Hisham Alshuaibi retweetledi

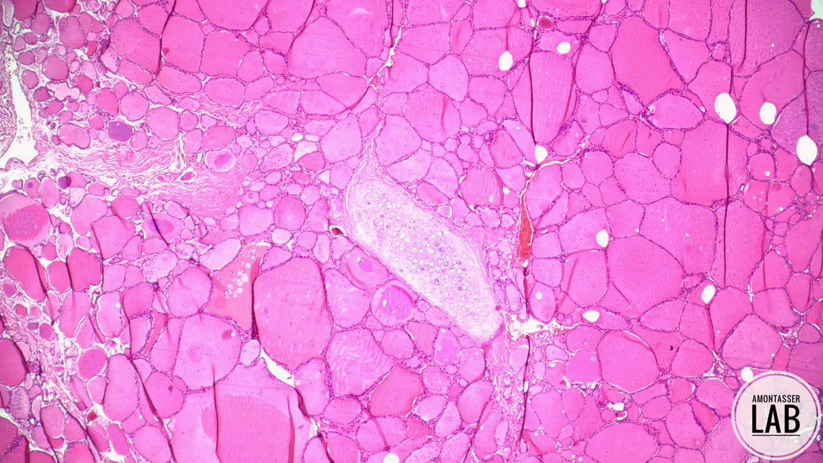
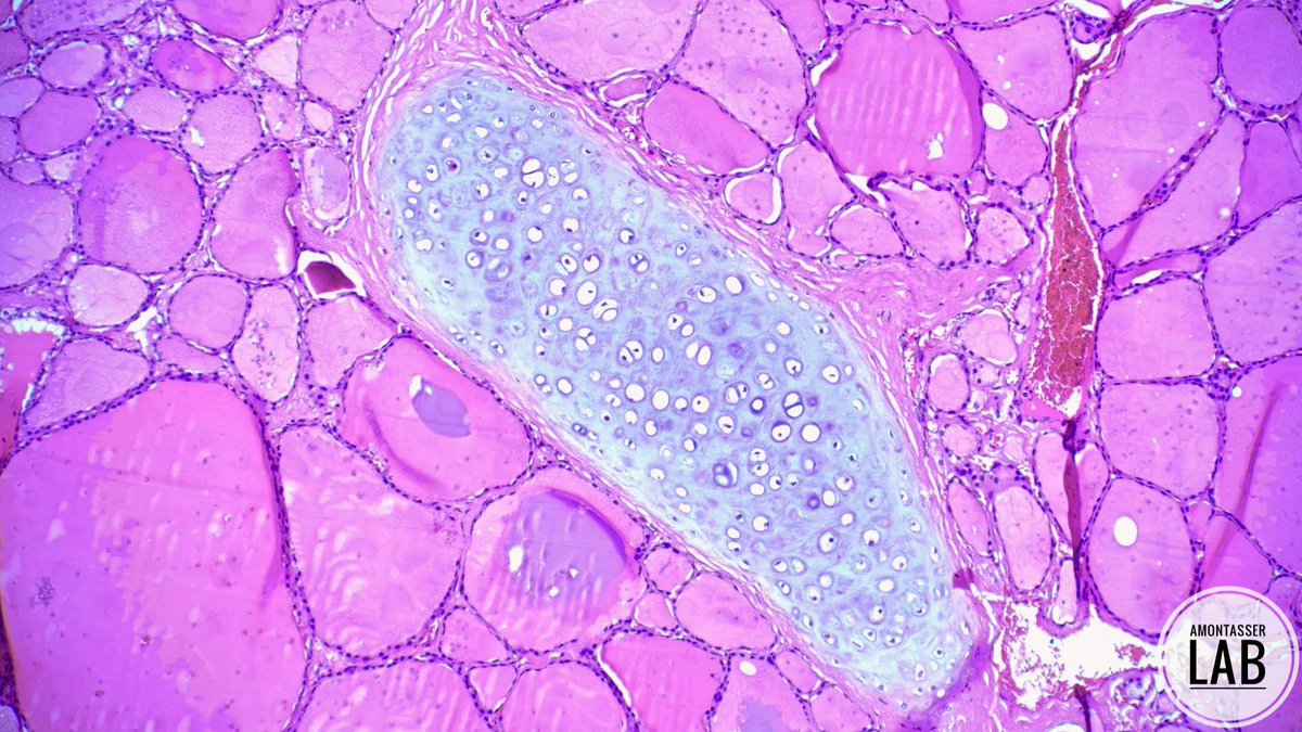
Cartilagenous metaplasia in a thyroid with nodular follicular disease
Exceedingly rare 😎
#Thyroid #Endocrine #Pathology #PathX #PathTwitter



English
Hisham Alshuaibi
7.7K posts

@Hashimoto__0
Oral & Maxillofacial Pathology resident @UFDentistry | Vegetarier 🌱 | Wissenschaft liebehaber 🔬. 🇸🇦Speicheldrüsen, Schilddrüse und Nase😁✨

























