Ayushman Sharma
178 posts

Ayushman Sharma
@ensignsharma
Husband, Father, Neuroradiologist, Veteran, Business Owner
Riverview Florida Katılım Şubat 2023
154 Takip Edilen61 Takipçiler

@ElonMusk posted that medical school is “pointless” & robots will be better than surgeons in 3yrs. Shouldn’t your doctor feel passion? “Passion is dynamic. You have to put new logs on the flame, keep stoking the embers, not expect that it just burns on its own.” Hear more on #BarrowBaseCamp, “On Passion.” Click: BarrowNeuro.org/BaseCamp
English

@DrNikhilMD I created an verbal shortcut for generating AI impressions: “compute”. So yeah….i say that a lot lol
English

@AdamBLiv Figures 4 and 5 of the report shocked me a little. Not just the USA. It’s worldwide.
English

The corporations are coming for Bitcoin.
"It might make sense just to get some in case it catches on."
Download the incredibly detailed Corporate Bitcoin Adoption 2026 Annual Report with the link below!

Bitcoin For Corporations@BitcoinForCorps
NOW LIVE: Corporate Bitcoin Adoption — 2026 Annual Report A data-driven look at how public companies are adopting #Bitcoin, digital credit, and why some treasury strategies scale while others break. 📊 Download the report: bitcoinforcorporations.com/report/
English

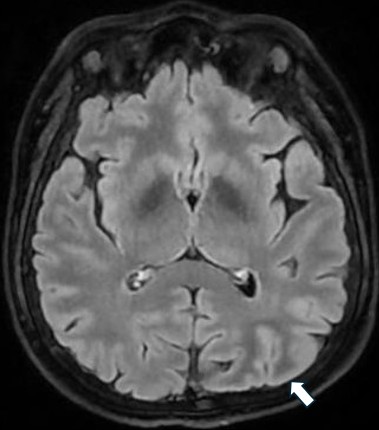
@daniel_gewolb I’m just noticing this now. There might be a blood fat level on the noncontrast at CT. Bone infarction and fat embolism would also be well within the differential.
English

@daniel_gewolb Petechial hemorrhages everywhere, lab abnormalities, hypoxia, multi organ failure. Sounds like DIC in the setting of sickle cell.
English

🔷What is the most likely diagnosis in this 50 y/o M w/ PMH of sickle cell disease initially presenting w/ pain crisis who subsequently developed acute encephalopathy, hypoxic respiratory failure and multiorgan dysfunction? He also developed progressive anemia, thrombocytopenia and hyperbilirubinemia.
#radres #futureradres #medicine #neurology #neurosurgery #ENT #MRI #FOAMed @Radiopaedia @RSNA #Ophthalmology




English

@daniel_gewolb You could also think about septic embolic disease if there is history of drug seeking behavior due to chronic opioid dependence from recurrent pain crises.
English

@teachplaygrub @LetDdiceFlyHigh So I use AI impressions a lot. And for simple impressions it’s okay. Any complex inpatient studies it’s not that great but maybe it’s an individual program difference. I have had AI hallucinate around 5-10% of time. Best use of AI has been as a concise search engine.
English

@daniel_gewolb @ASHNRSociety @Radiopaedia The mass is paraspinous and lesion in the lat rectus. DDX: Neoplasm/met, IGG4, Sarcoidosis. I guess you could consider extra medullary hematopoesis also if the history and other scans fit.
English

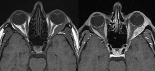
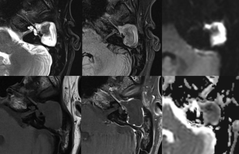
🔷What is the most likely diagnosis in this 45 y/o presenting w/ 1 week of painless intermittent diplopia worse with left gaze? 👁️ 🧠
#Medicine #Ophthalmology #neurology #Neurosurgery #radres #futureradres @ASHNRSociety #MRI #FOAMed @Radiopaedia




English

@daniel_gewolb @ASHNRSociety @Radiopaedia Expansile lesion centered on petrous apex with restricted diffusion and mild peripheral enhancement. Low T1. Favor congenital cholesteatoma.
English

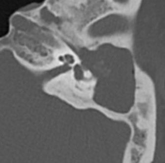
30 y/o F presents w/ severe L ear pain and intermittent otorrhea for 2 months. Hx of L otitis media. What is the most likely diagnosis? 👂 🧠
#ENT #Medicine #Neurology #Neurosurgery #MedEd #radres #futureradres #MRI #CT @ASHNRSociety @Radiopaedia


English

@daniel_gewolb @Radiopaedia @AlbanyMedRadRes Swelling+Increased T2 medial temporal lobe extending to involve insula. Small focus of T2 right medial thalamus. T2 Shinethrough, no hemorrhage. Although unilateral would favor Autoimmune encephalitis. Need CSF to exclude HSV and other labs to look for antibodies.
English

60 y/o afebrile F presents with acute left sided weakness and seizure. What is the most likely diagnosis? 🧠
#Neurology #Neurosurgery #radres #futureradres #Medicine #ENT @Radiopaedia @AlbanyMedRadRes



English

@daniel_gewolb Homogeneous mass, restricting, enhancing. Vascular encasement without narrowing. Given history, most likely lymphoma. PET-CT and US biopsy next steps.
English

What is the most likely diagnosis in this 65 y/o F presenting with rapidly growing left neck mass with long history of Hashimoto’s thyroiditis? The mass is firm to palpation and involving the left thyroid lobe and neck. 🧠
#medicine #radres #futureradres #MedEd #ENT #Endocrinology #Neurology #neurosurgery #FOAMed @AlbanyMedRadRes @ASHNRSociety



