SenanMD
178 posts

SenanMD
@SenanMD
طبيب اختصاص - الأورام والمعالجة بالأشعة Clinical Oncologist
Katılım Mayıs 2009
618 Takip Edilen94 Takipçiler

@MatthewHoMD Does repetitive peritoneal tapping a part of treatment guidelines for malignant ascitis?
English

I just supported Tiny House Movement on @buymeacoffee! 🎉
You can support by buying a here — buymeacoffee.com/tinyhomediy/c/…
English

@KatsuakiMaehara Great effort, I would appreciate if you provide me with PDF copy. kmqatu@gmail.com
English

٣٠ فكرة لمشاريع صغيرة عبر الانترنت 💡
- وظف الأفكار حسب تخصصك و مهاراتك
- البداية دائماً أصعب خطوة
- أغلب الأفكار الموجودة بالملف تعتمد على المعرفة او المهارات
*ملاحظة: الملف مجاني بإمكانك كتابة تعليق بكلمة (مشروع) ومتابعتي و سيتم إرسال الملف بشكل تلقائي عبر الرسائل الخاصة
اتمنى الفائدة للجميع 💜

العربية

@with_almoustafa كود QR الموجود في الكتاب لا يعمل ، هل هناك حل للمشكلة؟
العربية

#الدرس_التاسع
من مسابقة #مع_المصطفى صلى الله عليه وسلم للأطفال ❤️
#رابط_المسابقة 👇
docs.google.com/forms/d/e/1FAI…

العربية

@with_almoustafa امس قمت بشراء المجموعة من معرض عمان الدولي للكتاب، اكواد التشغيل لا تعمل، هل هناك حل للمشكلة؟
العربية

@mbayazeed1408 مبارك مبارك ، جعلها الله من الصالحات البارات ، قرة عين ان شاء الله
العربية

باستخدام الايموجي، عبروا لنا عن حماسكم لوصول أجهزتكم الي طلبتوها من حدث #SamsungUnpacked 😍
#GalaxyS23
العربية

@BustanjiSajeda @RaghadAlqazaqi للاسف غير موجود في البرنامج الوطني لكنه يعطى في القطاع الخاص
العربية

@RaghadAlqazaqi الsmall poxالجدري العادي eradicated فما اله مطعوم
ال chicken pox جدري الماء يُعتبر خفيف والكل بنصاب فيه باعمار صغيرة وبيكسبو مناعة للابد
العربية

Apologies for those who could not access the full article.. Please try this new link 🫰🫰
authors.elsevier.com/a/1fvZ56gYCvIY…
English

Do you want to learn about everything urothelial carcinoma with divergent differentiation and variant histology (or shall we say subtypes!)
Here is a link with 50 days' free access
sciencedirect.com/science/articl…
English

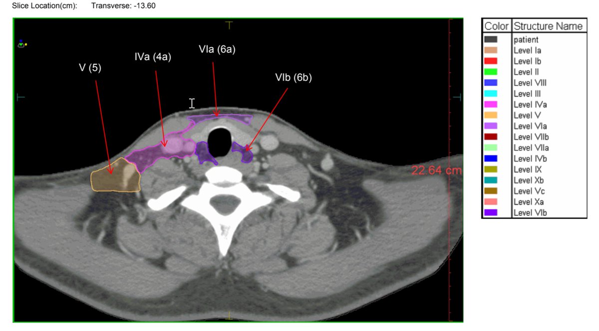
This has helped other #radonc trainees, so sharing my annotated consensus neck nodal guidelines slide deck here (Grégoire et al.)
I put labels throughout as the colors were hard to follow, making it easier to help with h&n contours
Good luck!
drive.google.com/file/d/1WE8SeB…



English
SenanMD retweetledi
















