Lawrence Keating retweetledi
Lawrence Keating
19 posts


@kevinburns @AlbanyIR A 1”floppy tipped Amplatz is recommended. I used a Rosen for this case- tracked well
English

47 yo p/w massive PE s/p systemic tPA and persistent hypotension. Extensive right-sided PE on angio. Thrombus completely removed with FlowTriever mechanical thrombectomy. PA pressure decreased to 30mmHg from 64 mmHg immediately. #IRad @SIRspecialists @SIRRFS @SIR_ECS @JVIRmedia


English
Lawrence Keating retweetledi

LIVE @MountSinaiNYC #IRad: Claudication post Y90 - Angioseal injury
@Medtronic Spider "filterwire snare technique" and 7F Guidecath removal of plug and PTA
#RadialFirst #withoutascalpel #gettheplugout @bonesz @AlanBirneyMD

English
Lawrence Keating retweetledi

72 yo w/acute urinary retention 2/2 BPH. Remote h/o TURP. VIR consulted for PAE. Great clinical result. For more case info check out AlbanyIR.com/pae-case-1 and AlbanyIR.com/prostate-arter… for more about PAE. #IRad #PAE @SIRRFS @JVIRmedia



English
Lawrence Keating retweetledi

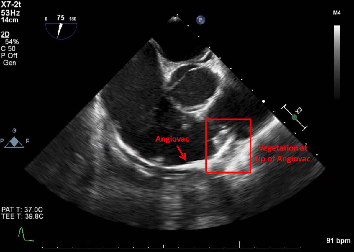
Part 2/2: 25 yo M IVDA with pulmonic valve vegetation. Successful Angiovac aspiration of 1.1cm vegetation with TEE guidance and no contrast. Vegetation positive for micrococcus luteus, antibiotics adjusted accordingly. @Striker9DO @gsiskin @SIRRFS #withoutascalpel #IRad




English
Lawrence Keating retweetledi
Lawrence Keating retweetledi

IR integrated residency demystified at #NERegionalVIRSymposium by @SunHoAhn #medicalstudents #IRad #minimallyinvasive

English

@socpedsir @AaronFrittsMD @ABrandisVIR @SDhandMD @Interventional2 @dr_ajag @IR_Doctor @amdevane @beckcj @_backtable @Drshiloh Between dorsal and greater pancreatic aa. supposedly avoids pancreatic ischemia..dunno but I occlude at about first third of splenic a.
English
Lawrence Keating retweetledi

New website up and running. Check us out @ AlbanyIR.com #irad #innovative #patient-centered #minimallyinvasive

English
Lawrence Keating retweetledi
Lawrence Keating retweetledi
Lawrence Keating retweetledi

