Dr. Dai
2.5K posts

Dr. Dai
@daigaole
Director of 2nd Neurology Department at GDPH Guangzhou China. Guangzhou Neurothrombectomy Physicians Club. Views are my own
China Katılım Şubat 2009
773 Takip Edilen3.7K Takipçiler

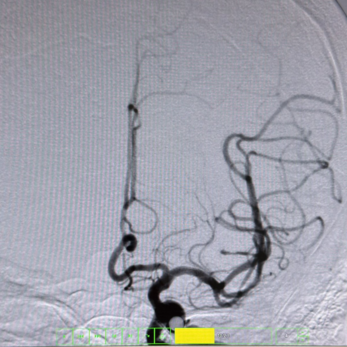
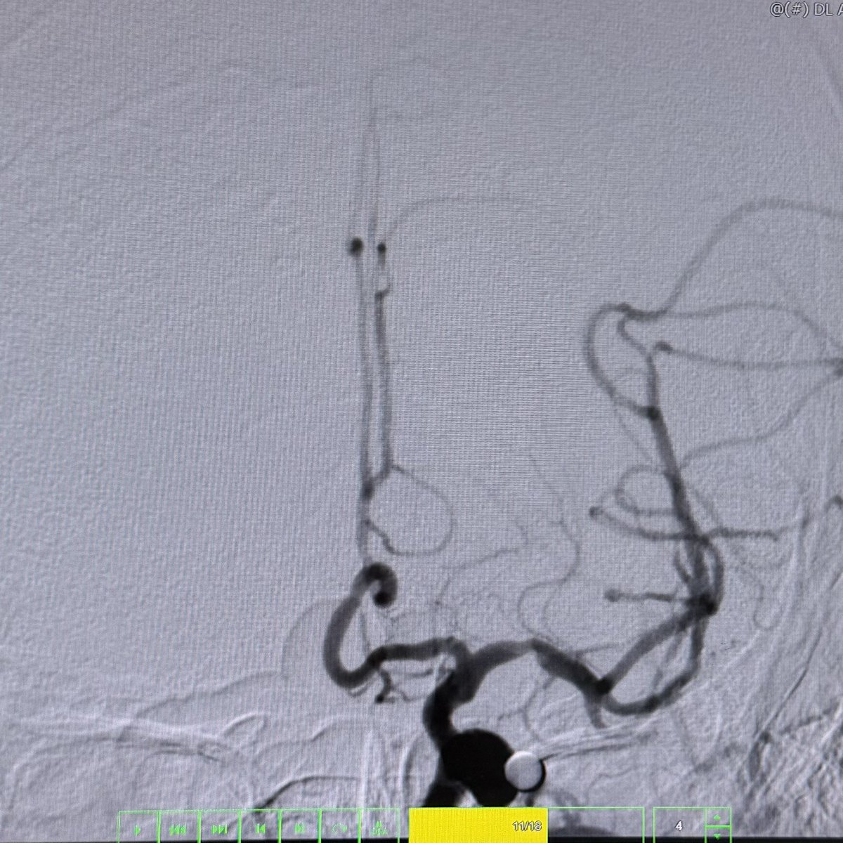
@bobvarkey @PascalJabbourMD given the SAH presentation, matching location, and size exceeding 3 mm, I'd treat this as a ruptured aneurysm and proceed with endovascular coiling ASAP
English

