Michael Pritchett

137 posts

Michael Pritchett banner
Michael Pritchett

Michael Pritchett

@redsoxdoc11

Pulmonary & Critical Care Physician.

Pinehurst, NC Katılım Şubat 2013
144 Takip Edilen388 Takipçiler
Ramsy Abdelghani, MD
Ramsy Abdelghani, MD@Rabdelgh·
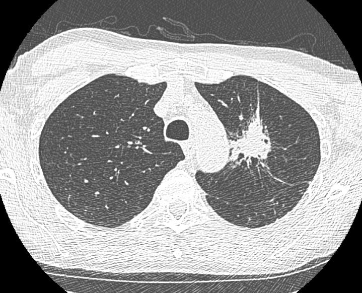
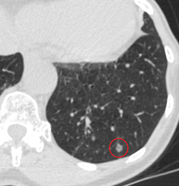
Cool case: 4.5mm partially solid PET-Avid LLL nodule. Used High PEEP/Tidal volume and wedged left side up to decrease dependent atelectasis. Navigated with Ion and adjusted with Philips CBCT. ROSE positive for Adenocarcinoma. Exciting times in lung cancer care! #ION #cbct
Ramsy Abdelghani, MD tweet mediaRamsy Abdelghani, MD tweet mediaRamsy Abdelghani, MD tweet media
English
16
7
74
11.2K
Ramsy Abdelghani, MD
Ramsy Abdelghani, MD@Rabdelgh·
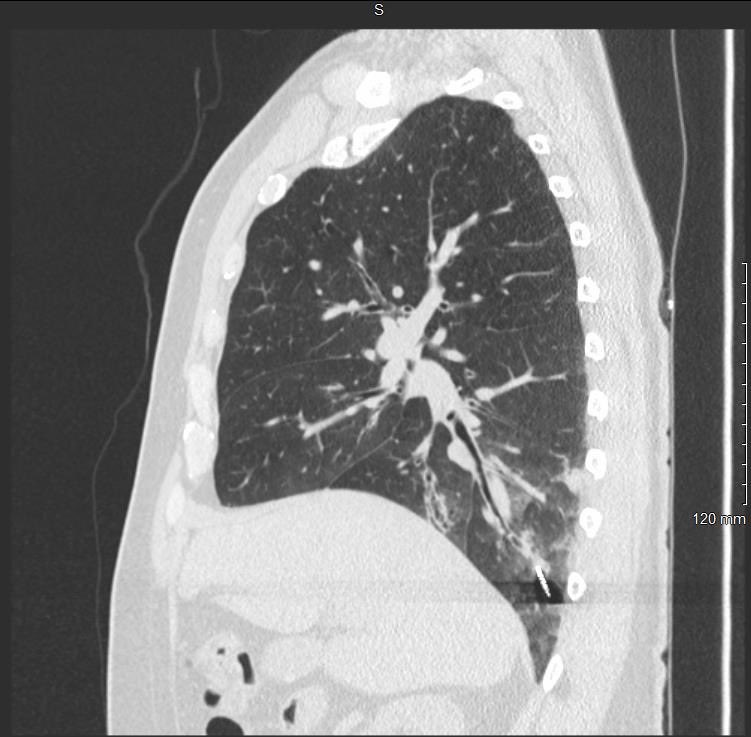
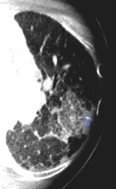
Growing LUL pleural based lesion with no airway leading to it and negative on IR biopsy. Was able to navigate close (within 2cm) to the lesion, biopsy, and adjust using CBCT. Positive for poorly differentiated carcinoma. I would have never tried this without CBCT and Robotics.
Ramsy Abdelghani, MD tweet mediaRamsy Abdelghani, MD tweet mediaRamsy Abdelghani, MD tweet mediaRamsy Abdelghani, MD tweet media
English
7
4
55
0
Michael Pritchett retweetledi
WABIP
WABIP@wabipconnect·
One of a kind: the 1st Bronchoscopic Ablation Summit -- this program is endorsed by the #WABIP wabip.com/events/564-1st…
English
0
2
2
0
Ramsy Abdelghani, MD
Ramsy Abdelghani, MD@Rabdelgh·
I used pulmonary forceps to dilate as I did not have any other dilation tools at my disposal that would fit through the robot (>100cm and <2.0mm). Would love to hear of other ideas/tools to better fix this problem in the future.
Ramsy Abdelghani, MD tweet mediaRamsy Abdelghani, MD tweet mediaRamsy Abdelghani, MD tweet mediaRamsy Abdelghani, MD tweet media
English
4
2
10
0
Ramsy Abdelghani, MD
Ramsy Abdelghani, MD@Rabdelgh·
A (useful?) workaround: This patient had radiation to a LUL lesion (First image). Another more apical PET-avid lesion arises, but to get to the apical lesion I had to go through the radiated area. I found the airway was very dense and severely stenosed (Second image).
English
1
0
4
0
Michael Pritchett
Michael Pritchett@redsoxdoc11·
@BhadraCondra Congratulations on your first day with Ion. 5 of 5 diagnostic! Welcome to the revolution.
English
0
0
2
0
Michael Pritchett retweetledi
SAB
SAB@SABronchoscopy·
TONIGHT'S LIVE webinar is @ 7pm EST! Hear from Drs. George Cheng and Joseph Cicenia as they discuss challenges in navigational bronchoscopy, CT to body divergence & more! tinyurl.com/y8kjjrv9
SAB tweet media
English
0
4
7
0
Michael Pritchett retweetledi
SAB
SAB@SABronchoscopy·
REGISTER TODAY for our 2021 SAB SUMMIT-Virtual Conference on Saturday, June 12th from 7:30am-3:00pm. Hear from Drs. Rajani Surendar Bhat & Tom Gildea as they discuss "Palliative Care and Advanced Bronchoscopy" REGISTER HERE>>tinyurl.com/5c2xj6n2 #Educate #Innovate #Empowe
SAB tweet media
English
0
4
12
0
Michael Pritchett retweetledi
SAB
SAB@SABronchoscopy·
Be at the forefront of Pulmonology Medicine with the SAB, join today! #innovate #educate #empowerment
SAB tweet media
English
0
1
6
0
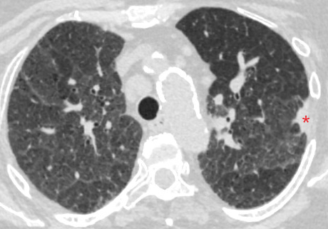
CHEST
CHEST@accpchest·
89% patients developed atelectasis in at least 1 out of 8 segments and 72% patients in at least 4 segments during bronchoscopy under general anesthesia: hubs.ly/H0D8cKG0 #journalCHEST
CHEST tweet media
English
4
45
117
0