Jeffrey Gagan MD, PhD
599 posts

Jeffrey Gagan MD, PhD
@grumpymdphd
Molecular Pathologist at UTSouthwestern. I get into lots of arguments about large language models and medicine. @MedicineUVA @BWHPath @UTSW_Pathology
Dallas, TX Katılım Mayıs 2014
96 Takip Edilen372 Takipçiler

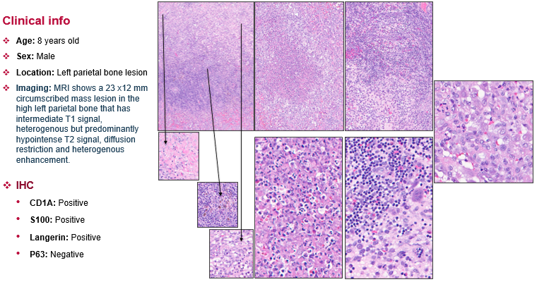
Methylation Case of the Week:
8 year old male with a left parietal bone lesion. S100 and CD1A-positive. EM was not done but it would've shown characteristic features. Any thoughts on what this might be? #neuropath #pathology #PathTwitter

English
Jeffrey Gagan MD, PhD retweetledi

@NCIKenAldape Subependymal giant cell astrocytoma with TSC1/2 mutation?
Română

Methylation Case of the Week:
11 year old female with a right ventricular mass. GFAP- Synapto- and TTF1- positive. DNA sequencing showed a (diagnostically helpful) mutation. Giving enough information So Everyone Gets the Answer. #neuropath #pathology #PathTwitter

English

@sanamloghavi Not disagreeing with you in the slightest, but I pay for a password manager that lets me tag my various editoral manager logins with the journal name. It's worth every penny.
English

My (repeat) plea to journals & journal editors.
Pls put a direct link to the paper in your invitation for review.
If you’re asking me to log into your portal w/ username/password that I can’t remember, chances R 💯 that I will delete the email.
Thanks 🙏🏻
#AcademicTwitter
English

@jim_bo_ Don't be fooled by the framing, we were not out in the middle of the woods. Most of the animals I came across had a surprising tolerance for humans.

English

@grumpymdphd I would bearly be able to keep the camera steady in this scenario.
English

Happy birthday to my amazing wife @emilygironda. Spending my life with someone who wants to go a K pop concert one week and then the opera the next has been amazing. I can't wait to see what new adventures and rabbit holes we find ourselves down in the future.


English

@emilygironda I didn't mention the group or my favorite member, so I think we're safe.
English

@grumpymdphd Sir, are you using my birthday to go viral in the Philippines again? I thought you learned your lesson about using the K-word on Twitter
English

Don't procrastinate on getting your hotel either. Speaking from experience on this one!
Association for Molecular Pathology@AMPath
Registration for #AMPath23 is OPEN! Join your colleagues in stunning Salt Lake City, UT for three days of exciting #molpath programming. Early Bird registration ends September 20: ow.ly/ocoW50P2RAN #pathtwitter
English

@DrJPLow @DrCycloPath @NCIKenAldape I think the "GAP" is a double play on HGAP with an NF1 mutation. NF1 is a GTPase activating protein (GAP).
English

@DrCycloPath @NCIKenAldape I agree ! I'm not getting the gap either..
But would guess HG astro with piloid features?
English

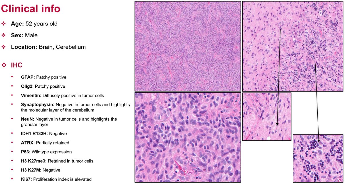
Methylation Case of the Week:
52 year old male with cerebellar tumor. IDH1(R132H)-negative, ATRX loss in tumor cells, H3 K27me3-retained. CDKN2A homozygous loss is present. Can you fill the GAP to reach a diagnosis? #PathTwitter #pathology #neuropath

English

@pde158 @BMJOncology I don't want to get into specifics, but cancer screening is a much more nuanced topic than even many physicians appreciate. We will never have something as good as a pap test for every cancer. I recommend reading this book for background. goodreads.com/book/show/1338…
English

@grumpymdphd @BMJOncology It seems the problem for many is what’s considered “normal” PSA results. So how do men know when they should ask for an MRI, a lengthy test in a very limited number of machines?
English

The chief investigator of the BMJ Oncology study said it was “a sobering thought” that more than half of the men who had serious cancer “would have been reassured that they didn’t have cancer by a PSA test alone”.
telegraph.co.uk/news/2023/08/2…
English

@pde158 @BMJOncology No, the article is saying that MRI found serious disease in men with normal PSA levels.
English

@BMJOncology My experience is that PSA results only give an indication that there may be a prostate problem. If the PSA numbers are too high, an MRI will show what the whole prostate looks like but a biopsy will still be necessary to determine the nature of the MRI’s findings. Am I correct?
English







