Sonia Aixut Lorenzo retweetledi

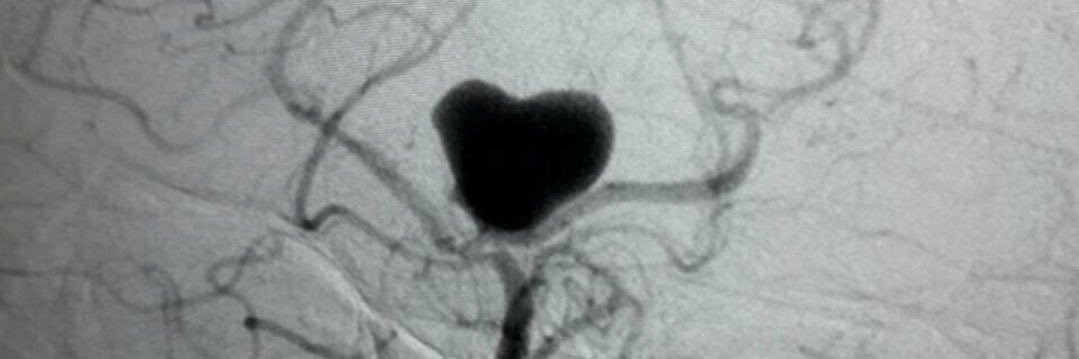
El Dr. Carlos Pérez@Justcharly9, nos resume en menos de 15 minutos los dos principales ensayos clínicos que comparan tratamiento Endovascular VS Quirúrgico (ISAT, IBRAT) de aneurismas rotos.
youtube.com/watch?v=UAU9fE…

YouTube
Español








































