
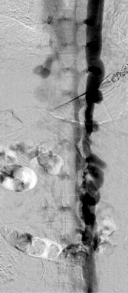
@ChengaziMD @t_intheleadcoat @SDhandMD @drochohan @kmadass @JayMathewsMD @CHICKVIR @Dr_Sudi @DrJayMohan @hkdamonster @SyedYNaqvi1 Nice save with minimal XR, a little IVUS as well? Lucky to have your expertise. I’ve also been preferring IJ when possible
English









































