Stroke Telemedicine Service

616 posts

Stroke Telemedicine Service banner
Stroke Telemedicine Service

Stroke Telemedicine Service

@VSTprogram

Providing acute stroke diagnosis and treatment advice to 19 participating hospitals in Victoria & Tasmania. VST is part of Ambulance Victoria @AmbulanceVic

Victoria, Australia Katılım Ekim 2014
467 Takip Edilen1.2K Takipçiler
Teddy Wu
Teddy Wu@Teddyyhwu·
Right I am Asian but a reference to me as a Chinaman is completely uncalled for, racist and disrespectful.
English
11
0
18
0
Stroke Telemedicine Service
Stroke Telemedicine Service@VSTprogram·
It's National Stroke Week🧠#strokeweek2021 Our stroke telemedicine service is available in 17 hospitals throughout Victoria and 2 hospitals in northern Tasmania, every day and every week of the year! We are proudly part of @AmbulanceVic #BetterTogether
Ambulance Victoria@AmbulanceVic

It's National Stroke Week 🧠⁠ ⁠ Did you know one in four people around the world will have a stroke in their lifetime? 👤🙍‍♂‍👤👤⁠ ⁠ ⁠ We've partnered with the @strokefdn to raise awareness of the F.A.S.T. signs of stroke and calling triple zero early. #strokeweek2021

English
0
0
5
0
Stroke Telemedicine Service retweetledi
Stroke Foundation
Stroke Foundation@strokefdn·
#StrokeWeek2021 is 2 - 8 Aug. We need your help to share the F.A.S.T message widely. Follow # #strokeweek2021 and #UnitedByStroke for content! If more people understand the signs of stroke, there's a greater chance of getting emergency medical treatment quickly. Pls RT
Stroke Foundation tweet media
English
0
3
2
0
Stroke Telemedicine Service retweetledi
Prof Chris Bladin
Prof Chris Bladin@StrokeAus·
What’s going on? An explosive record month for @VSTprogram with 419 calls, way more than pre-Covid (~250). Why?? All theories welcomed! Superb work from @AmbulanceVic stroke specialists and many others to support stroke care in regional hospitals. @strokefdn
English
5
6
27
0
Stroke Telemedicine Service
Stroke Telemedicine Service@VSTprogram·
The evaluation of the Victorian Stroke Telemedicine program has been listed as one of the top articles published by @theMJA in 2020. @VSTprogram "demonstrated significant improvements in stroke care". Fantastic work by @StrokeAus @DominiqueCad & colleagues #fightstroke
MJA@theMJA

A New Year, top research articles, & call to deliver “net zero” Australian health care system by 2040 … @MJA_Editor writes #openaccess … "MJA will continue to work to cement its status as a highly influential top‐tier journal" mja.com.au/journal/2021/2… #medtwitter

English
1
12
27
0
Stroke Telemedicine Service retweetledi
Ambulance Victoria
Ambulance Victoria@AmbulanceVic·
Stroke survivor Julie and our very own Prof. Chris Bladin ⁦@StrokeAus⁩ talk about how ⁦@VSTprogram⁩ is providing life-saving care. Julie suffered a large stroke last Tuesday but thanks to VST, is now home. Worth a listen! 👏🚑 m.soundcloud.com/user-189330669…
English
0
4
15
0
Stroke Telemedicine Service retweetledi
Ambulance Victoria
Ambulance Victoria@AmbulanceVic·
No puns or flowery language today- just this message, crystal clear: We are here. We are ready. We are safe.
English
10
55
220
0
Stroke Telemedicine Service
Stroke Telemedicine Service@VSTprogram·
Our world-class stroke telemedicine service delivers great outcomes for patients and contributes to the knowledge and skills of clinicians working in rural areas. #fightstroke #TimeIsBrain @AmbulanceVic @StrokeAus
Rohit Sharma@piandro3142

Did my first 'solo' thrombolysis for #stroke as a seconded rural Med Reg this weekend, with a great 🧠 outcome! Thanks @VSTprogram stroke physicians for providing invaluable and friendly 24/7 support for all rural Med Regs. #TimeIsBrain #fightstroke

English
0
1
7
0
Rohit Sharma
Rohit Sharma@piandro3142·
Did my first 'solo' thrombolysis for #stroke as a seconded rural Med Reg this weekend, with a great 🧠 outcome! Thanks @VSTprogram stroke physicians for providing invaluable and friendly 24/7 support for all rural Med Regs. #TimeIsBrain #fightstroke
English
1
3
22
0
Stroke Telemedicine Service
Stroke Telemedicine Service@VSTprogram·
Tune in to @abcmelbourne at 9.30am AEST to hear VST's Dr Angela Dos Santos, Australia's first Indigenous neurologist talk with @LaTrioli about #BLM, our world class stroke telemedicine service @AmbulanceVic and more!
Ambulance Victoria@AmbulanceVic

We’re incredibly proud of Dr Angela Dos Santos, Australia's first Indigenous neurologist and a dedicated member of our ⁦@VSTprogram⁩ team. Angela will be speaking with ⁦@LaTrioli⁩ at 9:30 am this morning. Tune in! abc.net.au/news/2020-06-2…

English
0
6
14
0
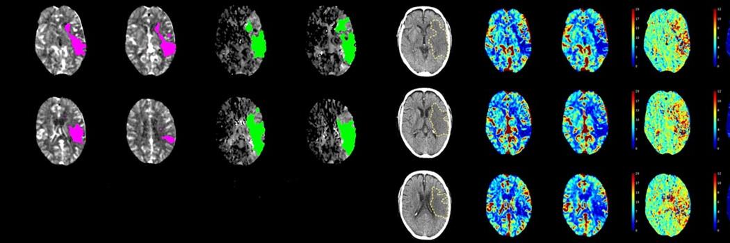
Stroke Telemedicine Service retweetledi
Prof Chris Bladin
Prof Chris Bladin@StrokeAus·
Wonderful article by Bruce Campbell @TheRMH highlighting @VSTprogram and feasibility of multimodal CT stroke imaging even in small hospitals. More specific diagnosis, targeted transfers, reduce costs. Optimal Imaging at the Primary Stroke Center | Stroke ahajournals.org/doi/10.1161/ST…
English
0
16
33
0