ذعار القحطاني

248 posts

ذعار القحطاني banner
ذعار القحطاني

ذعار القحطاني

@i_th44

Endodontic Resident

Katılım Ağustos 2018
279 Takip Edilen498 Takipçiler
SALMAN
SALMAN@SallDent·
@i_th44 @jendodmicrosurg تستاهل ولا هو شيء مستغرب ماشاءالله👏🏼👏🏼
العربية
1
0
1
256
ذعار القحطاني
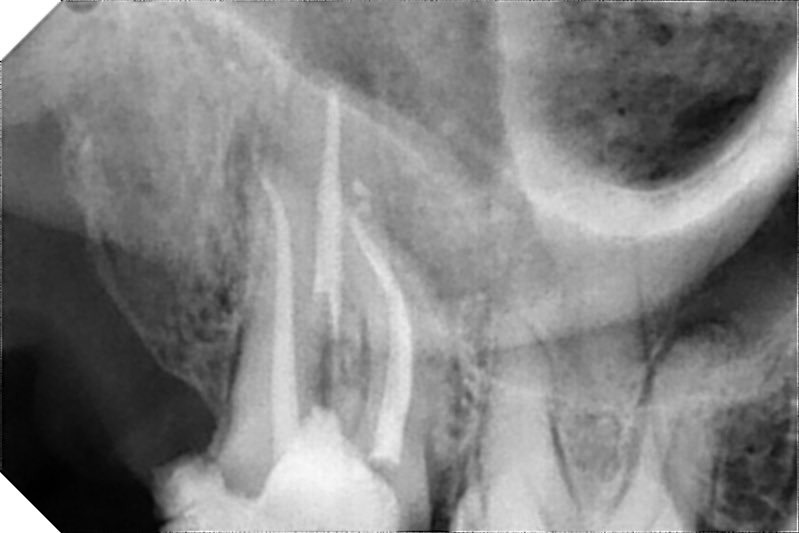
@ClaytonBigsbyEt الله يسلمك حياك الله ، في هالحاله الغالب - Torsional fatigue when the tip became locked in the canal while the remaining part continued to rotate around it.
0
0
0
89
Clayton Bigsby
Clayton Bigsby@ClaytonBigsbyEt·
@i_th44 ماشاء الله دكتور تسلم يدك ، بس سؤال دكتور ايش السبب اللي يخلي الفتيل ينكسر في هذي الحالة القناة مستقيمة تقريبا والفايل تقريبا ثلثه اللي مكسور ؟
العربية
1
0
1
144
Dr.Salman Alshammari
Dr.Salman Alshammari@salman_mssh·
@i_th44 تسلم يمينك يا دكتور ما شاء الله تبارك الرحمن 😍👌🏻👌🏻
العربية
1
0
1
220
Yazeed
Yazeed@I_Yazeed7·
@i_th44 لله درك يا دكتور وتسلم يدك ❤️❤️
العربية
1
0
2
264
نواف العتيبي
الحمدالله على البلوغ ثُم الحمدلله على التمام اجتزت اختبار البورد السعودي لطب اسنان الأسرة ✅
نواف العتيبي tweet media
العربية
16
0
63
9.8K