Sabitlenmiş Tweet
Neurophilia
5.9K posts

Neurophilia
@bobvarkey
Neuro-Interventionist & Neurointensivist, Autodidact, Philomath, Iconoclast, Bibliophile, Technophile, ‘Normie’, Sempiternal scholar (Nerd) & Teacher @ Kochi
DM, FRCP, FICCN, EDSI, EDNI Katılım Temmuz 2009
336 Takip Edilen34K Takipçiler

Alzheimer's Disease — Real-World Evidence Updates
Lecanemab (Leqembi) Subcutaneous: FDA-approved weekly at-home injection now available — 15-second injection vs. IV infusion
Blood-Based Biomarkers: Lumipulse G pTau217/β-amyloid ratio test FDA cleared — may reduce need for amyloid PET in select patients
PREVENTION Trial Mid-Trial Results (Jan 2026): Multidomain lifestyle intervention improved cerebral blood flow and insulin resistance in early AD patients with amyloid positivity
English

HELIUM DEPLETION : GLOBAL MRI MELTDOWN MAY START SOON
Iran bombs Qatar helium plant: 33% world supply OFFLINE. MRIs worldwide—threatened. (Helium cools superconducting magnets.)
**MEDICAL MAYHEM MAP** (12 countries hit hardest):
🇮🇳 **India**: 1,000s hospital MRIs can dry up. Stroke/brain scans may be delayed; costs +50%.
🇬🇧 **UK**: NHS queues explode. No domestic helium—urgent cases first.
🇺🇸 **USA**: Reserves gone. Neuro/MRI backlogs; hospitals ration.
🇯🇵 **Japan**: MRI giant. 60-day clock to shutdowns.
🇩🇪 **Germany**: Prices doubled.
🇰🇷 **Korea**: Hospitals + Samsung fabs compete for scraps.
🇹🇼 **Taiwan**: TSMC chips for med devices at risk.
🇸🇬 **Singapore**: Regional health hub exposed.
🇨🇳 **China**: MRI imports falter; local hunt ramps.
🇦🇺 **Australia**: Exports can't cover gap.
🇶🇦 **Qatar**: 14% capacity PERMANENTLY damaged (5 years).
**Why care?** No helium = no MRIs = delayed stroke diagnoses, tumor misses, neuro emergencies. Tech (phones/chips) secondary—patients first.
12 nations. Zero fixes. Your next brain scan? At risk.
1/2 🧠 #MRIcrisis #HeliumShortage
ORDER MRI judiciously and look for other alternatives if the supply chain fails!
English

If you’re old enough to remember Einsteins analogy of gravity influencing and curving space time. 🛰️🚀
Here’s an analogy of brain function as a nonlinear dynamical system shaped by the structural connectome, that will blow your mind!
🧠Neural activity tries to settle into stable patterns called attractors—like fixed points (steady states) or oscillations (rhythmic patterns).
Core Mechanism
•Connectome constraints: White matter links dictate which brain regions interact and how strongly, limiting possible activity states.
•Nonlinear interactions: Excitation and inhibition create multistability, allowing multiple attractors.
•Transitions: External stimuli (tasks) perturb the system, shifting it between attractors—like a ball rolling into new valleys in a connectivity-shaped landscape.
Rest vs. Task States
•Resting state: Explores intrinsic attractors, forming networks like the default mode network (DMN) with variable activity.
•Task state: Input constrains activity into specific, less variable attractors.
Key Findings and Clinical Ties
•Activity is discrete and anatomy-driven, not random—explaining resting fluctuations, task responses, and diseases.
•Disorders: Alter the “attractor landscape” (e.g., depression’s rigid negative states, epilepsy’s hypersynchronous ones, schizophrenia’s unstable shifts).
•Therapies: TMS or DBS can nudge the brain out of pathological attractors or stabilize healthy ones.
Basically the brain networks like gravity find out curvatures and settles into them ( either resting state or activity dependent- which are stable and allows the network to switch back and forth )
In contrast, disease states are associated with very deep (stuck states) , hyper synchronous states or very shallow and disorganised states ( schizophrenia)
Fascinating concept isn’t it ?
Ref : doi.org/10.7554/eLife.…

English

@nodisability I think it is the symmetry on MRI + location+ presentation + family history
English

@bobvarkey What's classical to think GFAP mutation in MRI here? Owls eye?
English

