Talbot Research Group
324 posts

Talbot Research Group
@Talbot_Lab_UCR
Research Group at UC Riverside studying Tobacco-Related Diseases, E-Cigarettes and Stem Cell Biology🔬 Also tweeting updates from the UCR Stem Cell Center
Riverside, CA Katılım Şubat 2015
116 Takip Edilen124 Takipçiler

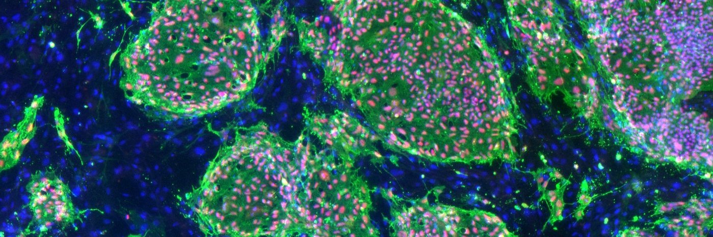
Congrats to Dr. Phandthong on winning the Audience Choice 1st place and Faculty’s Choice 1st place awards at the annual MCSB and CMDB Symposium for his work using the hTET model that he and his team developed in our lab. @UCR @UCR_ScienceNews @CIRMnews

English

Congratulations to Dr. Etemadi! She won an Outstanding Poster Presentation Award at the 13th Annual Symposium of the Inland Empire Stem Cell Consortium hosted by City of Hope.
@UCRCNAS @UCR_ScienceNews @UCRStemCell #stemcell @cityofhope

English

Shane Kennedy, Academic Coordinator at the UCR Stem Cell Core Facility, participated in the UCR Core Symposium organized by Dr. Meera Nair. Shane manned a table and gave a platform presentation on the Stem Cell Core and its services.
@UCRStemCell @UCRCNAS #stemcells

English

Congratulations to Man Wong and his team! His manuscript on toxic electronic cigarette degradation products, acetaldehyde and methylglyoxal, has been published in the journal Frontiers in Toxicology!
frontiersin.org/journals/toxic…
@FrontiersIn @UCRCNAS @UCR_ScienceNews

English

To celebrate Stem Cell Awareness Day, the UCR Stem Cell Core sponsored an Open House that was attended by 200 people. CIRM TRANSCEND trainees and other volunteers guided guests, introduced Core services, and demonstrated equipment.
@UCRStemCell @CIRMnews @UCRCNAS @UCRSoM
@UCRBCOE

English

The Talbot lab celebrated two of our students at UCR’s Graduate Division Hooding Ceremony. Congratulations to Ann and Shabbi on earning their PhDs! Their incredible dedication and hard work made this milestone possible.
@UCRiverside @UCRCNAS @UCRBCOE #UCRGrad

English

Congrats to Dr. Phandthong and his team! Their work on vaping and SARS-CoV-2 infection, doi.org/10.1152/ajplun…, published in the "American Journal of Physiology" won the journal's 2024 Best Impact award.
@APSPhysiology @UCR_ScienceNews @UCRCNAS #TRDRP #Ecig #vape

English

Heartfelt congratulations to Dr. Ann Song! Dr. Song has successfully defended her PhD Dissertation “Dissecting SARS-CoV-2 Entry Pathways: A Cross-Species Journey from Mink to Human Embryonic Cells".
Wonderful work Ann!
#COVID @UCRiverside @UCRCNAS @UCR_ScienceNews

English

Kudos to Ann Song! She won the first-place award for her presentation of “Using a Disease-in-a-Dish Model to Study SARS-CoV-2 Infection of Human Embryonic Cells” at the Molecular Biology Graduate Student Symposium.
@UCRiverside @UCRCNAS #COVID #health #stemcells

English

On Monday, the Stem Cell Seminar Series will host Dr. Edward Hsiao, from UCSF. His talk, "Skeletons in the Closet: Using a Rare Disease to Understand Human Bone Formation”, will be about using hiPSC to study fibrodysplasia ossificans progressiva.
@UCRStemCell @UCRiverside @UCSF

English

At the next Stem Cell Seminar, Paul Purdy will present “Cure CLCN6: From Despairing to Daring” on their mission to raise awareness, provide support & advocacy, fund research & development of therapeutics for this rare disease.
@UCRStemCell @UCRiverside cureclcn6.org

English

Dr. Nicole van Bergen, from Murdoch Children’s Institute in Australia, will present “Generation and heterozygous repair of human iPSC lines from two individuals with TRAPPC4 deficiency” at the spring Stem Cell Seminar Series today.
@UCRStemCell @UCRiverside @MCRI_for_kids

English

Congratulations to Edgar Rolon! Edgar won the Best Poster Award at the Meeting of the Minds Symposium for his poster, “Impact of Electronic Cigarette Chemicals on Human Airway Basal Stem Cells in the Trachea and Bronchi”. Wonderful job Edgar!
@UCRStemCell @UCRiverside @CSUSBNews

English

This Monday, April 21st, the spring Stem Cell Seminar Series will host Dr. Gerrald Lodewijk, from UC Santa Cruz. He will discuss human embryogenesis and implantation in “Engineering PSCs to generate programmable embryo models in vitro”.
@ucsc @UCRStemCell @UCRiverside

English

Kudos to Shabbi! She won the UCR Stem Cell Center's Best Stem Cell Paper Award for her manuscript "Menthol, a Consumer Product Additive, Adversely Affects Human Embryonic Cells via Activation of TRPM8 and TRPA1 Channels”.
@UCRStemCell @UCRCNAS @UCR_ScienceNews @UCRBCOE

English

The Inland Empire Stem Cell Consortium seminar series has returned! On April 14th Dr. Devon Ehnes, from the University of Washington, will present on “Human iPSC-derived salivary gland organoids model diabetic salivary gland dysfunction”.
@UCRStemCell @UCRiverside @UW

English

Shabbi’s article “Menthol, a consumer product additive, adversely affects human embryonic stem cells via activation of TRPM8 and TRPA1 channels” was published in Stem Cells Translational Medicine. academic.oup.com/stcltm/article…
@StemCellsTM @UCR_ScienceNews @UCRBCOE
@UCRCNAS #stemcell
English
Talbot Research Group retweetledi

#Pregnant #women advised to avoid mentholated e-cigarettes news.ucr.edu/articles/2025/…
#ecigarette #ecigarettes #ecig #ecigs #vaping #pregnancy #PregnantWoman #menthol
@UCRiverside @UCRCNAS @Talbot_Lab_UCR
English

