POCUS Focused

118 posts

POCUS Focused banner
POCUS Focused

POCUS Focused

@1POCUSFocused

EM/ICU POCUS mastery that sticks. Dr. Jones' 30+ years training → bedside confidence. Because patients deserve POCUS tailored to YOUR specialty. #POCUSNow

เข้าร่วม Aralık 2024
13 กำลังติดตาม896 ผู้ติดตาม
POCUS Focused
POCUS Focused@1POCUSFocused·
Clinicians tell us they want to be better at POCUS but feel behind, not from lack of effort, but lack of time. That’s why we built POCUS in Focus. One real ultrasound case a week. About 15 minutes. Built for clinical judgment. Live today with a limited $99 founder’s rate → pocusfocused.com/course/pocus-i…
POCUS Focused tweet media
English
0
1
3
277
POCUS Focused
POCUS Focused@1POCUSFocused·
On PSLA, posterior fluid that does NOT cross anterior to the descending aorta most likely represents:
English
0
0
0
89
POCUS Focused
POCUS Focused@1POCUSFocused·
Why this matters right now 🏥 With ongoing HF surges and crowded EDs/ICUs, accurate bedside interpretation impacts: • Diuretic strategy • Ventilation decisions • Admission level
English
1
0
0
102
POCUS Focused
POCUS Focused@1POCUSFocused·
The 2-day intensive POCUS course model is broken. Here's why. You spend a weekend learning 15+ scanning techniques. You practice on standardized models. You feel accomplished when you leave. Then reality hits: You get back to your hospital. You're unsure when to scan. The images don't look like the perfect examples. You lose confidence. You stop trying. Within 6 months, retention is below 25%. This isn't because you're not capable. It's because the training model violates how human memory actually works. The Science: Skills require multiple spaced exposures - distributed over weeks - to transfer from short-term memory to long-term competency. Cramming everything into one weekend creates the illusion of learning. But without strategic reinforcement, those skills don't stick. What Actually Works: - Spaced Repetition: Skills reviewed at increasing intervals over time - Retrieval Practice: Active recall (not passive video watching) - Clinical Application: Using skills on real patients with guidance available This is why our Hospitalist POCUS training is structured differently. Not longer - smarter. We work with how your brain actually consolidates skills, instead of fighting against it. The forgetting curve isn't negotiable. But training design can work with it. Learn more about our evidence-based approach: pocusfocused.com/course/hospita… #HospitalistPOCUS #MedicalEducation #CognitiveScience #CME
POCUS Focused tweet media
English
0
1
5
340
POCUS Focused
POCUS Focused@1POCUSFocused·
#POCUS Case of the Week - Kicking off 2026! 50 yo male w/ PMH of HTN, recurrent kidney stones, T2DM. Presents w/ bilateral flank/back pain x 5 days. Afebrile, VS stable. UA: microscopic hematuria, no signs of infection. POCUS left kidney (sagittal view) below. What do you see? Diagnosis? Any associated findings to check for? Management thoughts? Spoiler: Bilateral UPJ stones! These can cause obstruction & pain—POCUS is gold for quick ID in ED. What’s your go-to management for UPJ stones? Share cases or tips below! #POCUS #FOAMed #MedEd #Ultrasound #Nephrology #EmergencyMedicine@POCUS101 @NephroPOCUS @EMCases @ultrasoundpod Let's discuss!
English
0
0
3
424
POCUS Focused
POCUS Focused@1POCUSFocused·
🧠 End-of-Year POCUS Skill Check Be honest with yourself — could you confidently answer this? Question: What is the indicated structure (red arrows) in the left kidney of this patient presenting with flank pain and fever? ⬇️ ⬇️ ⬇️ Answer: While ultrasound is insensitive for diagnosing pyelonephritis—particularly in uncomplicated cases—advanced disease may demonstrate key sonographic findings. These include renal enlargement, areas of altered echogenicity, loss of corticomedullary differentiation, focal masses or abscesses, and perinephric fluid collections. In this patient with advanced pyelonephritis, the red arrows indicate a focal area of increased cortical echogenicity. 🎯 Why this question matters: POCUS proficiency isn’t about memorizing diagnoses. It’s about understanding when ultrasound is helpful, when it’s limited, and how to recognize advanced pathology when it appears — especially under pressure. 🧭 As we head into 2026: If your goal is to feel faster, clearer, and more confident at the bedside — this is the level of intentional training that makes the difference. 🔍 Train with focus in 2026: Explore specialty-specific POCUS education at 👉 pocusfocused.com/specialties #POCUS #RenalUltrasound #ClinicalDecisionMaking #MedicalEducation #POCUSFocused #MedEd #EmergencyMedicine #UltrasoundEducation #SkillBuilding @RJonesSonoEM @argaizr @mount_md @Cristin @NephroP @KalagaraHari @siddharth_dugar
