Temple Cardiothoracic Radiology
83 posts

Temple Cardiothoracic Radiology
@TempleChestRADs
Tweets from the Cardiothoracic Imaging Group at Temple University Hospital @TempleRADs @templemedschool @templehealth
Philadelphia, PA Katılım Ağustos 2021
200 Takip Edilen152 Takipçiler
Temple Cardiothoracic Radiology retweetledi

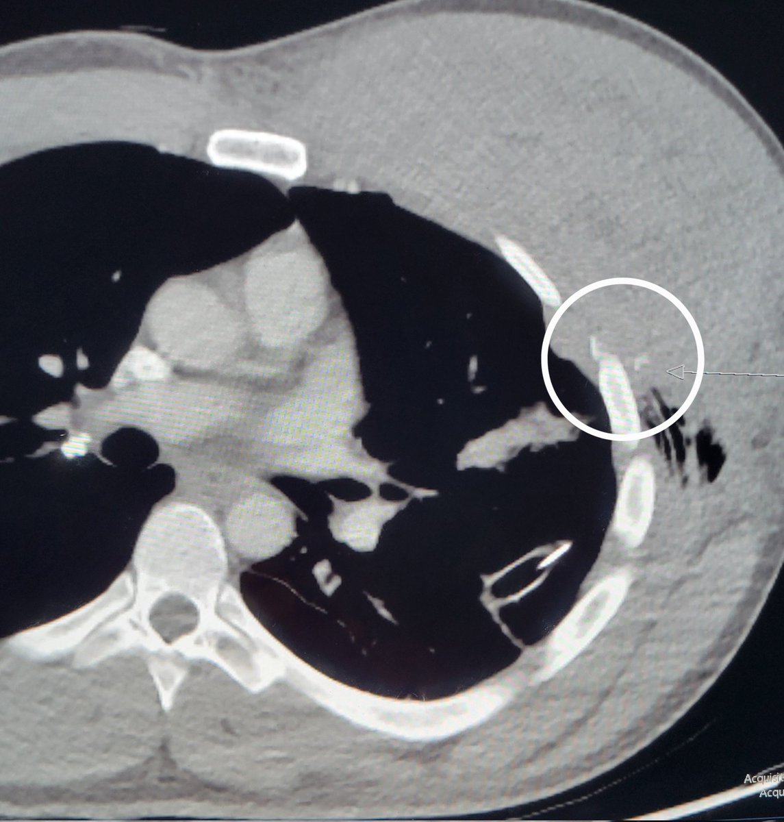
Patient w/ stab wound to chest. CT shows large hematoma with active bleed. Initial angio of intercostals and int mammary was neg. Finally, bleed found off lateral thoracic. Nice hunting Dr. Derek Lee @IanSLeopold! Great read @BlachyDavila Dr. Graf @TempleRadRes @templechestrads




English

Hair and medical care - ABC News - abcnews.go.com/WNN/video/hair… via @ABC
English

Great to see that magnetic compression anastomosis of ureteric strictures is gaining some steam. Lots of potential!
iRadPulse@iRadPulse
1/6 📢 Exciting news from @JVIRmedia! A novel approach to benign short-segment ureteral obstruction: Magnetic Compression Anastomosis. Let's delve into this innovative technique! 🧲👨⚕️ #UreteralObstruction #Radiology #MagneticAnastomosis @SIRspecialists @SIRRFS
English

Dr. Maruti Kumaran @k_maruti was selected as the winner for the Temple Physician Kudos Award!
Dr. Cohen @TempleRADs said: "Maruti is one of our premiere Cardiothoracic Radiologists and universally loved by our residents and faculty." @TempleRadRes @TempleMedNews @TempleHealth



Philadelphia, PA 🇺🇸 English
Temple Cardiothoracic Radiology retweetledi

WATCH: #ICYMI earlier, @TempleHealth's Dr. @HillelMaresky + @templemedschool student @UdongwoAngela joined @MikeFOX29 and @AlexHolleyFOX29 for a live interview to discuss their work on the lack of research on the radiologic appearance of Black hairstyles: fox29.com/video/1310715
English

Leading the way in identification of Black Hair versus pathology! @TempleUniv @TempleRadRes @TempleRADs @TempleLung
inquirer.com/health/doctors…
English
Temple Cardiothoracic Radiology retweetledi
Temple Cardiothoracic Radiology retweetledi
Temple Cardiothoracic Radiology retweetledi

"That's clearly a Pancoast tumor" said the thoracic surgeon, "yes!" I responded but then started thinking... What exactly is a Pancoast tumor? 🤔
This is what I found out 🤓👇🏻🧵
#radiology #radtwitter #FOAMrad

English
Temple Cardiothoracic Radiology retweetledi

Congratulations to the 13 members of #TempleMed’s high-achieving faculty who were recognized at the annual Faculty Educational Excellence Awards reception for their teaching, mentorship and service throughout the Katz community! 👏
➡️ Read the article: fal.cn/3ztDP

English
Temple Cardiothoracic Radiology retweetledi

Congratulations to our amazing graduating diagnostic and interventional radiology resident class of 2023! We are so proud of you all and we will miss you dearly. 😥 @TempleRadRes @TempleChestRADs @TempleGME


English
Temple Cardiothoracic Radiology retweetledi
Temple Cardiothoracic Radiology retweetledi






