ทวีตที่ปักหมุด

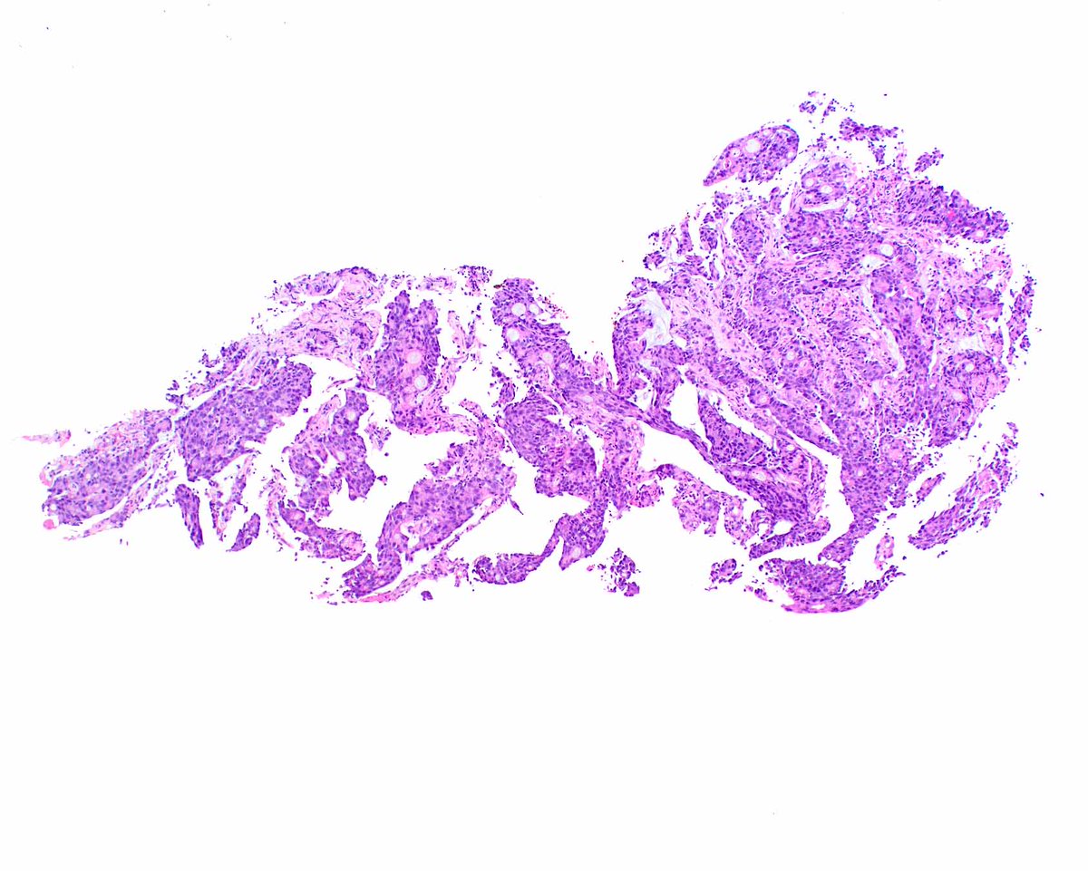
This mismatch repair deficient colorectal carcinoma probably has a BRAF mutation, a surrogate way to indicate that the patient does not have Lynch syndrome. www.innovative sciencepress.com


English
Innovative Science Press
3.3K posts

@science_press
Innovative Science Press is dedicated to the advancement of pathologists by producing and disseminating educational textbooks.









None of this would be possible without the incredible support of @LSUHS and our Chair @ZhaiJim Grateful for a department that invests in its residents and believes in their growth. That support means everything 🙏 #Pathology @pathologysocial #Pathtwitter




Our University of Miami colleague Monica Garcia-Buitrago has pulled off introducing the Spanish Edition of The GI Pathology Survival Guide in tandem with the English second edition. #UMiamiPath