POCUS Focused tweet media
English
1
4
26
2K
POCUS Focused
POCUS Focused@1POCUSFocused·
As we close out 2025, we've been thinking about what actually moves the needle for clinicians learning POCUS. It's not more videos to watch. It's not another generic course library. It's pattern recognition that sticks when you need it. Case-based learning from physicians who work the same shifts you do. Cognitive science that builds skills you'll actually use at 2 AM. That's what we built this year. And we're just getting started. If you're ready to approach POCUS differently in 2026: → Join POCUS Focused today Start the year with the clarity and confidence your patients deserve: pocusfocused.com/specialties #POCUS #EmergencyMedicine #POCUSEducation #ClinicalSkills #MedEd #NewYear2026
POCUS Focused tweet media
English
0
1
6
400
POCUS Focused
POCUS Focused@1POCUSFocused·
👀 A pattern you don’t forget once you’ve seen it. On this transverse upper-abdominal view, note the multiple echogenic circular lesions with hypoechoic rims — the classic target appearance. This patient had numerous liver metastases. 🧠 Pattern recognition first. Labels second. #POCUS #AbdominalUltrasound #LiverUltrasound #LiverMets #TargetSign #PointOfCareUltrasound #MedicalEducation #ClinicalSkills #EmergencyMedicine #Radiology #POCUSFocused #MedEd @RJonesSonoEM @argaizr @mount_md @NephroP @KalagaraHari @siddharth_dugar
English
1
4
22
1K
POCUS Focused
POCUS Focused@1POCUSFocused·
🗂️ Case of the Week This cardiac POCUS clip highlights septal bounce — a dynamic finding that can easily be overlooked if you’re not actively looking for motion patterns. Rather than memorizing isolated signs, focus on how the septum moves and why that movement changes with physiology and pathology. 🧠 These are the kinds of cases that reward deliberate viewing — and repeated exposure. 🎯 Follow @POCUSFocused for weekly case-based ultrasound learning designed to build real pattern recognition or find the perfect POCUS course for your speciality today: pocusfocused.com/specialties #POCUS #CardiacUltrasound #SeptalBounce #Echocardiography #PointOfCareUltrasound #MedicalEducation #ClinicalSkills #CriticalCare #EmergencyMedicine #POCUSFocused #MedEd @RJonesSonoEM @argaizr @mount_md @Cristin @NephroP @KalagaraHari @siddharth_dugar
English
0
2
13
728
POCUS Focused
POCUS Focused@1POCUSFocused·
Spot the pattern: These renal pyramids are: 🔘 A. Hydronephrosis 🔘 B. Renal vein thrombosis 🔘 C. Medullary nephrocalcinosis 🔘 D. Papillary necrosis (Answer below 👇) Answer: C. Medullary nephrocalcinosis The classic ultrasound finding in medullary nephrocalcinosis is increased echogenicity of the renal medullary pyramids, often described as hyperechoic medullary pyramids. This appearance is due to calcium deposition within the medulla, and the echogenicity can range from mild to intense depending on the degree of calcification. Want more POCUS education that sharpen your POCUS instincts? ➡️ Find your speciality and get started with your first module @ pocusfocused.com/specialties #POCUS #NephrologyEducation #UltrasoundFindings #KidneyHealth #MedicalEducation #Echogenicity @RJonesSonoEM @argaizr @mount_md @NephroP @KalagaraHari @siddharth_dugar
English
0
5
29
1.5K
POCUS Focused
POCUS Focused@1POCUSFocused·
" I had a conversation with a hospitalist last month that highlighted a huge problem with most POCUS "training." She told me: "My hospital bought access to a POCUS platform. It has like 50 hours of content. I watched maybe 3 videos and got overwhelmed. Never went back." This is the content library trap. Access to everything ≠ practical pathway to competency. Here's what actually happens: 1. You log in excited to learn 2. You see dozens of courses covering everything 3. You don't know where to start 4. You pick something random 5. You never build a coherent skill set Six months later, you still can't confidently use POCUS Real training isn't about having the most content. It's about having the right structure. When I learned POCUS later in my career, I needed a clear path: "Start here. Master this. Then move to that." Not "here's 40 hours of videos, good luck."" – @mount_md Our Hospitalist POCUS course provides that structure: → Clear starting point based on your experience level → Progressive skill building → Focused on applications that matter for hospital medicine → You always know what to learn next Because overwhelmed physicians don't become competent POCUS users. Supported, guided physicians do. See how structured training actually works: pocusfocused.com/internal-medic… #HospitalistPOCUS #MedicalEducation #ClinicalSkills @RJonesSonoEM @NephroP @KalagaraHari @siddharth_dugar
English
0
2
8
680
POCUS Focused
POCUS Focused@1POCUSFocused·
