by the comprehensiveness of our review article and its high-quality images. 😆🔬
#dermpath #MDACCpath
jpatholtm.org/journal/view.p…

English
Jonathan He retweetledi

Do you want to learn about mesenchymal tumors of the GI tract? Join us at the Cleveland Clinic Soft Tissue Pathology Course May 14-17. 150 brand new digital cases available for preview!! VIRTUAL and in person options! Interactive format! #bst #PATH #pathtwitter #digitalpath #dermpath #sarcoma #gipath #pathology
Link:
na01.safelinks.protection.outlook.com/?url=https%3A%…

English

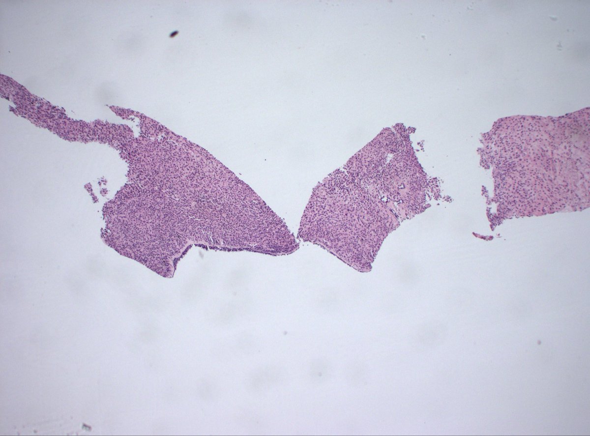
@STEVENKOLKERMD I feel the degree of atypia is beyond reactive atypia. Even though architecture wise it is not the best fit, I prefer to call it HAK or even focal SCCIS
English

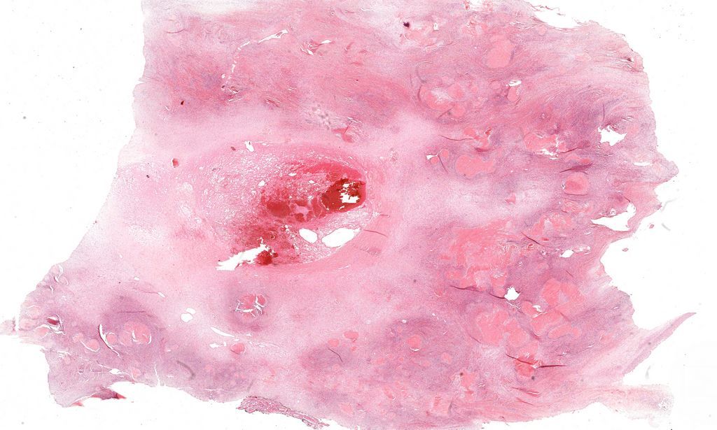
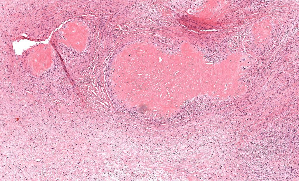
40 F. 10 cm deep thigh mass.
Answer ✅ youtu.be/QDb68_G1HR4?si…
Digital slide 🔬 kikoxp.com/posts/11800.
Differential dx: kikoxp.com/posts/12124
#BSTpath #pathologists #pathology #pathTwitter

YouTube




English

New in #HumPathol: Expression Characteristics of Clinically Relevant Antibody–Drug Conjugate Targets in Gestational Trophoblastic Neoplasia. sciencedirect.com/science/articl… #pathology #PathTwitter #PathX #GYNpath

English
Jonathan He retweetledi

Next up with the CSDP! Fellows Series! 📣📣📣📣
#dermpath #pathresidents #dermatology #pathology #CSDP #Zoominar - please join us this week and next for these 2 excellent talks !




English
Jonathan He retweetledi

#GUPATH Dr. @rajalbshah from @UTSWMedCenter will discuss the new GUPS & ISUP guidelines for the diagnosis, grading, and reporting of Intraductal Carcinoma of the Prostate (IDC-P).
📅 Mar 10, 2026
⏰ 12 PM EST
🔴 Live on Facebook & YouTube
#Pathology #ProstateCancer

English
Jonathan He retweetledi

Join us for the annual William Barriss McAllister, Jr., Memorial Lecture @YaleMed on Thurs., March 5 at 12:30 PM ET as @JLHornick of @HarvardMed & @BrighamWomens, presents on, “Beyond Lineage: Diagnostic & Predictive Molecular Immunohistochemistry” shorturl.at/e5Aj9

English
Jonathan He retweetledi
Jonathan He retweetledi

I am pleased to announce Diagnostic Histopathology of Bone and Soft Tissue Tumors: An Update Based on WHO 2026 in Padua, Italy, June 11-12, 2026.
Speakers include Angelo Paolo Dei Tos, Thomas Brenn, G. Petur Nielsen, David Papke, and myself.
Hope to see you there! @apdeitos @TBrennster
#bstpath #surgpath #IHC #pathology #PathTwitter
onconweb.com/evento-id-2795…

English

