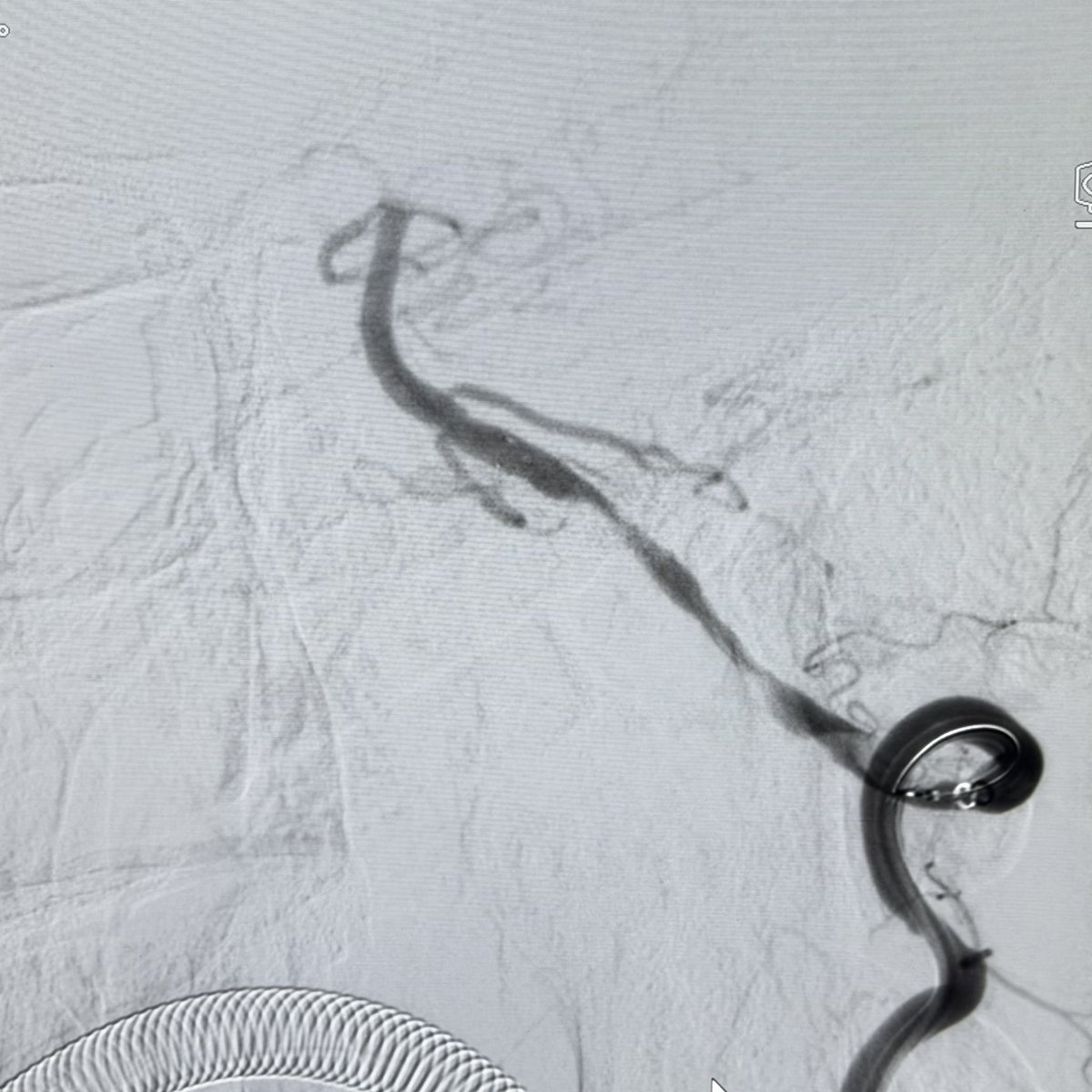
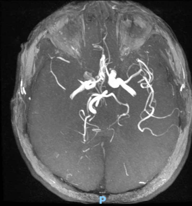
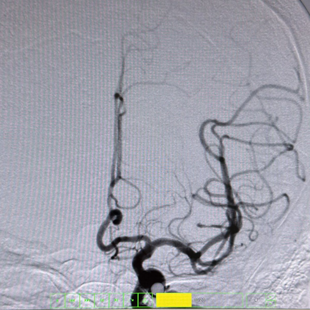
Always, a difficult problem, the differentiation between an infundibulum and a true aneurysm of the posterior communicating artery.
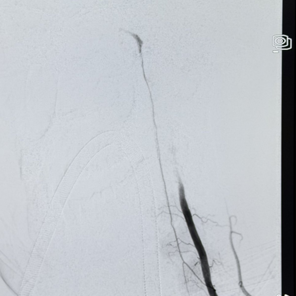
This 🧔♂️ presents with a subarachnoid haemorrhage in the left suprasellar cistern
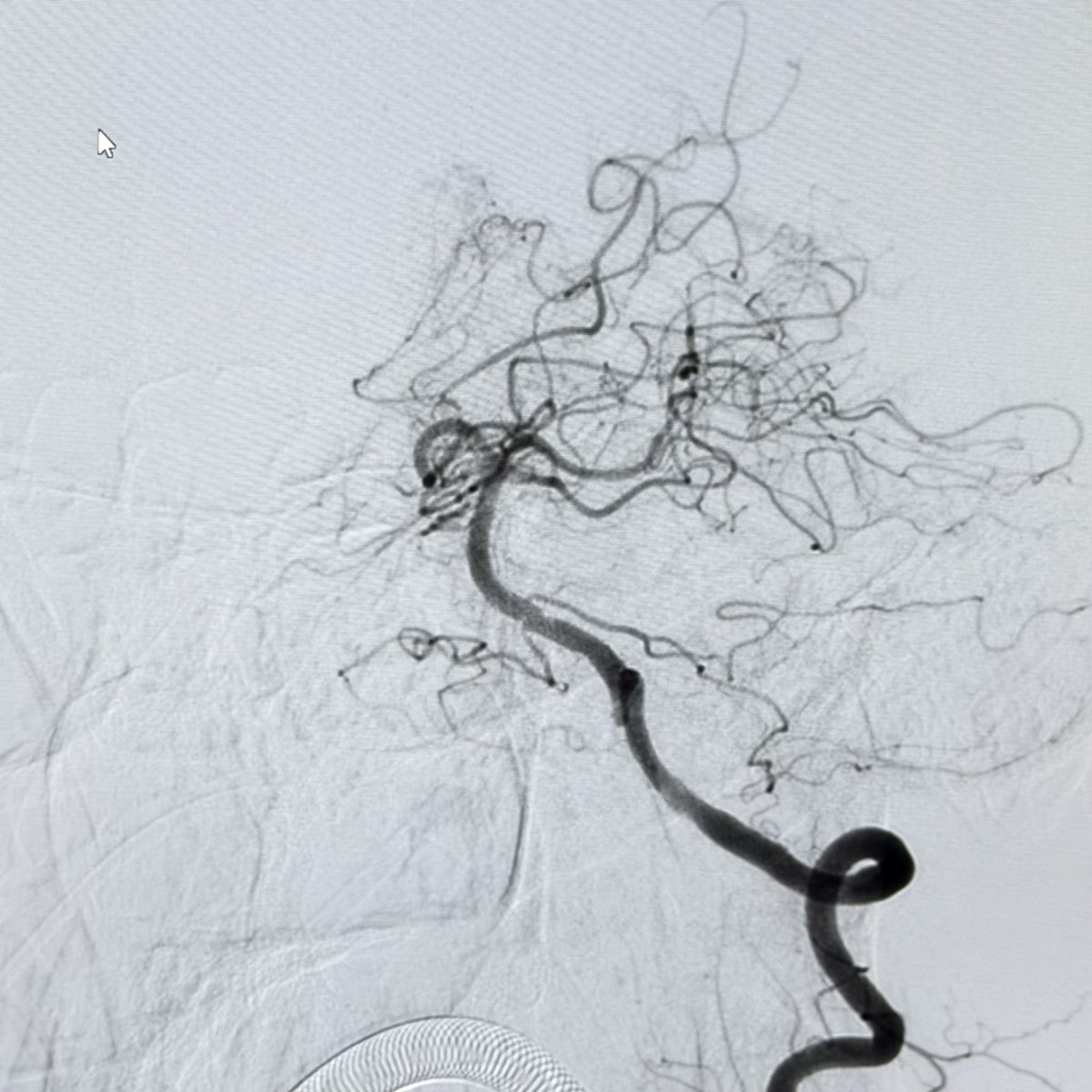
DSA shows an infundibulum/ aneurysm of the left PCom. To coil or not was a conundrum. Every expert has a different take
One says repeat a control Angio after a week
Another asks for vessel wall imaging .
The literature says anything over 3 mm is an aneurysm…
The size is 3.4 mm x 2.6 and it is located in the region of the bleed.
What would you do?
English
Dr. Dai retweetledi

🇨🇳📰Chinese guidelines for diagnosis and treatment of intracranial atherosclerotic stenosis
Primary Strategies for ICAS:
📌Symptomatic: intensive medical management
📌Asymptomatic: control of vascular risk factors
Read more here👇
journals.sagepub.com/doi/abs/10.117…

English


























