
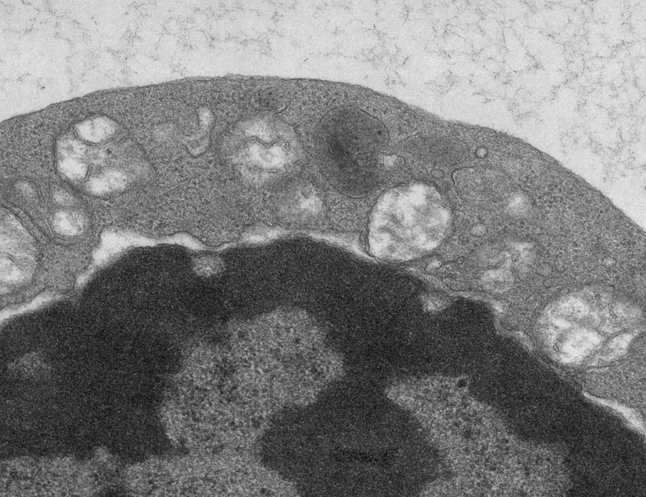
A new Science #Immunology study shows that mitochondrial fission activates host defenses via the unfolded protein response and antibacterial lipid drop formation, a pathway some bacteria can evade. scim.ag/3OYtG35

English
Science Immunology
3.5K posts

@SciImmunology
Science Immunology publishes original, peer-reviewed research articles that report critical advances in all areas of immunological research.







































