Evan Blank
23 posts

Evan Blank
@EvanBlankMD
Electrophysiologist at @VirtuaHealth/@VirtuaHRS
Katılım Şubat 2020
752 Takip Edilen275 Takipçiler
Evan Blank retweetledi

Big day for our Electrophysiology program as we perform our first Epicardial VT ablation using CO2 , making epicardial access much safer for our patients.
@VirtuaHealth @AatishGarg_EP @EvanBlankMD @ginapinsk @DShole_EP @HeathHsalt @AudreyFerraro25 @AndreaEP65




English
Evan Blank retweetledi

Welcoming Dr Evan Blank to Virtua Heart Rhythm Specialists as we continue to grow our EP program. Dr Blank finished his EP fellowship at Emory University in Atlanta.
@EvanBlankMD
@VirtuaHealth @VirtuaHRS @ginapinsk
@AatishGarg_EP @DShole_EP @HeathHsalt @dchoi1278

English
Evan Blank retweetledi

@drjefflin Micra AV placed for CHB 3 months ago. In clinic, pt noted fatigue and found to have sinus node dysfunction. Symptoms thought to be due to dyssynchrony with V pacing. Transvenous DC-PPM placed and pt wished to have leadless ppm removed.
English
Evan Blank retweetledi

Neil Armstrong’s ECG strip the moment he was setting foot on the moon — ~150 bpm at “rest” (no ST changes ;))
#Apollo11

English
Evan Blank retweetledi

@naijaQRS @FaisalMMerchant @melchami99 @narrowQRS @rdschaller Looks like a short long short sequence with MVP. There’s probably a more elegant solution but could just make it DDD.
English

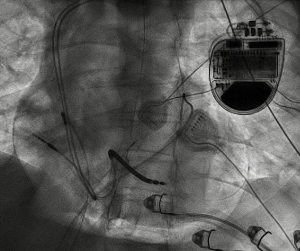
Question for EP fellows: Elderly M with dual ICD.
Incidental or Iatrogenic VF? What programming feature is shown here? How do you fix? #Epeeps @EvanBlankMD @FaisalMMerchant @melchami99 @narrowQRS @rdschaller

English

Even though axis is NW, this WCT doesn’t seem to fulfill VT criteria. Luckily, we have device recording. Diagnosis? @EvanBlankMD @FaisalMMerchant @melchami99 @AnandShah_MD #EPeeps



English
Evan Blank retweetledi

🔥Off the press: focused review on #race #ethnicity #hypertension #heartdisease w @kcfmd @ycommodore @JACCJournals #healthequity #bloodpressure #HTNroundtable #HTN80 #CardioTwitter #medtwitter @HHSGov @Surgeon_General @HeartNews @ABCardio1 @ACCinTouch
bit.ly/3rTMDG4

English
Evan Blank retweetledi
Evan Blank retweetledi

In the invited review by Dr. Lara-Breitinger et al., authors review the current literature & provide recommendations on best practices for nutrition interventions and future research that support secondary prevention outcomes. bit.ly/3k1mXCR @kylalaraMD
@DrSteveKopecky

English
Evan Blank retweetledi

Evan Blank retweetledi

#EPeeps- great start to a Friday @emoryheart @AFib_Emory. After isolation of veins, long standing pers afib x2.5yrs converts to SR and we see AT in right veins ongoing with SR in rest (abl is red tracing, in RMV)
@EvanBlankMD @danealson @MarinaBrand5 @PatelApoor @ampatelmd

English
Evan Blank retweetledi

Unexpected atypical flutter using an anchor point on LA anterior wall… first time ablation…the #HDgrid sigs were rockin!
@MarinaBrand5 @_shannonmillard 🎤 drop on the map, @EvanBlankMD terminated this like a boss ⚡️
English

Congrats to my co-fellow Stephanie Wang presenting @emoryheart ‘s experience with management of CEID lead perforation. #eppeeps #HRS2021

English






