Pathkids.com retweetledi

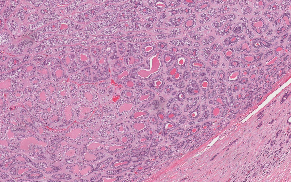
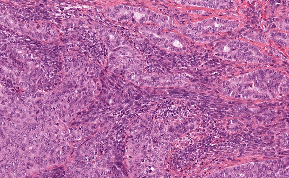
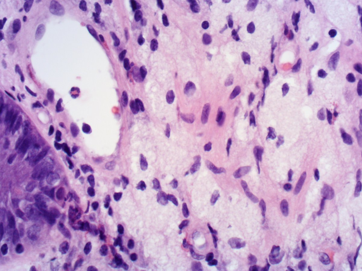
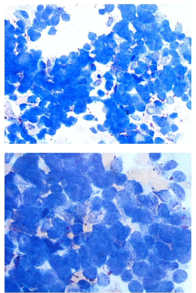
70M with parotid mass. What is your diagnosis?
#oralpath #oralpathology #pathology #pathologists #pathTwitter #HeadNeckPathol #HeadandNeckPath #ENTPath #PathologyTweet




English
Pathkids.com
929 posts

@pathkids
South West England regional histopathology training. Visit our website and Facebook forum for training info, cases, book reviews and FRCPath exam tips.
































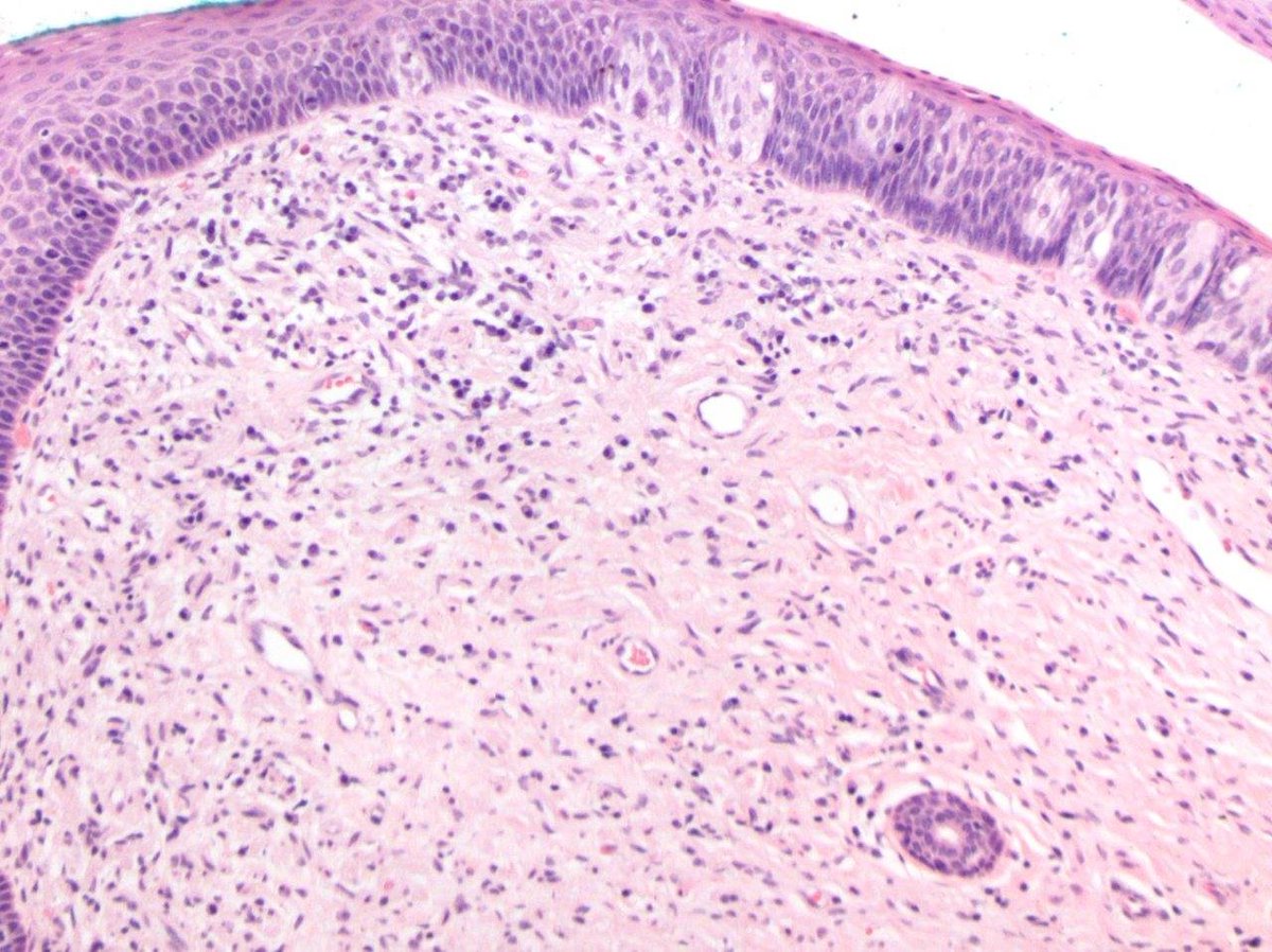
Man with rectal lesion, whats the likely diagnosis here? #GIpath














