
STREAMmeeting
204 posts

STREAMmeeting
@StreamMeeting
Comprehensive PAE symposium for training on BPH and treatment options
Washington, DC Katılım Ekim 2017
361 Takip Edilen609 Takipçiler

!!Flash STREAM registration sale!! One day only!!! 50% off!!!
thestreammeeting.com coupon code: SUMMER Sept 11-12 Washington, DC
English

Great case!-the kind you will see at STREAM 2021–Sept 11-12 Washington DC thestreammeeting.com @SandeepBaglaMD @bonesz @SamMouli @TimMcClureMD @IR_Nutt @keithppereira @AriIsaacsonMD
Ari Isaacson@AriIsaacsonMD
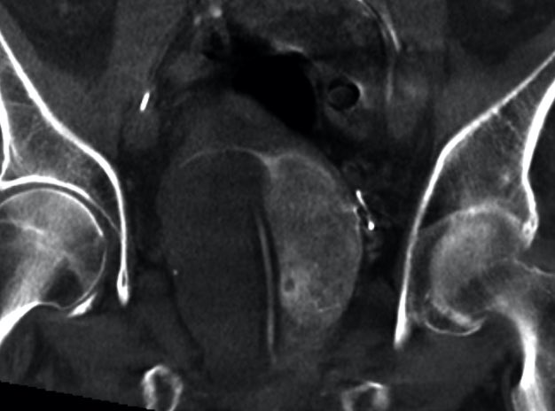
Nice example of multiple feeders to large prostate: yellow-main prostatic artery, orange-distal int pudendal (pena cava), teal-retropublic branch of obturator, pink-distal sup vesical. (Colors courtesy of GE) @SIRRFS @SIR_ECS @StreamMeeting @UsaProstate
English
STREAMmeeting retweetledi

Nice example of multiple feeders to large prostate: yellow-main prostatic artery, orange-distal int pudendal (pena cava), teal-retropublic branch of obturator, pink-distal sup vesical. (Colors courtesy of GE) @SIRRFS @SIR_ECS @StreamMeeting @UsaProstate



English

The first AND last authors of not one, but BOTH of the @SIRspecialists Annual Meeting Abstracts of the Year are speaking at STREAM2021... 9/11-9/12 DC. thestreammeeting.com @SamMouli @riadsalemIR @SandeepBaglaMD @SIR_ECS @SIRRFS

English

STREAM Course Live Sept 11-12 Washington DC! thestreammeeting.com @SandeepBaglaMD @bonesz @jdprologo @keithppereira @SamMouli @TimMcClureMD @IR_Nutt
English

It’s almost time for STREAM Webucation! Bone ablation coming at you in T-2 hrs! Bagla, Levy, Dixon. “Let’s get Cookin’!” @SandeepBaglaMD @BDixonMD @Medtronic

English

Curious about ablation of bone tumors? Want to get a clinical program started? Hear from experts from both private practice and academia. This Wednesday 8pm EST. Sign up here: tinyurl.com/boneablation @SIR_ECS @SIRRFS @SandeepBaglaMD @BDixonMD @AriIsaacsonMD
English
STREAMmeeting retweetledi

#LetsGetCookin with the @StreamMeeting January 13th.Bone Mets, ablation approaches, tips and what to do! @SIRspecialists @SIRRFS @SIR_ECS @CAIRweb Great to speak along @BDixonMD @VIRTarHeels #JasonLevy @NorthsideHosp
Register here: tinyurl.com/boneablation
English

Congrats to the winners of the trainee PAE image contest from STREAM Happy Hour last night! @Daryl_Goldman @varun_danda @antony_sare @ryanmorrison193 You will receive your “Hormesis” shirts soon!




English

STREAM Happy Hour is tomorrow night! Get great tips from experts about PAE imaging. How to keep radiation dose low, how to deal with hip prostheses, how to get great CBCTAs, etc Join us... forms.gle/xhT2KV8qBRzQaj… @SandeepBaglaMD @keithppereira @bonesz @SamMouli @TimMcClureMD
English

STREAM Happy Hour is back!!! Topic: BEST IMAGING TRICKS for PAE. Panel includes @SandeepBaglaMD @bonesz @AriIsaacsonMD @SamMouli @keithppereira @TimMcClureMD @IR_Nutt Win a limited edition STREAM Happy Hour T-shirt!!! Sept 24th 8pm EDT. Register here: forms.gle/oR28DQ129KE93E…
English

Great Happy Hour tonight. Thank you @VarianMedSys ! Thanks to everyone who carved out some time in their busy schedules to hang out. Can’t wait to do it again. #strongSTREAM #PAE #BPH

English

Be sure to check your inboxes one more time folks! Zoom link update was just sent out. Don’t miss it! @SandeepBaglaMD @AriIsaacsonMD @IR_Nutt @AaronFrittsMD @Drshiloh @VarianMedSys @clarelouisebent #strongSTREAM
English

STREAM Happy Hour meeting details will be sent out tmr afternoon to the email addresses provided. If not received by 4pm EST, please check your Spam folders! #strongSTREAM
English

2 days until STREAM Happy Hour! “How do urologists and IRs collaborate in regard to PAE” Grub Hub gift certificates for funniest T-Shirts and for answering trivia questions. Join us! Tinyurl.com/PAEhappyhour
Sandeep Bagla MD@SandeepBaglaMD
@StreamMeeting Happy Hour This Thursday! Sign up now! tinyurl.com/PAEhappyhour As promised, @AriIsaacsonMD VIDEO! @SIRspecialists @SIRRFS @keithppereira @MountSinaiIR @NorthwesternIR @IR_Nutt @VarianMedSys @BSIR_News @CAIRweb @JeremyKimMD @LessneVIR @clarelouisebent
English

STREAM Happy Hour this Thursday at 8pm EDT! “How do urologists and IRs work together to offer PAE as an option for BPH?” All registrants receive a sleek STREAM mask! Sign up here: tinyurl.com/PAEhappyhour

English
STREAMmeeting retweetledi

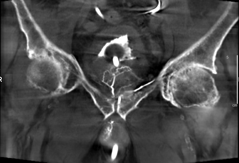
One of the trickier prostatic arteries to get into. Type 1 (joint origin with the superior vesical artery). But all you have to do is follow the red line...😉 @SIRRFS @StreamMeeting


English

Want to do more PAEs? What do urologists say about working together to offer PAE to more men? Join us-STREAM Happy Hour July 23rd 8pm EDT. Party favors for all who sign on and prizes for most "PAE appropriate" T-shirt and for PAE trivia. @SIR_ECS forms.gle/seAJU9u9qKNEot…
English

The next STREAM Happy Hour is here!!! Topic: How do IRs and urologists move forward with PAE despite AUA guidelines? Panel includes 3 urologists and @bonesz @SamMouli @SandeepBaglaMD @keithppereira @AriIsaacsonMD @IR_Nutt sign up here: forms.gle/PdzDoMefw7onMV…
English