Sabitlenmiş Tweet

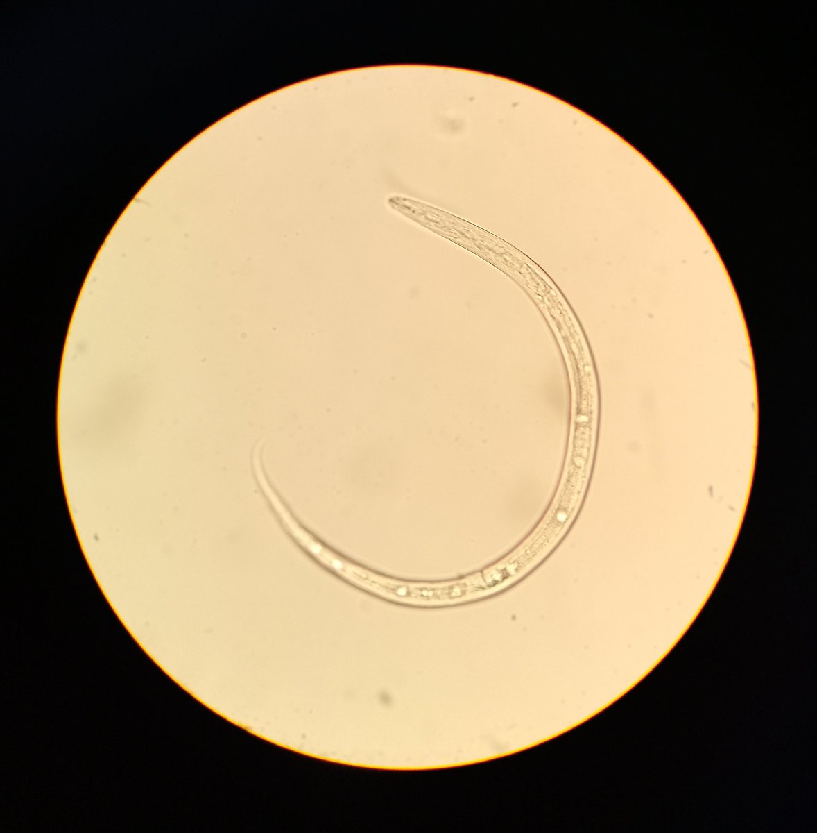
Estudio exploratorio de la estructura comunitaria de #nematodos edáficos en diferentes usos de #suelo en el estado Aragua, #Venezuela por Aniuska Montilla et al. (2023). 2° Congreso Internacional de #Biodiversidad. Laboratorio de Nematología Agrícola de la FAGRO-UCV.

Español
































