GingerBikkit
1K posts

GingerBikkit retweetledi

I take a lot of satisfaction in knowing my way around Venice's lanes & walking with purpose, but perhaps this week I will make it my mission to tour & photograph the dead ends I would normally avoid (and may never have visited)
italyheaven 🇮🇹 Emily@italyheaven
Sometimes it's worth taking a dead end #Venice
English

@italyheaven I know that spot! I have nibbled cicchetti nearby 😀
English

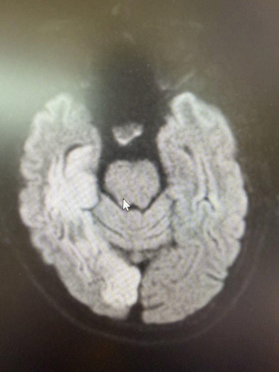
@LorenzoPinelli @neurobuckets Hubris and an astonishing lack of insight, even years later when writing this memoir. Maybe using descriptors like walnuts and white blobs is a tip-off that you are out of your depth…
English

@woolfox007 @neurobuckets How a clinician can think of giving a patient a diagnosis of brain cancer based on a basic CT scan without even waiting for the (neuro)radiologist’s report is something that I will never understand and perfectly illustrate the concept of medical υβρις
English

@LorenzoPinelli @neurobuckets Like this memorable moment in The Guardian a few years ago: theguardian.com/healthcare-net…
English

@neurobuckets Just don’t forget to read the “notes” (= report), when you “look at the images yourself” 🤓
English

@ChrisSmith2211 @BMAScotland So if I get high level subspecialist training in the US and then work in Scotland, will Anas pay Harvard for their time and effort?
English

Some good soundbites here but every one of them undermined by the atrocious idea of a minimum service requirement that would shackle caring professions to the NHS
Instead of entrapment we should want to stay because we feel valued & secure enough to put down roots.
Anas Sarwar@AnasSarwar
After 20 years of SNP Government failure, Scottish Labour will tackle NHS staffing shortages head-on. #scotlab26
English


@jrkdenison @EricLDaugh Pascal’s wager never seems to make inherent sense though, if there was an omnipotent omniscient God, would He not know that you had chosen an expedient “belief” for self-preservation only?
English

@EricLDaugh This is sad to see. Pascal's wager is not a valid basis on which to "convert". If you believe, fine. If you don't believe, fine. However, belatedly asserting faith because you lose nothing if you're wrong is just dishonest, with all due respect.
English

@MahanEsfahani Just make sure there is plenty of Calvados poured into it between now and Christmas 🎄
English

@micrabam @abrahamson_ed @DubCityCouncil I am despairing that there is a silent majority anymore though. This is just repellent.
English

@abrahamson_ed @DubCityCouncil Well they’re flaunting their antisemitism and hatred now. Cannot deny it now . But the silent majority will not be silent anymore. They may find they have woken a sleeping dragon. Get angry @abrahamson_ed not despondent!
English

Watching the @DubCityCouncil meeting - feeling utterly sick and despondent. There is palpable hatred in that room.
My optimism from last night has vanished.
English

@GeorgyKantor Interesting Piranesi exhibition in the Institut de France a few years ago, wandering through the library was a highlight

English

Do come and see this while it's still on: the largest Piranesi exhibition in Oxford this century, if not beyond, with some quite unique material there.
St John's College@StJohnsOx
A glimpse inside last week's private view of 'Theatres of Time: Glory, Decay, and Imagination in Piranesi’s Rome.' 🎨 The exhibition runs until 29 November 2025, and a guided tour is available on Wednesday 26 November at 4.30pm. sjc.ox.ac.uk/discover/event…
English

@educationgovuk Is this a parody? Naps? Forgetting if the kids have eaten?
English

@HenMazzig Primo Levi described trying to remember every item in his living room at home
English

"I tried to escape, I dug for several weeks, I wanted to work to change my fate. One night I managed to go outside and see the stars, for the first time.
“I wrote 'kidnapped' on a sandbag and was already planning my next move, but the terrorists found out and beat me for days. They tied me to a chair for a week.”
Former hostage Avinatan Or gave shocking new testimony about the horrors he endured in Hamas captivity.
"I was underground in Gaza for 738 days, alone, chained, without light and without food. I was one of the last hostages to return home. I was in the tunnels alone during my entire captivity.
“For more than two years I did not see sunlight, days passed without anyone speaking to me, I did not hear my language, no one called my name.
“The hardest part is not knowing anything, not what day it is, not what happened in the world, not whether the people I love are still alive."
"To survive, I created a few rules for myself, the first - patience, every day I told myself 'just one more day', 'don't think any further ahead'. Patience was my lifeline.
“Rule number two - find a common denominator. I talked to my captors about faith, about the Torah and the Quran, about Joseph and Yusuf, about Abraham and Ibrahim, different names but universal stories.
“Rule number three - anger destroys you. You can't survive when you're angry. I allow myself to feel it sometimes but I let go.
“Rule four - keep my brain working. My engineering background saved me, I counted steps, collected data, built a small lamp from broken cables, planned escape routes in my head and told myself 'you won't let others decide your fate."
"Everything in my life, childhood, my parents, military service and my work as an engineer taught me who I am. And I don't see myself as a hero, I didn't choose to be kidnapped, the heroes are the soldiers who chose to fight for others. They saved so many lives and I want to help them, that's my next mission."
Hamas tried to destroy Avinatan’s spirit. Because of his own efforts, they failed.
Whether he sees himself as one or not, Avinatan is certainly a hero to us ✡️💪

English
















