nei.
910 posts

nei.
@cafurne
mt after dm karena suka gada notif. atau bisa langsung ke link wasap di bawah ini 👇🏻
Katılım Şubat 2025
23 Takip Edilen15 Takipçiler

hiii ada kah yg sariawan dom jaksel dan bersedia jadi pasien besok pagi? dpt cash 100k deh sekali datengnya. habis bingung nyari pasien dimana lg.... 😔😭 #zonauangㅤ #pasiengigi #koasgigi #koasgigicaripasien #pasienkoasgigi

Indonesia

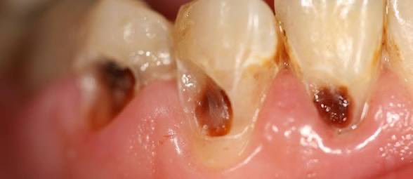
haloo! adakah yang punya keluhan gigi berlubang di dekat akar seperti gambar atau abfraksi / akar gigi yang terbuka dan mau dilakukan perawatan atau ditambal gigi? boleh dm ya☺️
untuk perawatannya gratis, kliniknya di jakarta pusat, mau tanya2 dulu jg boleh!
#tambalgigi #gratis



Indonesia

Halo teman - temannn!!!
Bagi kaliann yang ingin dilakukan penambalan gigi dan ingin dilakukan perawatan gigi oleh koas gigi, bisaa DM yaaaa, thankuuu ✨✨
DM : @mooneziuu89
#koasgigi #pasiengigi #tambalgigi #gigiberlubang #jakarta #jakartabarat #grogol

Indonesia
nei. retweetledi

@bopo_jodhipati "dampak jeleknya bisa berpengaruh ke bisnis kita.." oke langsung kita realisasikan dampak jelek tersebut KWKWKWKWKW
Indonesia
nei. retweetledi

@haixensen Ini bukti kalo pake seatbelt doang belum cukup aman. Baiknya pake helm juga.
Indonesia

@cafurne Halo Sahabat cafurne, perihal tersebut benar ya Sahabat. Kami informasikan bahwa apabila dana yg tersedia di rekening Sahabat dibawah saldo minimal akan dikenakan biaya pinalti saldo minimum sebesar Rp5.000,- ya.
Untuk informasi terkait tarif dan biaya dipersilakan dpt mengakses laman website kami di #tarif-tabungan" target="_blank" rel="nofollow noopener">bankmandiri.co.id/web/guest/tari….
Semoga transaksi yg dilakukan berjalan dgn lancar.
Sebagai informasi, Sahabat dapat memanfaatkan layanan Livin' Call by Mandiri Bebas Pulsa melalui aplikasi Livin’ by Mandiri untuk kemudahan dalam mengakses layanan kami. Tks~Carlos
Indonesia

@mandiricare min mau nanya kalau rek mandiri visa gold wajib ngendapin dana berapa?
Indonesia

@mandiricare kalau ngendap 25000 terus nanti dipotong admin apa akan kena denda?
Indonesia

@cafurne Hai Sahabat cafurne, perihal tsb maka Sahabat dpt melakukan pengecekan pada aplikasi Livin' by Mandiri dalam menu "Produk Anda" maka untuk informasi mengenai detail rekening yg dimiliki akan tersedia ya. Semoga prosesnya berjalan lancar.
Sebagai informasi, Sahabat dapat memanfaatkan Livin' Call by Mandiri Bebas Pulsa melalui aplikasi Livin’ by Mandiri untuk kemudahan dalam mengakses layanan kami. Tks~Danella
Indonesia

@cafurne Halo Sahabat cafurne, dapat kami informasikan berikut ketentuan saldo minimal untuk beberapa jenis rekening tabungan :
- Mandiri tabungan rupiah : Rp100.000,-
- Mandiri tabungan payroll : Rp10.000,-
- Mandiri tabungan NOW : Rp25.000,-
Sebagai informasi, Sahabat dapat memanfaatkan layanan Livin' Call by Mandiri Bebas Pulsa melalui aplikasi Livin’ by Mandiri untuk kemudahan dalam mengakses layanan kami. Semoga proses kedepannya berjalan dgn lancar. Tks~Kale
Indonesia
nei. retweetledi

nei. retweetledi

wts acc ig instagram f gede cowo cewe
- akun aktif hasil mutualan
- ada highlight dumps
price 250k & 500k
#zonauang wtb
nei.@cafurne
Indonesia









