
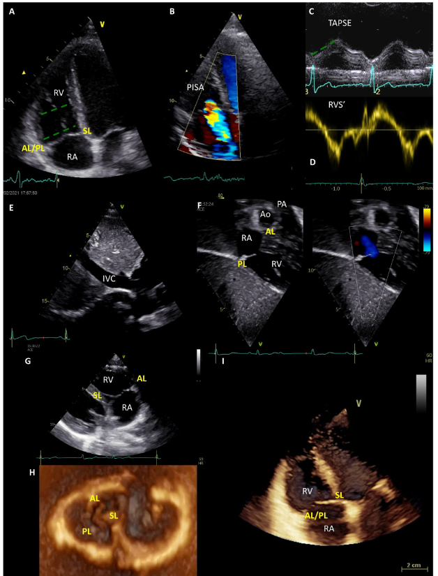
#AI #Cardiology #cardiotwitter #MedEd #CardioTech #MedAI 🤔Is artificial intelligence the new kid on the block? Sustainable applications in cardiology 👏Welcome to read the article from Prof. @SaDeRosa78's team. 👉Read and download the full text here: oaepublish.com/articles/2574-…























