Chris Larsen

334 posts

Chris Larsen banner
Chris Larsen

Chris Larsen

@renalpathdoc

Renal pathologist, researcher, and leader @arkanalabs

Katılım Nisan 2017
141 Takip Edilen2.7K Takipçiler
Arkana Laboratories
Arkana Laboratories@arkanalabs·
#TeachingPoints A 75 year old woman presented for her annual checkup with no complaints. She had a past medical history of hypertension and her blood pressure at this visit was 160/80. Laboratory findings were significant for an elevated serum creatinine at 2.1 mg/dL (baseline 1.0 mg/dL) as well as proteinuria of 855 mg/24 hr. All serologies, including proteinase-3, myeloperoxidase, and anti-nuclear antibodies were negative. A kidney biopsy was performed to evaluate the decreased kidney function and proteinuria. It revealed a total of five glomeruli were present, three of which showed a global endocapillary proliferation of large atypical cells with frequent mitotic figures (Photomicrographs A and B). These atypical cells were isolated to the glomeruli and stained positive for CD20 . The remaining glomeruli did not contain any proliferative changes. Electron microscopy and immunofluorescence were both negative for immune deposits. This is a rare subtype of extranodal diffuse large B cell lymphoma that has been known in the past by several different names and was originally thought to be a proliferation of endothelial cells; however, it is currently classified by the WHO as “intravascular large B-cell lymphoma” (IVBCL). IVLBCL most frequently affects adults over 60 and is typically widely disseminated in the small vessels of many organs at presentation. It most often presents without tumor masses or lymphadenopathy and lymphoma cells are usually not seen in peripheral blood smears. Clinical symptoms are highly variable and usually result from the occlusion of small vessels. The vast majority of cases are diagnosed in the bone marrow, liver, spleen, or skin. However, there are case reports of the diagnosis being made by kidney biopsy. In these cases, it usually manifests with slowly progressive renal failure and proteinuria which is frequently in the nephrotic range. #RenalPath
Arkana Laboratories tweet mediaArkana Laboratories tweet mediaArkana Laboratories tweet media
English
3
21
56
4.4K
Chris Larsen
Chris Larsen@renalpathdoc·
@lochon77 @arkanalabs A patient with clinical nephrotic syndrome and tip variant on biopsy should be considered to have a primary podocytopathy.
English
0
0
3
30
Lochtide7
Lochtide7@lochon77·
@arkanalabs But in tip lesion FSGS, we are not usually supposed to say primary vs secondary right?
English
1
0
1
180
Arkana Laboratories
Arkana Laboratories@arkanalabs·
Knowing whether a patient has clinical nephrotic syndrome and knowing the degree of podocyte foot process effacement can be helpful diagnostic clues in separating “primary” from “secondary” forms of focal segmental glomerulosclerosis (FSGS). For example, in a patient with the nephrotic syndrome whose biopsy shows FSGS lesions and no significant immune deposits by immunofluorescence, the presence of global effacement of podocyte foot processes by electron microscopy (as seen in Fig 1) provides support for a “primary” FSGS (see reference). #TeachingPoints #RenalPath Sethi S et al. Focal and segmental glomerulosclerosis: clinical and kidney biopsy correlations. Clin Kidney J. 2014 Dec;7(6):531-7.PMID: 25503953.
