Marvin Lu retweetledi
Marvin Lu
40 posts

Marvin Lu
@marvlu
Cardiac Electrophysiologyst at @Adventhealth Daytona Beach | Alum @EmoryHeart
Atlanta, GA Katılım Kasım 2016
154 Takip Edilen163 Takipçiler

Kickstarting the Hybrid Convergent program at #adventhealthdaytona and reconnecting with my mentor @DavidBDeLurgio. #Epeeps #EmoryEP @AFib_Emory @emoryheart

English

Emory EP graduation 2023. #EPeeps #emoryheart @DavidBDeLurgio @FaisalMMerchant @melchami99 @AnandShah_MD @EvanBlankMD



English
Marvin Lu retweetledi

Learning Fluoroless PFA with @ampatelmd at @emoryheart. @emory_heart @BiosenseWebster #VARIPULSE #EPeeps



English

@SplitHis @MRazminia @Hapa_EP @HISrefrPVC @aalahmadmd @HHsiaMD @TinaBaykaner @majazayeri @EPeeps_Bot AMC; AL Pap
English

More PVCs! 🤩👇🏻 where is PVC#1? @MRazminia @Hapa_EP @HISrefrPVC @aalahmadmd @HHsiaMD @TinaBaykaner @majazayeri @EPeeps_Bot #Epeeps

Português

Its a privilege to be training @emoryheart with @DavidBDeLurgio to experience PFA firsthand. #EPeeps #varipulse #AdmIREtrial @BiosenseWebster


English
Marvin Lu retweetledi

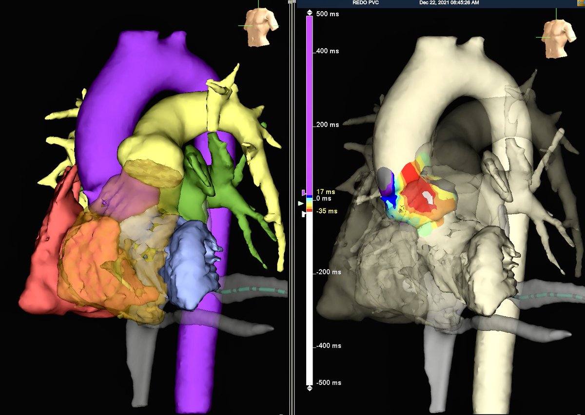
Coronary Cusp PVCs… found ya! 👋#1BurnTerm #HDGrid early bipole and beautiful unipoles contrast RVOT on-time bipole with early far-field “scratch”. CT helps visualize the proximity of structures @DavidBDeLurgio @SaintJosephsATL @AbbottCardio @emoryheart #EPeeps ❤️




English

Ablation of posteroseptal AP in a 22/M with recurrent palpitations. ⚡️ in 2.7 seconds! Thank you for the gift of learning @melchami99 #Epeeps #Emoryheart




English


Watching asystole on echo regain function after placement of a temp wire is just the experience I was looking for when on call on Halloween. @AnandShah_MD @melchami99 #EPeeps
GIF
English

@MelissaLyleMD @MayoClinicCV Many more awards to come your way! Congrats!
English

Honored to be included amongst such dedicated clinician educators! Teaching residents and fellows is the most rewarding part of my job! #WIC @MayoClinicCV
Pramod K Guru.MBBS,MD,DM,FASN@pkguru10
Being part of the ‘Learning Culture’ where the primary core value is ‘Collective Growth’!😇 -Congratulations @MelissaLyleMD @williampalmermd @RManochakian& others @MayoClinic #MayoClinicFL 💐 -Thanks @MayoFL_IMRES Friends & Colleagues.I am ‘Humbled & Grateful’.It means a lot.🙏🙏
Jacksonville Beach, FL 🇺🇸 English
Marvin Lu retweetledi

google.com/amp/s/www.nyti… As a Dartmouth med alum, I would like to respectfully ask the administration, what the fuck are you doing?
English

@RAQuintMD @WinshipAtEmory Oh man.. We got your back man. We will pray for you and your family. 🙏🏼
English

Well, this has been a tough year for all of us. Unfortunately, a couple weeks ago I was diagnosed with a lymphoma. The silver lining is that Emory Cards leadership has been extremely supportive and I’m getting treated by an awesome team @WinshipAtEmory. Looking fw to next year!🙏🏽
North Decatur, GA 🇺🇸 English






