
@eltreiki_f ما أروع ما كتبتي و الأروع هو نبل مشاعرك و بالفعل هي قطر حيث السكينة و الأمان و المحبة و الأخوة
العربية
Dr Amr Elsaadany
4.8K posts

@dramrmaged
Consultant Interventional Radiology - Royal London Hospital















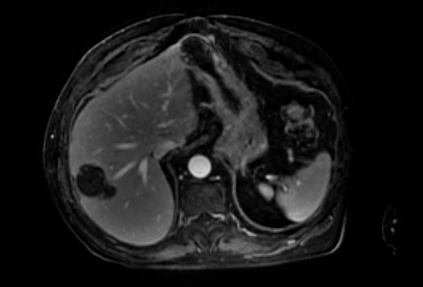
Case 124: with @BhaveshPopat7 @DrAntariksh Dr Vaibhav T . Beauty of conventional Lipiodol TACE - for a single well defined LR-5 lesion . #irad #MedTwitter #meded #medx @_backtable @SIRspecialists @SIRRFS @SIR_ECS