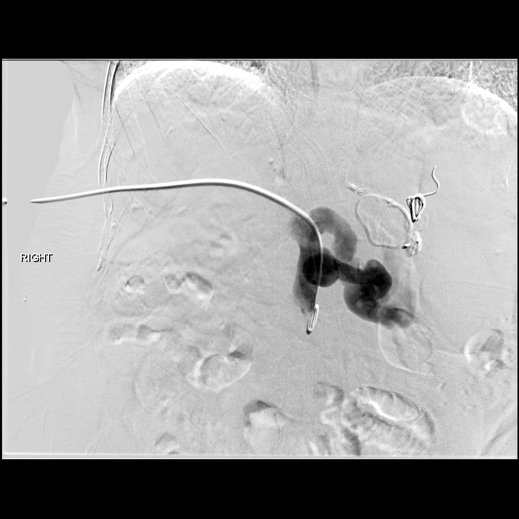
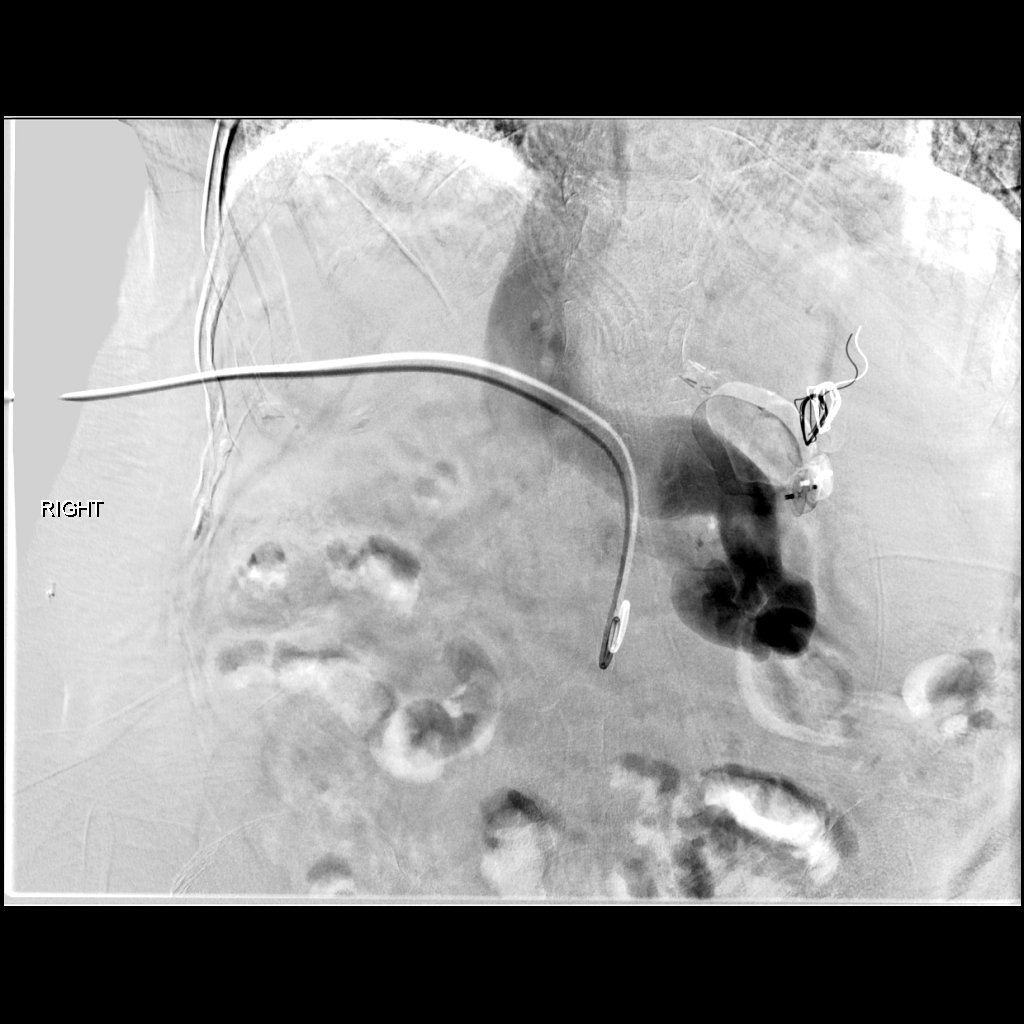
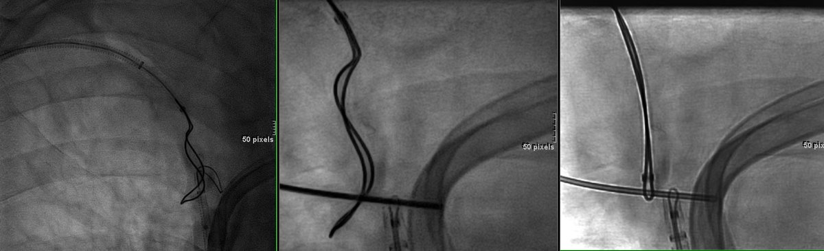
Filter cap within hepatic vein- percutaneous transhepatic filter retrieval- part 2- @SIRRFS @rkryu #irad @ZHaskal @JVIRmedia #outsidethebox
English
Lawrence Keating retweetledi

Part1- There are bleeding duodenal ulcers, and then there's this! #irad @SIRRFS @allen_herr @Cstark84 #gobbleonthis
English
Lawrence Keating retweetledi

