Ranjana Nawgiri

1.3K posts

Ranjana Nawgiri

Ranjana Nawgiri

@pathjsa

Pathologist, Educator. T& RT does not mean endorsements #cytopath

Texas, USA Katılım Ocak 2015
634 Takip Edilen325 Takipçiler
Ranjana Nawgiri retweetledi
Syed Z. Ali
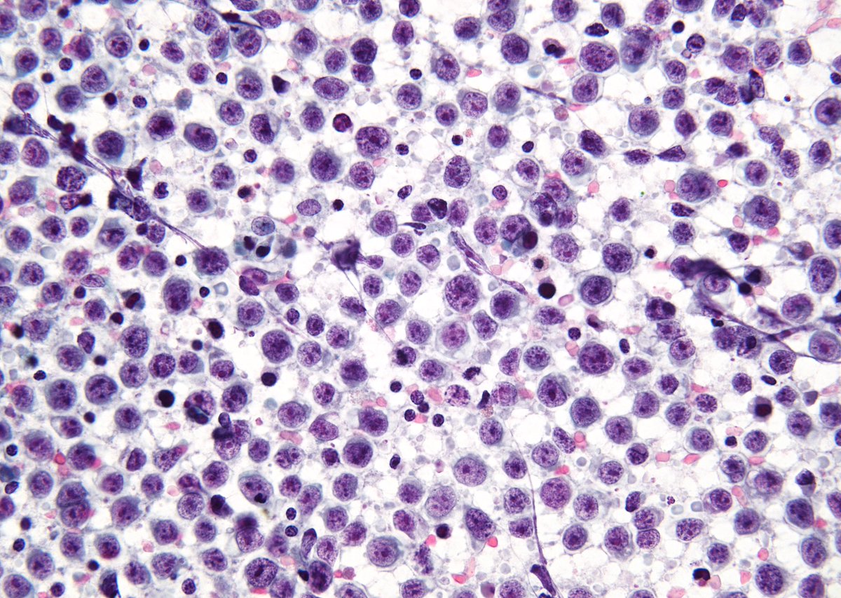
Syed Z. Ali@sza_jhcyto·
Teaching "Nuclear Molding" to students and interns - Metastatic Small Cell Carcinoma in pleural fluid. (Cytospin)
Syed Z. Ali tweet media
English
1
45
154
4.3K
Ranjana Nawgiri retweetledi
American Board of Pathology
American Board of Pathology@TheABPath·
Dr. Mohiedean Ghofrani @mghofrani , ABPath Trustee, presents "Reporting Discrete Non-Gynecologic Cytology Diagnoses in Epic Beaker AP Based on Standardized Terminologies" at the Pathology Informatics Summit 2024 - Association of Pathology Informatics.
American Board of Pathology tweet media
English
0
3
13
903
Ranjana Nawgiri retweetledi
Ranjana Nawgiri retweetledi
Syed Z. Ali
Syed Z. Ali@sza_jhcyto·
TEXTBOOK example. Retroperitoneal mass in a man in his 30s - “Seminoma”. (FNA, Pap stain)
Syed Z. Ali tweet mediaSyed Z. Ali tweet media
English
2
45
160
7.1K
Ranjana Nawgiri retweetledi
Lola Lozano
Lola Lozano@mdlozanoe·
"A jellyfish in a sea of cells" 🪼 in this urine sample. And a blurred seahorse in the background (Blue line)🧐😏🔬 #cytopath #lovingcytopathology
Lola Lozano tweet media
English
4
11
47
2.3K
Ranjana Nawgiri retweetledi
Sinchita Roy MD PhD
Sinchita Roy MD PhD@Sinchita_Roy·
Cancer Cytopathology@CancerCytopath

Did you know uses of DNA methylation profiling in #cytology? 👉 Determining unknown primary 👉 Tumor reclassification 👉 Prognostication 👉 Monitoring Rx 👉 Early detection Read this article re: DNA methylation profile in a #cytopath #laboratory acsjournals.onlinelibrary.wiley.com/doi/full/10.10…

English
0
7
21
2.3K
Ranjana Nawgiri retweetledi
Esther Babady, PhD
Esther Babady, PhD@EBabady·
FANTASTIC testimony by Dr. Dara Aisner on the potential impact of the FDA proposed ruling for LDT in today’s Health Subcommittee Hearing on Regulation of Diagnostic Tests ! Thank you @AMPath staff as well… I c u🫶🏽! Replay here 👉🏽 @energyandcommerce" target="_blank" rel="nofollow noopener">m.youtube.com/@energyandcomm
Esther Babady, PhD tweet media
English
2
8
41
5.9K
Ranjana Nawgiri retweetledi
Sinchita Roy MD PhD
Sinchita Roy MD PhD@Sinchita_Roy·
So incredibly proud to know Dara Aisner who gave an incredible testimony at the Health Subcommittee hearing today. Watch it to fully understand the impact of the FDA proposed ruling for lab developed tests #pathology #LDT youtu.be/sQOYPjdTMzU Thank you @AMPath
YouTube video
YouTube
Esther Babady, PhD@EBabady

FANTASTIC testimony by Dr. Dara Aisner on the potential impact of the FDA proposed ruling for LDT in today’s Health Subcommittee Hearing on Regulation of Diagnostic Tests ! Thank you @AMPath staff as well… I c u🫶🏽! Replay here 👉🏽 @energyandcommerce" target="_blank" rel="nofollow noopener">m.youtube.com/@energyandcomm

English
2
9
36
3.3K
Ranjana Nawgiri retweetledi
UTMB Pathology
UTMB Pathology@UTMB_Pathology·
📸 Meet the UTMB Pathology residents! Ready to dive into the world of pathology together🔬🎉 Excited to welcome new faces to our @UTMB_Pathology family this Match Day! 🎊 #PathMatch24 #PathTwitter
UTMB Pathology tweet mediaUTMB Pathology tweet mediaUTMB Pathology tweet mediaUTMB Pathology tweet media
English
0
7
35
1.6K
Ranjana Nawgiri retweetledi
Natasha Rekhtman MD PhD
Natasha Rekhtman MD PhD@natasharekhtman·
Hot off the press! Delighted to share the review article by Jason Chang and I @ModernPathology on the ever-vexing problem of multiple lung carcinomas. This affects ~1 in 5 patients with lung cancer, so is exceedingly common. Recent molecular methods are providing major insights into pathology and clinical aspects here. Please check it out! sciencedirect.com/science/articl… @PulmPathSoc @MSKPathology #PulmPath #MolPath @DrNetto @smlungpathguy
Natasha Rekhtman MD PhD tweet media
English
7
45
98
14K
Ranjana Nawgiri retweetledi
Pepe Jiménez Heffernan
Pepe Jiménez Heffernan@pepeheffernan·
Part 4. The main differential is metastatic medullary thyroid Ca, so take advantage of the moment and check the thyroid. Obviously, calcitonin and TTF1 are also very useful. Most head/neck PG are from the parasympathetic system and morphology is 🟰 to sympathetic ones. Thanks!
English
0
2
7
489
Ranjana Nawgiri retweetledi
American Board of Pathology
American Board of Pathology@TheABPath·
We are pleased to announce the launch of our new Histology Primer, an online learning platform exploring the basics of histology. bit.ly/3T1BGiQ
English
1
49
148
21.9K