Sabitlenmiş Tweet

IN MEMORIAM: Alan W. Partin, MD, PhD
A tribute from Dr. Wein in @urogoldjournal
tinyurl.com/dy7pzzzh

English
Urology Case Reports
132 posts

@UroCaseReports
https://t.co/itJmR9fOfH is fully open access | Editors-in-Chief @alan_partin & Alan Wein, MD, PhD (hon) | Assistant Editor for Social Media @McAGES































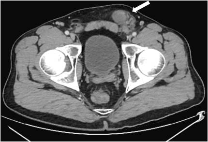
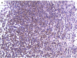
A case of malignant melanoma metastatic to the bladder. Presented with severe anemia secondary to intermittent gross hematuria. Perhaps not as rare as a glance at the literature may suggest! @FoleyAndFollies tinyurl.com/5mjumnrb