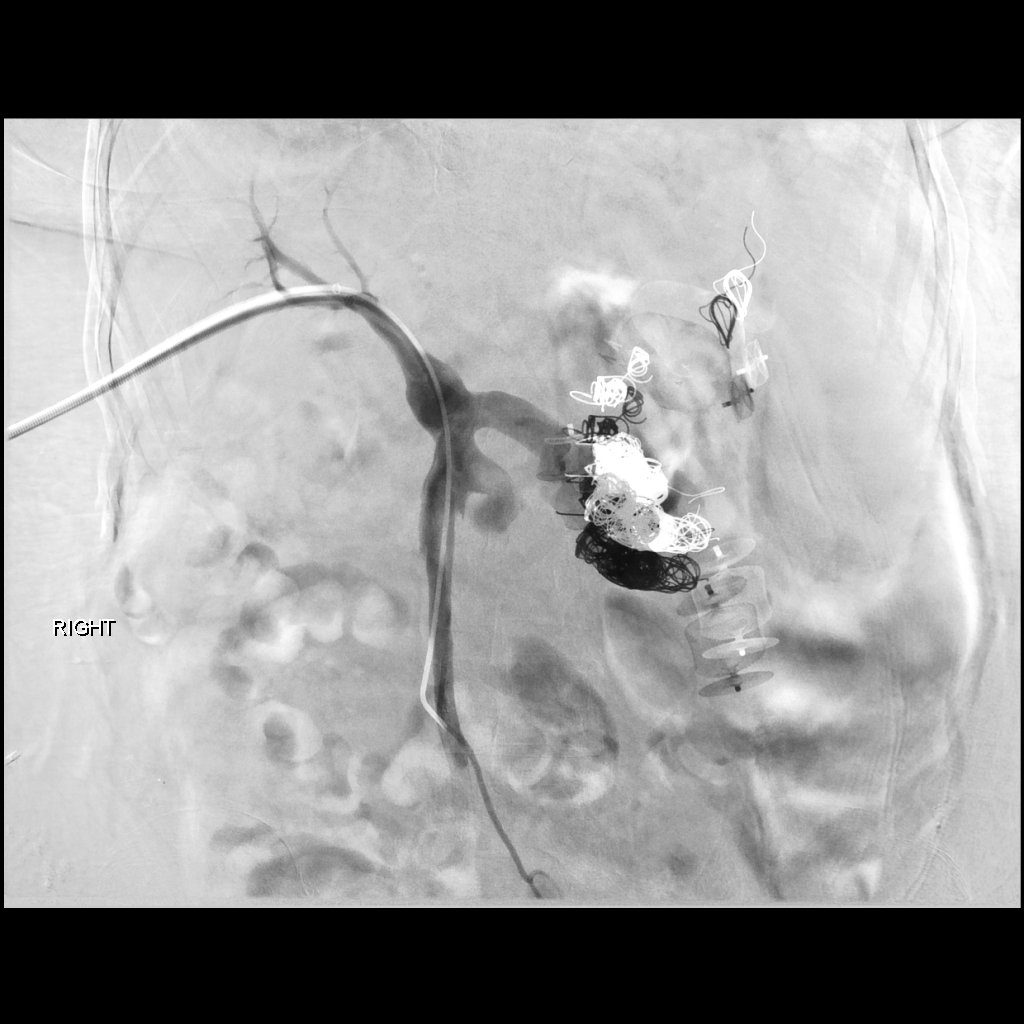
porto-systemic shunt- trans-hepatic access- 2 hrs,43 coils,2 plugs- @SIRRFS #irad #foamir #kitchensink #emptyshelves




English
Lawrence Keating retweetledi

Live @MountSinaiNYC #IRad: #Gunsight recan #SVC #subclavian #twosnares @MUSCVIR @gsiskin @rkryu @amishpatelmd



New York, NY 🇺🇸 English
Lawrence Keating retweetledi

Live from @MountSinaiNYC West #IRad: Pelvic #AVM treated w/ #onyx @Medtronic @AdFriedma @roblookstein #justglueit



Manhattan, NY 🇺🇸 English
Lawrence Keating retweetledi

LGA embo for bariatric patients; the next frontier. Excited to move it forward @SIRRFS @SIRspecialists @JVIRmedia

English
Lawrence Keating retweetledi

Extrinsic compression from a met node. Anasarca. Couple of @cookvascular Z stents should do the trick @Cook_IR


English
















