Tim Carlon, MD, MBA retweetledi

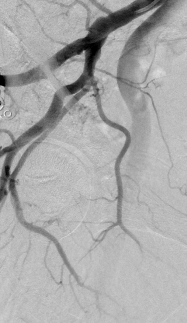
We authored an article for Medical Professionals CLT highlighting Genicular Artery Embolization (#GAE)—an innovative treatment for #kneepain caused by osteoarthritis. #irad @theobserver @wcnc @SIRspecialists

English
Tim Carlon, MD, MBA
109 posts

@Timothy_Carlon
Interventional radiologist #IRad @CLTRadiology. Skiier, scuba diver, NY sports fan.



































