rami jubeh retweetledi
rami jubeh
43 posts

rami jubeh
@ramii125
Director, Cath Lab Services- Shaare Zedek Medical Center- Jerusalem #CTO #CHIP #LM #Bifurcation #PCI #TAVI
jerusalem Katılım Şubat 2010
181 Takip Edilen112 Takipçiler

Our new SCO technique for combined AS, LM stenosis and LV dysfunction
Elad Asher@AsherElad
Simultaneous Cardioflow Optimisation to facilitate haemodynamic recovery after rapid ventricular pacing during TAVI #EHJCR academic.oup.com/ehjcr/article/… @PCRonline @Sbrugaletta @Ortega_Paz @Anazmicalik @guilbom @hect2701 @NicolaRyanI1 @DrPascalMeier @W_jyg @ICigalini @Hragy @SABOURETCardio @mmamas1973 @djc795 @GreggWStone @toreyj01 @EAPCIPresident @CMichaelGibson @SmithElliotjs @ArielRoguin @aayshacader @twj1974
English
rami jubeh retweetledi

#ICI2024 CTO session with the great @SmithElliotjs and @ramii125 @IlyaLitovchik 🍷🏆
@PCRonline @Sbrugaletta @Ortega_Paz @Anazmicalik @guilbom @hect2701 @NicolaRyanI1 @DrPascalMeier @W_jyg @ICigalini @Hragy @SABOURETCardio
@mmamas1973 @djc795 @GreggWStone @toreyj01 @EAPCIPresident @CMichaelGibson @ArielRoguin @aayshacader @twj1974



English

@AsherElad @PCRonline @sbrugaletta @Ortega_Paz @ANazmiCalik @Guilbom @hect2701 @NicolaRyanI1 @DrPascalMeier @w_jyg @ICigalini @Hragy From another angle


English

A 63 y.o female presented with NSTEMI. One year before CTA with normal LAD/RCA and mild lesion in OM1. Here is the angio and OCT images. What would you do?
@PCRonline @Sbrugaletta @Ortega_Paz @Anazmicalik @guilbom @hect2701 @NicolaRyanI1 @DrPascalMeier @W_jyg @ICigalini @Hragy @SABOURETCardio
@mmamas1973 @djc795 @GreggWStone @toreyj01 @EAPCIPresident @CMichaelGibson @SmithElliotjs @ArielRoguin




English
rami jubeh retweetledi

A young patient with incessant MSSA endocarditis. Recurrent septic embolism. S/P TVR, Severe LV. Extremely high risk for surgery. On TEE 2.4cm vegetation on the tricuspid. Successful aspiration with @InariMedical device.
English
rami jubeh retweetledi

Culprit lesion intervention before complete angiography in STEMI
jamanetwork.com/journals/jaman…
@MShuvy @AnnaTuryan
@DvirDanny @PCRonline @Sbrugaletta @Ortega_Paz @aayshacader @Anazmicalik @guilbom @hect2701 @NicolaRyanI1 @DrPascalMeier @W_jyg @ICigalini @Hragy @SABOURETCardio
@mmamas1973 @djc795 @GreggWStone @toreyj01 @EAPCIPresident @CMichaelGibson @SmithElliotjs

English

"Breaking Barriers in Cardiology: Successful Coronary Intervention with Excimer Laser 💫🔧 Overcoming challenges in a 1-year-old under-expanded stent using #ExcimerLaser #CoronaryAngioplasty #ELCA.🚀" @DvirDanny @AnnaTuryan @icszmc1 linkedin.com/posts/rami-ju-…
English
rami jubeh retweetledi
rami jubeh retweetledi
rami jubeh retweetledi
rami jubeh retweetledi
rami jubeh retweetledi
rami jubeh retweetledi