🚨 A time-sensitive scrotal ultrasound distinction: This sagittal Doppler image of the left testicle tells a critical story — if you read it correctly. Answer: The epididymal tail is enlarged, with inhomogeneous echogenicity and increased Doppler flow. The testicle itself has normal echogenicity and flow. This pattern is consistent with epididymitis of the tail. 🧠 Learning focus (PF Principle: “Retrieval beats re-reading.”) If you had only 10 seconds at the bedside, could you confidently separate epididymitis from testicular pathology based on flow and echotexture alone? Actively testing that distinction now is what makes it automatic when it matters. 🎯 Build that instinct faster. See more rapid-fire, case-based ultrasound decisions inside POCUS Focused → pocusfocused.com/specialties #POCUS #ScrotalUltrasound #Epididymitis #DopplerUltrasound #EmergencyMedicine #UltrasoundTraining #ClinicalSkills #MedicalEducation #PointOfCareUltrasound #Radiology #POCUSFocused @RJonesSonoEM @argaizr @mount_md @Cristin @NephroP @KalagaraHari @siddharth_dugar
POCUS Focused tweet media
English
3
2
45
2.9K
POCUS Focused
POCUS Focused@1POCUSFocused·
🔍 A detail you might miss on first glance: This sagittal view offers a clue to the cause of this patient’s right flank pain — if you know where to look. Answer: There is no hydronephrosis, but the proximal ureter is visualized, and a ureteral stent (red arrow) is clearly seen within the ureter. 🧠 Learning tip - POCUS Focused Principle: “Your brain loves connections, not isolated facts.” Don’t memorize this as a standalone image. Link it to what you already know: Where the ureter runs, how hydronephrosis appears, and how stents should sit. Making these connections strengthens your recall and builds true pattern recognition during real cases. 🎯 Want daily case-based training that reinforces patterns through real-world connections? Explore specialty-focused POCUS training at pocusfocused.com/specialties #POCUS #RenalUltrasound #Ureter #UreteralStent #Hydronephrosis #UltrasoundTraining #ClinicalSkills #MedicalEducation #PointOfCareUltrasound #EmergencyMedicine #Radiology #POCUSFocused @RJonesSonoEM @argaizr @mount_md @Cristin @NephroP @KalagaraHari @siddharth_dugar
POCUS Focused tweet media
English
1
4
5
1.1K
POCUS Focused
POCUS Focused@1POCUSFocused·
" A hospitalist colleague told me something that stuck with me: "I went to a 2-day POCUS course three years ago. Felt confident when I left. Never used it once I got back to work. Now I don't remember anything." This isn't about motivation. It's about how our brains actually work. The forgetting curve is real: Without strategic reinforcement, clinical skills deteriorate rapidly. This is one of the most well-documented phenomena in cognitive science. The problem with most POCUS training? It violates everything we know about skill retention. One intense weekend of learning → No structured follow-up → Skills disappear within months Here's what actually works: Spaced repetition: Learning distributed over time, not crammed into two days Retrieval practice: Actively recalling information, not passively watching videos Clinical application: Using skills on real patients, building confidence through practice. " - @mount_md This is why we built our Hospitalist POCUS course around these principles. Not because it's trendy - because it's the only approach that creates lasting competency. You're investing time and money in training. Shouldn't it actually stick? See how our approach is different: pocusfocused.com/internal-medic… #HospitalistPOCUS #MedicalEducation #CME #ClinicalSkills @RJonesSonoEM @NephroP @KalagaraHari @siddharth_dugar
English
0
4
10
618
POCUS Focused
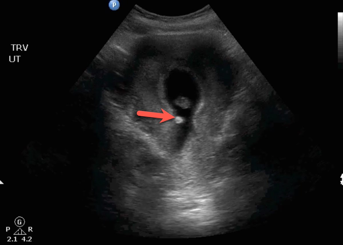
POCUS Focused@1POCUSFocused·
🌘 A subtle but significant early-pregnancy finding: This ultrasound reveals a feature that often signals a nonviable pregnancy. Answer: A calcified yolk sac, seen here in a patient with early pregnancy loss (pregnancy failure). 🧠 POCUS Focused Principle: “Learning feels harder when it’s working.” Findings like a calcified yolk sac are easy to overlook. When you challenge yourself to interpret these subtle patterns — even when it feels difficult — you build durable, long-term diagnostic skill, not just momentary recall. Desirable difficulty is what makes these rare signs stick. 🎯 Want daily case-based training that builds ultrasound instincts through productive challenge? Explore specialty-focused POCUS training at pocusfocused.com/specialties #POCUS #EarlyPregnancy #OBUltrasound #YolkSac #PregnancyLoss #UltrasoundTraining #ClinicalSkills #MedicalEducation #PointOfCareUltrasound #EmergencyMedicine #Radiology #POCUSFocused @RJonesSonoEM @argaizr @mount_md @NephroP @KalagaraHari @siddharth_dugar
POCUS Focused tweet media
English
1
4
31
1.6K