The founders who figure out OpenClaw in the next 90 days are going to look like geniuses in 2027.
The problem is most agency owners don't have time to figure out the install, the security risks, where to start, or what to actually hand it first.
So my team built a 48-page beginner's guide that does it for you.
Inside:
— The exact prompts to hand it on day one
— Plain English setup for Mac and Windows
— How to secure it so it doesn't burn your business down
— 42 copy-paste workflows across sales, marketing, ops, and finance
Your competitors are sleeping on this.
Comment OPENCLAW and I'll send it.
The Startup Ideas Podcast (SIP) 🧃@startupideaspod
"OpenClaw is the new computer." — Jensen Huang This is the early PC era all over again. A few power users see it. Everyone else hasn't even started. "It's the most popular open source project in the history of humanity, and it did so in just a few weeks. It exceeded what Linux did in 30 years." A solo founder with OpenClaw can now build what used to take a 50-person team. The leverage is absurd.
English

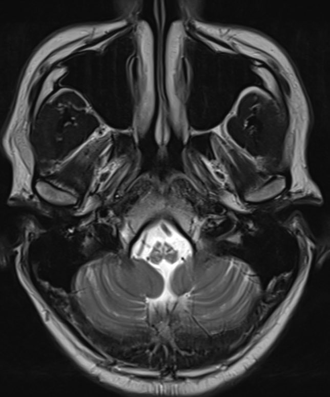
@bobvarkey Ooh this looked like olivo ponto cerebellar degeneration. Thanks for the education
English

Clinical exome sequencing shows GFAP mutation consistent with
🧠 Alexander Disease
Final Dx - Alexander Disease Bulbospinal variant
🔬 Pathophysiology
• Cause: Gain-of-function mutations in GFAP gene (chromosome 17q21)
• Hallmark: Rosenthal fibers — protein aggregates in astrocytes containing GFAP, heat shock proteins, ubiquitin
• Mechanism: Abnormal GFAP crosslinking via oxidation and ubiquitination (Lin et al., 2024)
👤 Clinical Phenotypes
Revised Classification (2011):
• Type I: Cerebral, early onset, median survival ~14 years
• Type II: Bulbospinal, later onset, median survival ~25 years
🩺 Diagnosis
• MRI: 4 of 5 criteria needed (frontal WM predominance, periventricular rim, basal ganglia abnormalities, brainstem involvement, contrast enhancement)
• Genetic testing: Confirms diagnosis
💊 Treatment Breakthrough ⭐
Zilganersen (ION373) — Antisense oligonucleotide suppressing GFAP production:
• Phase 1-3 trial completed (September 2025)
• 33.3% improvement in gait speed vs placebo
• FDA Breakthrough Therapy Designation (December 2025)
• NDA submission expected Q1 2026
📊 Prognosis
• Average age at death: 18.6 years
• R239 mutations = worse outcomes
• Type I: ~14 years; Type II: ~25 years median survival
English
Neurophilia retweetledi
Neurophilia retweetledi

@dhruv_rathee Why is this reel getting blocked in India? Whats wrong in it? Why is Ashwini Vaishanav offended by this ? He didnt even say LavdeNa Bhojyam in the reel!
English

Comparing the safety and efficacy of stent retrievers (SR), contact aspiration (Asp), and a combined mechanical thrombectomy (cMT) for LVO ischemic stroke.
How do they fare ?
doi: 10.1136/jnis-2025-023921.
Network Meta-Analysis Summary (24 studies, 12,845 patients):
• All 3 techniques = similar overall outcomes
• cMT → best first pass effect
• Contact aspiration → fastest, fewer dissection complications
• Stent retriever → lowest ICH risk
Clinical Takeaway: No clear winner. Technique choice should depend on operator expertise, anatomy, and patient factors. The "best" device is the one you're most comfortable with.
Source: J Neurointerv Surg 2025, PMID: 41176325

English

🚨 BREAKING: You can now run a full AI agent on your desktop without touching a terminal once.
Skales runs on 300MB RAM and installs in 30 seconds on Windows and macOS.
- 11+ LLM providers (Claude, GPT, Gemini, Grok, DeepSeek, Ollama...)
- Browser automation, Gmail, Google Calendar, Twitter/X built-in
- Bi-temporal memory that learns your preferences automatically
- Autonomous "Chief of Staff" mode that executes tasks while you sleep
Free for personal use.

English
Neurophilia retweetledi






