

Patrick Tran
95 posts

@ptdoodles
Interventional Radiologist @UChicagoIR, doodler, culinary mad scientist, and hoarder of odd hobbies || @UCISurgery Prelim, @RushMedical c/o 2019



An incredible transformation in our specialty is occurring, fueled by the growth of embolization and outpatient practice. I’m blessed to lead some of these changes, through both research, industry, and clinical practice. On the heels of these changes, I’ve made the decision to resign from the Dept of Radiology to explore a more innovative way to serve the specialty and my patients. More details to come… #irad #lfg #hh 🦴




Congrats and welcome to the family! #Match2025 #irad @UChicagoIR @UChicagoRADS

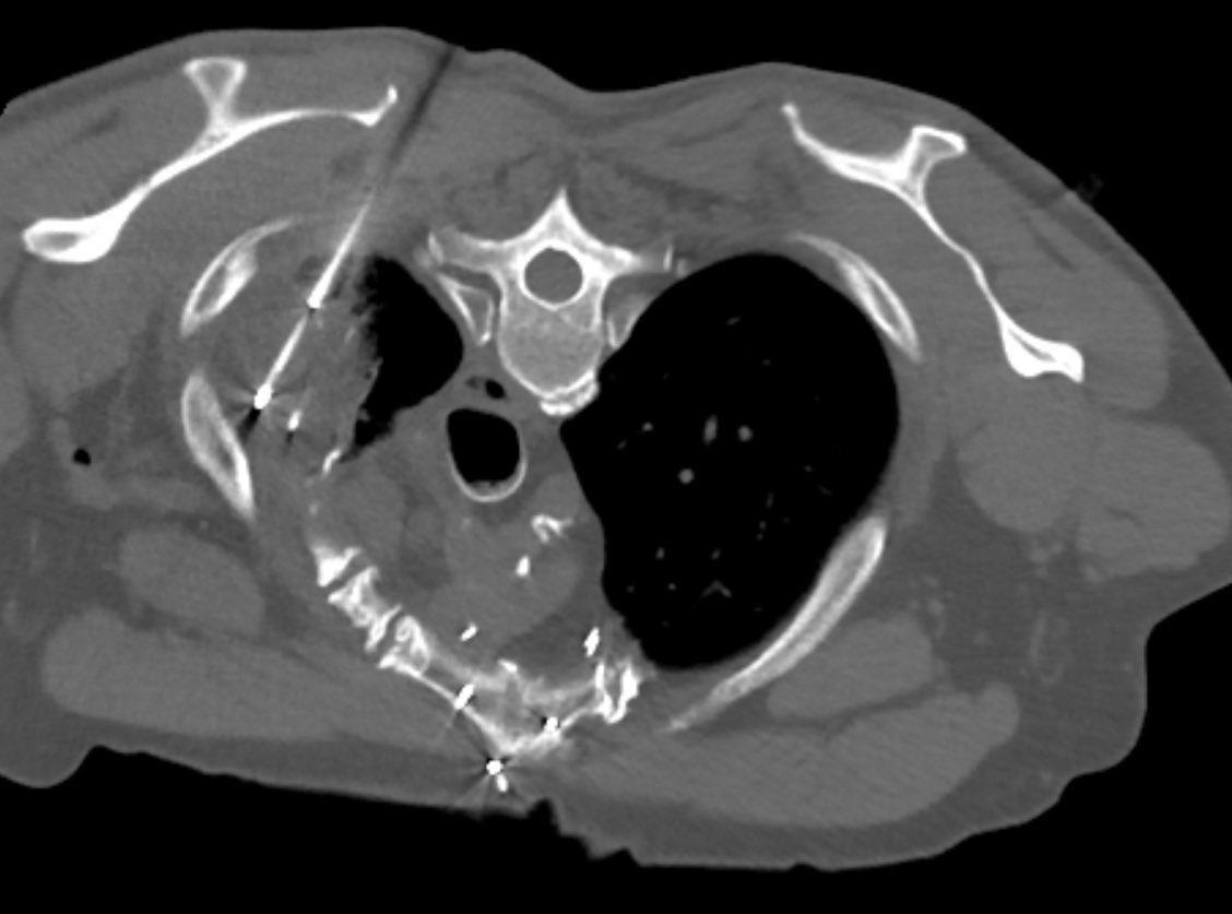
Nice Valentine’s Day case with 😁@ptdoodles 🫁 💘










What a great result! 🥳🥳🥳🥳 @UChicagoRADS Welcome!🥰 So happy to have you in 2024!

Congrats and welcome to the family! #irad #Match2023 @UChicagoIR @UChicagoRADS







