ELBCC
252 posts

ELBCC
@elbcc
Discovery Science, Translational Goals, Clinical Impact
Europe Katılım Nisan 2019
31 Takip Edilen267 Takipçiler
ELBCC retweetledi
ELBCC retweetledi

Do you know what one of the simplest things you can do to raise awareness of #LobularBreastCancer is? Call it by its name. Most people have never heard of Lobular Breast Cancer so the more we name it and talk about it, the more awareness we will raise.

English

Based on the growing discomfort with this platform and the current developments, the ELBCC will cease activities on twitter/X and move to the Blue Space. Join us! #bluesky #ELBCC_2018
English

The Dutch have prepared an awareness video (with English subtitles!) in the context of the Global #ILC #AwarenessDay and their afternoon Symposium. Learn about ILC and practice your Dutch! @PWBDerksen @Veertje24770384 @Cancer_UMCU #SabineLinn #15October
UMC Utrecht@UMCUtrecht
Ongeveer 15 op de 100 vrouwen met #borstkanker hebben invasief lobulair carcinoom. Wil je als patiënt, arts of onderzoeker meer horen over de nieuwste ontwikkelingen lobulair borstkanker? 🗓️ Kom dan naar het middagcongres op 15 oktober in Utrecht: umcutrecht.nl/nl/15-oktober-…
English
ELBCC retweetledi

Thanks a lot for the fantastic edition of the #ilcsymposium 2024 in Leuven! What an amazing community! Step by step moving together in the right direction for patients with #lobular breast cancer @elbcc @PWBDerksen @oesterreichs @aftimosp @AVincentSalomon

English

Just started the final day of the #ILCSymposium 2024. @lab_kok is kicking off the TME session with a keynote on #immunotherapy on #ILC.

English

A brilliant talk from Christiane Kuhl (Aachen) on the beneficial use of #MRI for #ILC #diagnostics. #ILCsymposium

English

And we are off!!! The 2024 Leuven edition of the ILC Symposium!! Starting is Tanja Spanic on patient-partnered research. @ChristineDesme2 @PWBDerksen @AVincentSalomon @oesterreichs #lobsterpot #ca19138


English
ELBCC retweetledi

Everything you need to know about Lobular Breast Cancer
My latest video is up on my @youtube channel
@lobbccanada @LobularBCUK @LobularIreland @LobularResearch @lobularmoonshot @LobularBCA @ELBCAdvocates @BreastDense
youtu.be/mILpah3vUFc?si…