Arkana Laboratories tweet media
English
2
6
32
3.4K
Arkana Laboratories
Arkana Laboratories@arkanalabs·
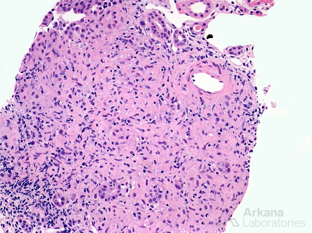
Today's #TeachingPoint is a biopsy from a 25 year old African American female with renal failure. The photomicrographs here show renal involvement by non-caseating granulomas eliciting the diagnosis of granulomatous interstitial nephritis. The patient was found to be hypercalcemic and to have hilar lymphadenopathy and reticulonodular infiltrates on chest x-ray and was diagnosed with sarcoidosis. A case series examining 46 cases of granulomatous interstitial nephritis (GIN) by Bijol et al (ref below) found the most common etiology (45%) of this pattern to be a drug-induced reaction. This was followed by sarcoidosis (29% of GIN), other (including infection) at 16% and there were 10% of cases that proved to be idiopathic. It should be pointed out that this case series was composed of cases from the United States and the etiologies from other parts of the world would likely be different.
Arkana Laboratories tweet mediaArkana Laboratories tweet media
English
3
12
38
4.6K
Dr. Vrushali Mahajan Deshpande
Dr. Vrushali Mahajan Deshpande@VrushaliPatho·
@arkanalabs Great case. Is there any objective criterion/number of crystals seen on a biopsy to define oxalate nephropathy? As these crystals are seen many times as non-specific finding in acute tubular injury. Thank you.
English
2
0
1
198
Arkana Laboratories
Arkana Laboratories@arkanalabs·
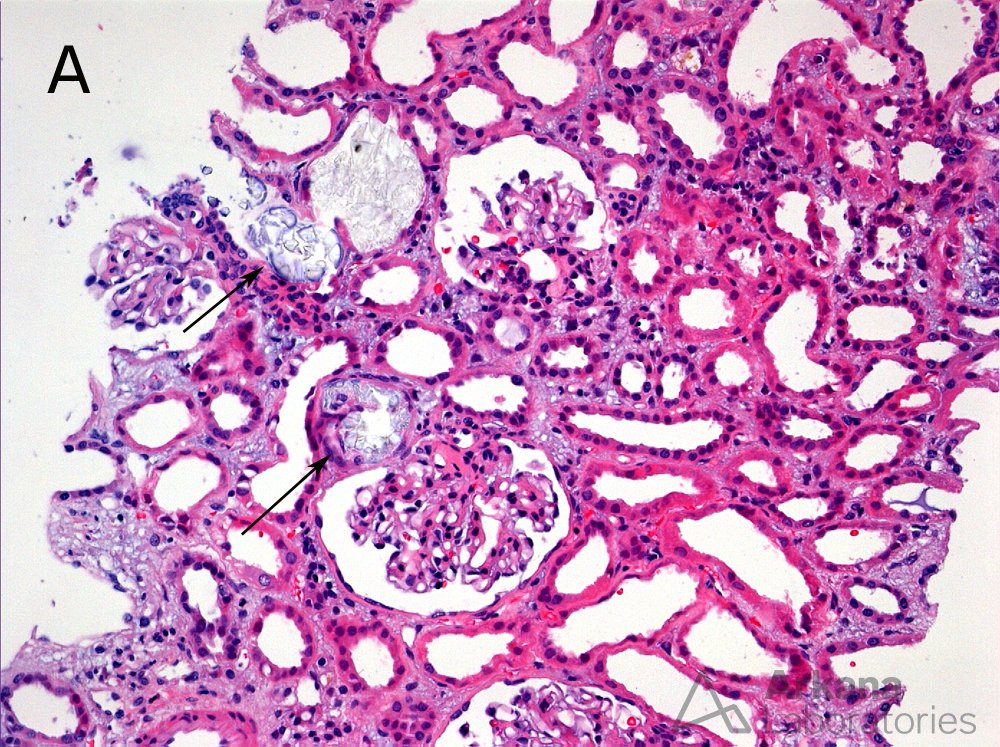
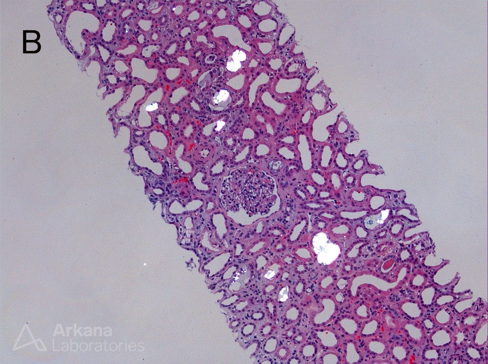
For today's #TeachingPoint, we'll review a 51 year old female with a history of SLE who was found to have acute renal failure. There was no evidence of glomerular proliferation by light microscopy but the biopsy did show (A) focal tubules with intraluminal and intracytoplasmic refractile crystals (arrows) (hematoxylin and eosin; original magnification × 100). (B) There are numerous intra-tubular birefringent crystals visible under polarized light (hematoxylin and eosin; original magnification × 50). These findings are consistent with kidney injury due to oxalate nephropathy. Known causes of oxalate nephropathy include primary hyperoxaluria, ethylene glycol intoxication, enteric hyperoxaluria (e.g. due to gastric bypass, chronic pancreatitis, small bowel resection, or malabsorption), exposure to the anesthetic agent methoxyflurane, vitamin B6 deficiency, and excessive ingestion of vitamin C or dietary substances rich in oxalic acid such as parsley, nuts, teas, and star fruit. The patient in the case shown here was found to be taking large daily doses of vitamin C.
Arkana Laboratories tweet mediaArkana Laboratories tweet media
English
3
18
50
6.7K
Chris Larsen
Chris Larsen@renalpathdoc·
@jesperkers 🤔 not sure. I suspect it is negative since these are composed of light chains but I did not check.
English
0
0
0
26
Chris Larsen
Chris Larsen@renalpathdoc·
Quick case-based teaching on the active lesions of ANCA including medullary angiitis and necrobiotic granulomas. loom.com/share/0991adb3…
English
0
8
17
3.4K