
Tom Appleton
842 posts

Tom Appleton
@appletonlab
🇨🇦 Rheumatologist, scientist, dad, he/him, advocate for #healthcare, #rheumatology, #research, #osteoarthritis. Tweets my own




Out now in @TheLancetRheum - our new arthritis projections for Australia @ArthritisAust @Monash_SPHPM @RachelleBuchbin @danielleberko ➡️ 3.11 million people living with OA by 2040 ➡️ almost $10 billion of health system expenditure for OA by 2040

Wanted to add a bit about this paper...I learned a ton! First, there is some very good OA biomarker work out there, led by the Krauss Lab at Duke. Also, almost 50% of the papers were papermill crap. Written with/exclusively by AI using public data and not contributing...

Last week, we had the incredible opportunity to hear from Western MD/PhD alum & @CITAC_ACCFC co-founder Dr. Tom Appleton @appletonlab on all things clinician-scientist (no cap 😎) — from funding research to finding jobs, writing great grants #ABW, & balancing career & family 💡👏



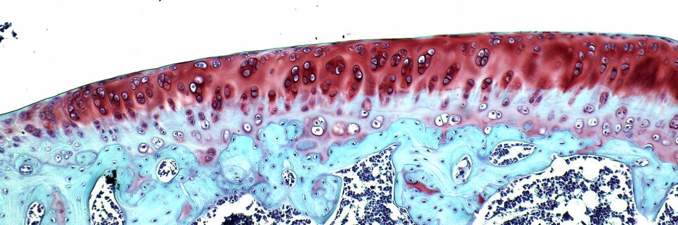
Interesting findings in this month's @OACJournal 🚨 Worse histopathological scores for synovial tissue damage is associated with more pain in late-stage knee OA ➡️ Free to read doi.org/npbv @HollyPhilpott14 @appletonlab @Path_Matt @WOBL_Western


Thanks to @NigilHaroon and @CRASCRRheum for sponsoring the members of #Canadian #CanRio ▶️cohort on oncology Pts who have #rheumatic complications from #immune #checkpoint #inhibitors A lovely dinner and #karaoke 🎤 #ICI 🇨🇦 Singing and dancing nearly surpasses research!




As part of our @oarsinews Early-stage symptomatic knee osteoarthritis (#EsSKOA) initiative: Our goal is to identify common conditions considered in the differential diagnosis of #EsSKOA. Take the survey here: redcap.utoronto.ca/surveys/?s=3N9… Closes May 20, 2024


The Early-stage Symptomatic Knee Osteoarthritis (EsSKOA) Initiative @oarsinewsis seeking datasets for analyses Let us know if you have a dataset with >100 adults with knee symptoms & data on identified candidate items redcap.utoronto.ca/surveys/?s=HCK…




Early-stage symptomatic knee #osteoarthritis (#EsSKOA)— an @OARSInews initiative expertly presented by @curious_zan, @Lauren_King_, & @rheum_cat (and expert handling of Q&A!) #OARSI2024