YouTube
English

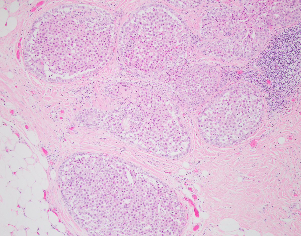
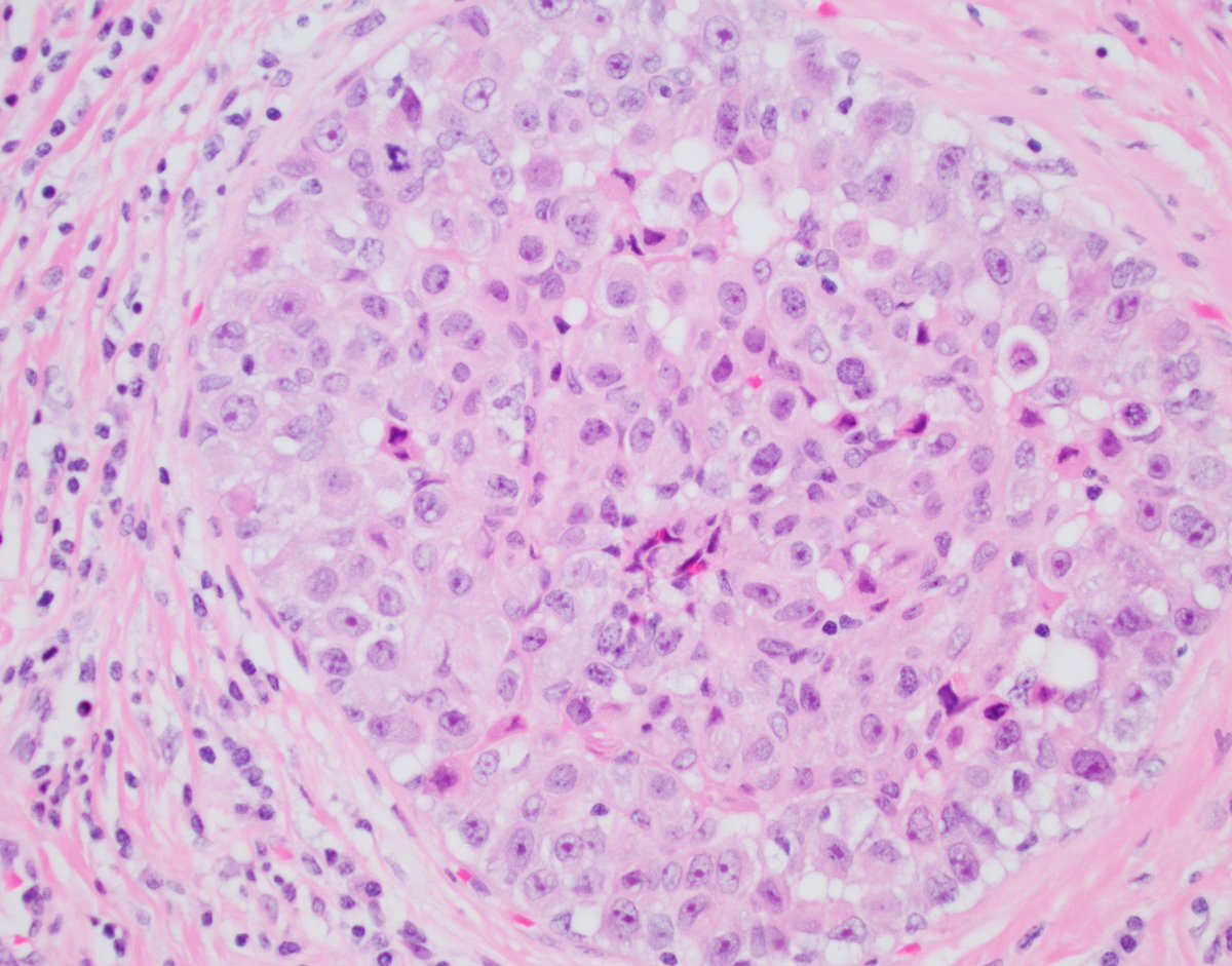
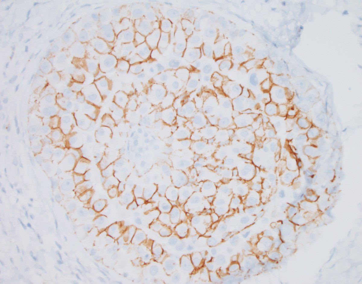
Correct Pathological Diagnosis of #ILC requires the specific antibodies and optimised protocols! We just posted the SOP, including a link to the recently published white paper. elbcc.org/News. Please implement in your daily diagnostics and spread the word!!

English
ELBCC retweetledi

Registration is now open for the annual invasive #lobular breast cancer symposium (ilcsymposium.com) which will take place in Leuven, Belgium, this year on September 23-25! Register now as places are limited. @OncoAlert

English

A milestone has just been published! Recommendations and a SOP from the COST action #Lobsterpot to correctly diagnose #ILC is out @ModernPathology. Onwards and upwards toward a WHO guideline! doi.org/10.1016/j.modp… @AVincentSalomon @ChristineDesme2 @PWBDerksen @COSTprogramme
English

The clinical #lobsterpot working group is getting things done! Teaming up with global partners to build #ILC specific diagnostics and trials. @PWBDerksen @ChristineDesme2 @AVincentSalomon @LobularBCUK @LobularIreland

English
ELBCC retweetledi

We're appealing to all Cancer Organisations to link this Invasive Lobular Carcinoma Patient Information Leaflet on their Website
A super evidence based summary of Lobular Breast Cancer available to download in 24 European Languages
elbcc.org/Leaflet

English

hey #lobular researchers! @LobularBCA together with @AACR and the DEBORAH MUELLER FOUNDATION are funding #ILC INNOVATION AND DISCOVERY GRANTS!! Check out aacr.org/grants/aacr-lo…
Leyden, The Netherlands 🇳🇱 English
ELBCC retweetledi

Pathologists ahoy! Excellent work by #Gronewold et al. demonstrates restoration of junctional characteristics in metastatic #ILC cells to the colon. Stromal signals at work?? We co-author on this paper in J. #Pathology @gronewold @elbcc #lobsterpot doi.org/10.1002/2056-4…

English

ELBCC partners led by #Christgen published data showing that #ILC can change phenotype depending on the metastatic context. Restoration of P-cadherin based cell adhesion overrides morphology!! Implementations for #pathologists and diagnostics! doi.org/10.1002/2056-4… @PWBDerksen

English

@fouad_boulos @washupathedu @wusm_pathology Please specify the antibody clone and we can tell you what is what.
Bodegraven-Reeuwijk, Nederland 🇳🇱 English

LCIS or DCIS? or both? or who cares? 🙂
IHC = E-cadherin
@washupathedu @wusm_pathology #breastpath #PathTwitter #PathX




English