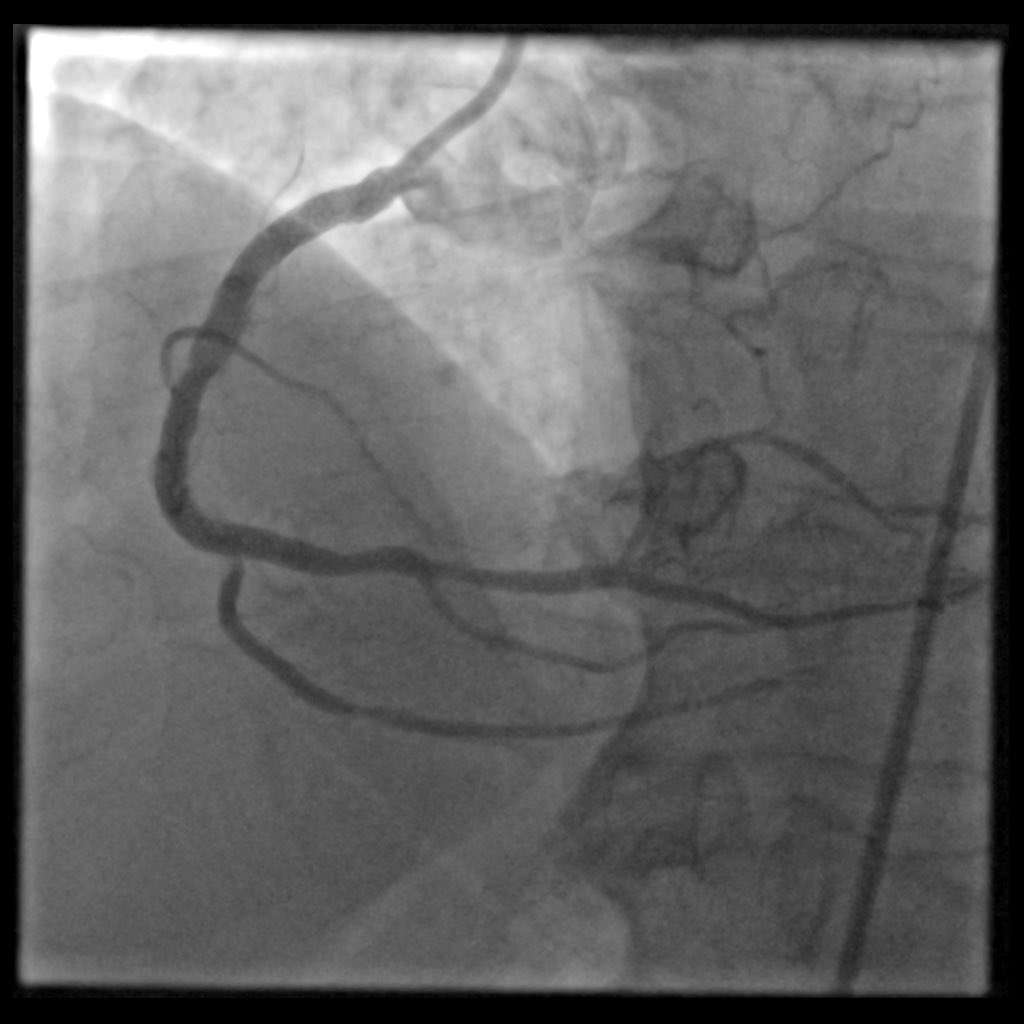
Many jewels in severe calcified RCA with @DvirDanny in @ShaareZedekMed @icszmc1 Shaare Zedek Medical Center,
80-year-old man with unstable angina, with severe critical calcific coronary artery disease of RCA. 2 diamonds 💎 💎(CSI and Rota) and one gold 👑 (Turnpike Gold)




English
rami jubeh retweetledi

Ultra Low Contrast PCI in @ShaareZedekMed
70 YOM NSTEMI CKD creatinine 2, treated successfully by Dr @ramii125 and Dr @AmirOrlev using an #IVUS #Coregistration technology and only 6ml contrast media (instead of ~100ml), with an excellent end-result.
Great news for CKD patients!

English
rami jubeh retweetledi
rami jubeh retweetledi

ShortCut- first dedicated device for pre TAVI leaflet modification. The team in SZMC is honored for performing these first in man cases. Now in press.
doi.org/10.1016/j.jcin…

English
rami jubeh retweetledi

First expand II patient in Europe in Jerusalem Israel with @DvirDanny @ramii125 @AnnaTuryan
Will some of our moderate AS patients have an indication for TAVI in several years? Exciting times !! #TAVR

English
rami jubeh retweetledi

Join us in a live broadcast to ICI meeting 2022 #icimeeting @AsherElad @ChetRihal @BradleyStrauss2 @CMichaelGibson @sbrugaletta @LarsSondergaard @nicolo_piazza @Drroxmehran @DFCapodanno @azeemlatib @baumbach_a @drmaisano @GreggWStone @drnvanmieghem @RenuVirmani1 @WijnsWilliam

English













