Sabitlenmiş Tweet

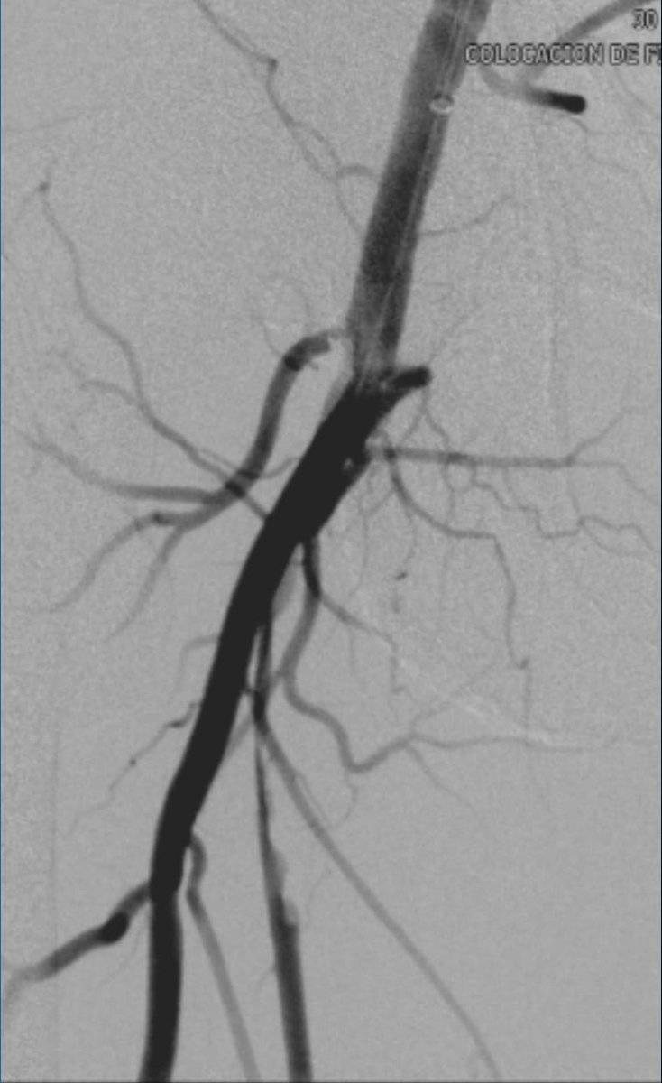
A patient with IVC atresia rolled into my office in a wheelchair. No options were offered for years. Successful IVC reconstruction. One week later, walked into my office for followup! One month later, living his best life, no pain and no limitations. #chogazi #irad #vascular #cardiotwitter @SIRRFS @SIR_ECS @SIRspecialists @VascularSVS @farkomd @AmputationSuck @ChengaziMD




English





































