Toby Maher retweetledi

Feat: @TobyMMaher, Justin Oldham MD, and Marlies Wijsenbeek MD
Moderaters: @CarlaRCopeland and Ayodeji Adegunsoye MD
@ATS_Assemblies
English
Toby Maher
723 posts

@TobyMMaher
Director of ILD @KeckMedUSC. @asthmalunguk Prof of Respiratory Research, @imperialNHLI Prof of Interstitial Lung Disease and #IPF doctor. Working to #cureIPF














We are pleased to share the positive topline results from the Phase 2b CORAL Trial of Haduvio in Patients with Idiopathic Pulmonary Fibrosis Chronic Cough. Join our conference call today, June 2nd, at 8:30 a.m. ET. Read the press release: ow.ly/MCzh50W2spG $TRVI







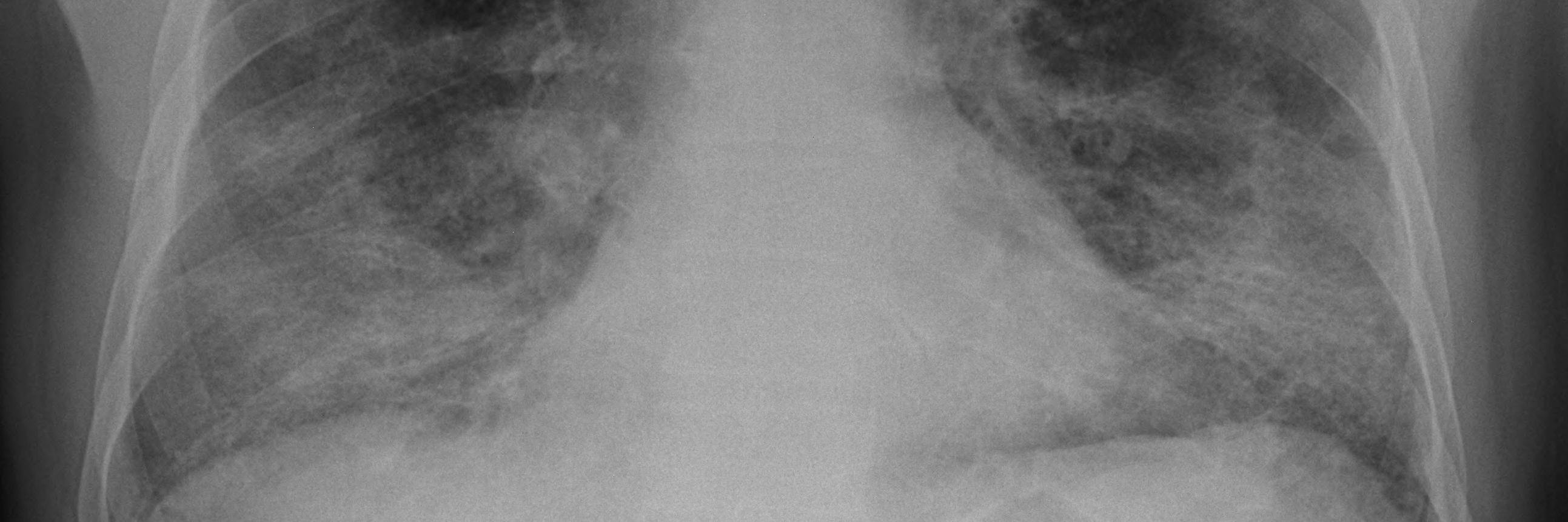
Presented at #ATS2025: In the FIBRONEER-IPF phase 3 trial, nerandomilast slowed disease progression in patients with idiopathic pulmonary fibrosis as compared with placebo. Full trial results: nej.md/4mgWcIU @atscommunity













