
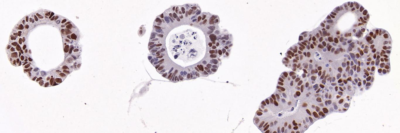
So proud! Our newest article about RNA Pol I inhibition and it's effect in #colorectalcancer can now be found online @MolOncology: doi.org/10.1002/1878-0…. Very happy to share our results and progress in #CancerResearch with everyone! 👨⚕️👩⚕️👩🔬👨🔬🧫🧪
English



