English

@pastorcoin Heiser has good stuff for sure but remember that for the first century and a half the church was organized by tradition and not by written New Testament documents. Written scriptures can have multiple levels of meaning. Both interpretations may be correct.
English

Roman Catholics say that Jesus was referring to Peter and the Papacy when he said, "You are Peter and on this rock I will build my church..." Protestants say Jesus was referring to Peter's confession, "You are the Christ the son of the living God..."
But both may be wrong...
Dr. Michael Heiser, in his book, Reversing Hermon, flips the script: the rock is the very location they're standing on. The exegesis is sound...
Mount Hermon, steeped in biblical and ancient Near Eastern lore, was the site where the Watchers (fallen angels from Enoch) descended to plot against humanity. Later, it became a hub for Baal worship, the Canaanite lord of the dead, akin to the devil himself, and was rededicated to Pan in Jesus' era, embodying the underworld's domain.
Heiser points to this as an example of "cosmic geography" a theme throughout Scripture.
Jesus chooses this idolatrous epicenter, once called Bashan or Balad, to confront the prince of the underworld (Beelzebul's roots trace here). The scene pulses with supernatural defiance, echoing Old Testament battles against demonic strongholds.
Far from a defensive huddle, Jesus proclaims the gates of hell won't withstand His church, because gates defend, they don't attack.
The Kingdom of God is the aggressor, storming the enemy's fortress. Through His resurrection, Jesus reverses Hermon's ancient curse of death, claiming victory over the grave.
Align with Him, and hell's grip shatters; the dead rise, and the powers of Bashan crumble. Heiser's lens transforms this passage from ecclesiastical squabble to epic spiritual conquest.
Jesus wasn't speaking about the papacy, He was signaling an invasion, poking the rulers of darkness in the eye and proclaiming, "This is my territory now."

English

@SBakerMD Souvide in Cinder Grill followed by sear using Schwank grill.
English

Enhancing right nasal mass with progressive destruction of the right orbital roof bone. DDX: Malignancy, Inverted Pap (w or wo malignant degen), or chronic invasive fungal disease (less likely due to solid enhancement). Comparison older CTs with contrast would be super helpful. Need to biopsy.
English

⭐️ What is the most likely diagnosis in this patient w/ history of sinonasal mass presenting with worsening diplopia?
#medicine #ENT #ophthalmology #MedEd #neurosurgery #Neurology #MRI @ASHNRSociety @Radiopaedia @thecortexclub


English

@spinacademics @drmankad @zguroztekin @nihaal08 @AmalSalehNour @JordiRoldanB @FazioSuely @drharunyildiz @GColleranMD @drshreyasreddy @Amenanayyer Venous congestion?
Français

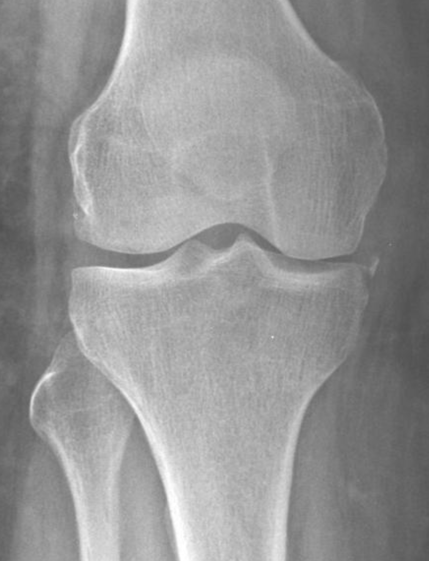
@Shingo_Omata Reverse Segond fracture. Correlate for medial minescus and PCL injury.
English

@daniel_gewolb @TheASNR @AlbanyMedRadRes T2 Bright enhancing ventral epidural tissue just above the operative level. No end plate destruction or appreciable disc space enhancement. Can’t really assess bone enhancement due to no FATSAT but it’s probably ok. Ddx: granulation tissue/fibrosis or phlegmon.
English

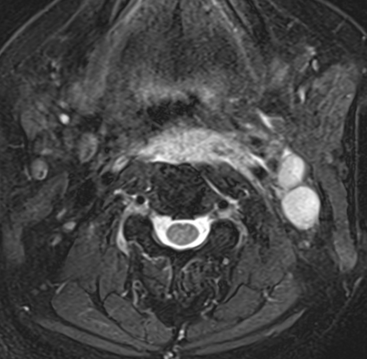
🔷50 y/o patient with history of spine surgery presents with new acute weakness. What is the most likely diagnosis?
#Medicine #Neurology #Neurosurgery #MedEd #radres #futureradres #FOAMed #MRI @TheASNR @AlbanyMedRadRes

English

@daniel_gewolb Timecourse excludes acute spine infarct. No serpentine vessels to say dAVF although this is reasonable thought. Intra medullary Mets or primary neoplasm is consideration. NMSOD/MOGAD/ADEM also in diff. Is the prevertebral T2 signal just the cut or something central venous issue?
English

⭐️ 50 y/o female presents w/ a few months of progressive lower extremity paresthesias, weakness, gait dysfunction and bowel/bladder incontinence.
🔷What is your differential and what work up would you recommend?
🔷Spine MR 👇
#medicine #Neurology #Neurosurgery #radres #radiology #futureradres #FOAMed @TheASNR @AlbanyMedRadRes @Radiopaedia


English








