
放射線科医モルガナイト
276 posts

放射線科医モルガナイト
@morganite9999
双極性障害(躁うつ病)の放射線診断専門医、IVR学会専門医 気分はいつも上がったり下がったり〜 毎日波乗り 体力ないです


・誤嚥する ・また肺炎を起こす それはわかります。 お医者さんには感謝してます。 でもそうじゃない。 胃ろうして寿命を伸ばすのがお医者さんの役割かもしらんけど、 そうまでして長く生きたいと 父ちゃんも思ってないし 私も思ってない。 ただ辛く生き延びてるだけやから。


私が研修医のときに浸潤療法!って盛り上がってたんですが、どうなったんでしょう? キズパワーパッドがいいけど、毎日交換してねってことか?




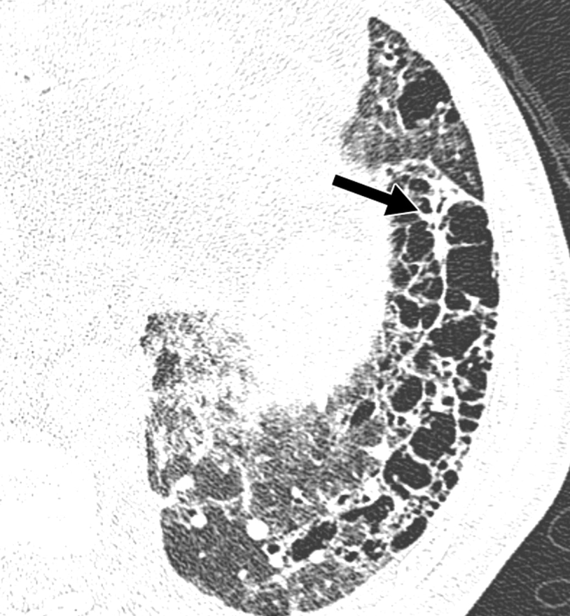
指導医 「間質性肺疾患の分類に重要なHRCTパターンをざっくり解説するぞ!」 専攻医 『今回は、特に特発性肺線維症(IPF)の診断で重要な UIPパターン の特徴についてっす』 指導医 「ちなみに、この分類は、病理学的なUIPが存在する確率を推測するためのものなんだ。 だから、スライドに示すUIPらしさを示す所見があれば、病理学的なUIPが存在する確率が高まるというわけ。 UIPらしさを示すポイントは、主にこの4つ。 🔹 蜂巣肺があるか? → 病理学的UIPを示唆する最も重要な所見 🔹 牽引性気管支拡張があるか? → 進行した線維化ではほぼ必発 🔹 分布はどうか? → UIPは 両側下葉・末梢優位 に分布するのが特徴 🔹 線維化のない部分が混在しているか? → UIPは 不均一な線維化分布 を示す これらがあると、病理学的なUIPを疑うぞ。 だから、HRCTを読むときは、こういった所見を慎重に評価するクセをつけようぜ! <つづく↓>


【朝カンファで出した症例①】 ・リンパ脈管筋腫症(LAM) 生殖可能年齢の女性に発症するまれな疾患。 結節性硬化症に伴うことがある。 肺LAM:胸部CTでは多発する薄い壁の嚢胞が肺全体にびまん性に見られる。 肺外病変として腎AMLは有名。 骨硬化も来たすので骨条件は確認するべきだと教授から言われた。

高額療養費改悪、「どこかを削らないといけないし、自分に関係ないし」と思ってる人もいるみたいですが、マジでここだけは削っちゃダメなやつなんです。若い人が運悪く大病をした時の医療は最後まで守られるべきです。 国民が理解してないうちに決めるなんて最悪。

形成外科医がキズ〇ワーパッドを好まない理由ベスト3 第3位 毎日交換しないので創部を観察できない 第2位 同様の理由で創部を洗浄できない 第1位 滲出液を吸収してゲル化した状態を、患者さんが「膿が出た」と勘違いしてしまい本来不要な受診や電話問合せが増える ハイドロコロイド製剤はちょっと扱いにくさがあるんですよね(-_-;) #形成外科 #美容外科

採血の練習ぼくでやっていいよ!腕貸すから、患者さんだと思ってね と言うてソファで横になったら 1年目研修医くん👨⚕️「は、はい!それでは足の付け根から採血しますのでおズボンを…」 いきなり後輩の前で下半身露出されそうになって草












