Wanda Congress

190 posts

Wanda Congress banner
Wanda Congress

Wanda Congress

@WandaCongress

I Congreso Internacional de Fisioterapia y Medicina del Deporte ⛹️‍♀️🏋️‍♀️🚴‍♀️ 🗓 15 y 16 de octubre de 2021 Más info en #CongresoFisiofocusWanda y en el 🔗

Madrid Katılım Ekim 2019
227 Takip Edilen281 Takipçiler
Wanda Congress retweetledi
ignacio
ignacio@ignacio_cancela·
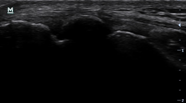
Al hacer Eco nos encontramos algo, lo que parece (en principio, y a la espera de RMN) una calcificación (sombra acústica posterior) de gran tamaño, en comparación con las calcificaciones que se suelen encontrar en tendón extensor. (adjunto 2ª imagen del tendón contralateral sano)
ignacio tweet media
Español
1
1
8
0
Wanda Congress retweetledi
ignacio
ignacio@ignacio_cancela·
Y para acabar la semana➡️una imagen curiosa d un pcte con dolor lat de codo, tras trauma hace 5 meses. Médico y fisio lo han manejado como una tendinopatía, tratando musc + ej excéntricos, q generan dolor. Con ello no solo no ha mejorado, sino q empeora dolor local e hiperalgesia
ignacio tweet media
Español
1
3
17
0
Wanda Congress retweetledi
ignacio
ignacio@ignacio_cancela·
Nos vemos el día 13 hablando de fisioterapia y deporte!
CP Fisioterapeutas Madrid | #somosloquenecesitas@cfisiomad

Que la fecha no te haga pensar lo contrario. Si @ignacio_cancela imparte este webinar sobre "Fisioterapeutas en del deporte y el rendimiento" que organiza @ufedema, es porque el éxito y el aprendizaje están asegurados. Martes, 13 de Dic. a través de Zomm #success" target="_blank" rel="nofollow noopener">us06web.zoom.us/j/86454398462?…

Español
0
3
10
0
Wanda Congress retweetledi
JAMA Network Open
JAMA Network Open@JAMANetworkOpen·
The presence of post-COVID symptoms two years after a #SARSCoV2 acute infection is similar between hospitalized and non-hospitalized patients. ja.ma/3g8Dd6k #OAResearch
English
0
3
5
0
Wanda Congress retweetledi
ignacio
ignacio@ignacio_cancela·
Muy orgulloso de ver publicado en @JAMANetworkOpen este trabajo en el que he podido participar. Team @catedrafisio ⬇️⬇️⬇️⬇️ Al menos 1 síntoma post-Covid 2 AÑOS DESPUÉS! -En el 59% de pacientes hospitalizados -En el 67% de pacientes no hospitalizados
JAMA Network Open@JAMANetworkOpen

The presence of post-COVID symptoms two years after a #SARSCoV2 acute infection is similar between hospitalized and non-hospitalized patients. ja.ma/3g8Dd6k #OAResearch

Español
0
1
4
0
Wanda Congress retweetledi
ignacio
ignacio@ignacio_cancela·
Rotura LCA ⬇️⬇️ 💣 Mecanismo de valgo 🤔Cuando veo estas acciones me pregunto.. ¿Podemos realmente prevenir esta lesión en este tipo de gestos?
Español
2
8
26
0
Wanda Congress retweetledi
URJC
URJC@urjc·
La URJC y Aranjuez presentan ‘MAGIC’, el futuro campus gastronómico de Madrid. ℹ Más información: bit.ly/3Fm3xki
URJC tweet media
Español
2
8
21
0
Wanda Congress retweetledi
ignacio
ignacio@ignacio_cancela·
👌Abordaje preciso y seguro en la punción seca del tibial posterior. ✅Abordaje posterior-medial es más seguro, con mayor distancia del paquete vasculonervioso⚡️
ignacio tweet mediaignacio tweet mediaignacio tweet media
Español
0
5
35
0
Wanda Congress retweetledi
HandspringPublishing
HandspringPublishing@HandspringBooks·
Due Feb 2022: 'The Shoulder: Theory and Practice' Feb 22 (@JeremyLewisPT & Fernandez) The definitive resource for clinicians involved with the assessment, management and rehabilitation of musculoskeletal conditions of the shoulder. Register at buff.ly/3sN4jl6 for 10% off!
HandspringPublishing tweet media
English
1
14
46
0
Wanda Congress
Wanda Congress@WandaCongress·
@RubenFMat Perfecto..muchas gracias. Era lo que pensábamos. Debemos adaptar la mediación el base a la teoría y plausibilidad clínica..gracias
Español
0
0
0
0
Wanda Congress
Wanda Congress@WandaCongress·
@RubenFMat Se podría cambiar post v1 o postv2 como factor mediador o independiente segun la relevancia clínica de la variable? O estadísticamente daría igual ? Gracias por la respuesta
Español
0
0
0
0
Fran Iglesias
Fran Iglesias@Franiglesiasweb·
En fin por la salud mental de quién lleva esa cuenta, ánimo compañero no pasa nada por equivocarse, te animo a seguir adelante y no pasa nada
Español
2
0
0
0
Fran Iglesias
Fran Iglesias@Franiglesiasweb·
Bueno hoy nos vamos a dormir viendo un post de Instagram que dice que el dolor muscular no existe...pone que es la segunda parte menos mal que no vi la primera 🙈
Español
2
0
2
0
Wanda Congress
Wanda Congress@WandaCongress·
@RubenFMat Y cuál sería la forma correcta @RubenFMat ? Análisis de correlación entre basal 1 y basal 2 y post 1 y post 2.? Porque como clínicos el mensaje es importante como pasar hacerlo bien..gracias
Español
0
0
0
0