Doc Navarrow

4.8K posts

Doc Navarrow banner
Doc Navarrow

Doc Navarrow

@DocNavarrow

Neuroradiologist. MD, PhD, EDiNR Academic Editor at European Journal of Cancer Care Advisory Editorial Committee, @RevistaRADIOLO2 Medical AI trainer

HGUC, Castellón انضم Ağustos 2022
553 يتبع3.9K المتابعون
تغريدة مثبتة
Doc Navarrow
Doc Navarrow@DocNavarrow·
🙏Ha sido un honor y un privilegio recibir el Premio al mejor trabajo publicado en la revista Radiología, en un marco tan emblemático como la Real Academia Nacional de Medicina. Un reconocimiento en el #IDoR2025 que celebro con gratitud y orgullo.
Salvador Pedraza@salvasapedraza

Español
2
1
25
6.2K
Doc Navarrow
Doc Navarrow@DocNavarrow·
@ecalabr Great question. I tend to report it because subpial hemorrhage is rarely isolated. It often points to underlying cortical injury, commonly hypoxic-ischemic or venous. Different from SAH, it implies parenchymal involvement and may carry prognostic implications.
English
0
0
0
9
Doc Navarrow
Doc Navarrow@DocNavarrow·
@D82436Bmb Interesting case, thanks for sharing. It reinforces how bilateral basal ganglia patterns can be seen across different inflammatory and autoimmune conditions, including Neuropsychiatric Systemic Lupus Erythematosus.
English
0
0
0
1
Doc Navarrow أُعيد تغريده
Doc Navarrow
Doc Navarrow@DocNavarrow·
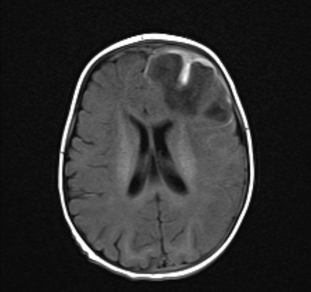
👱‍♀️58F with 2 weeks of confusion, behavioral change, and seizures. Labs unremarkable, renal function normal. 🍴On MRI I see… a fork? 👀What do you see?
Doc Navarrow tweet media
English
11
14
69
19.6K
Doc Navarrow
Doc Navarrow@DocNavarrow·
@nirmalregency Fair point. This case is better called autoimmune encephalitis, not limbic encephalitis. No mesial temporal involvement on MRI. “Autoimmune” defines etiology. “Limbic” defines location. Using “autoimmune limbic encephalitis” as a blanket term is misleading.
English
0
0
0
112
Doc Navarrow
Doc Navarrow@DocNavarrow·
@nirmalregency Fair point. This case is better called autoimmune encephalitis, not limbic encephalitis. No mesial temporal involvement on MRI. “Autoimmune” defines etiology. “Limbic” defines location. Using “autoimmune limbic encephalitis” as a blanket term is misleading.
English
0
0
1
138
Doc Navarrow
Doc Navarrow@DocNavarrow·
@OAndrePa Strong association, yes. But MS is likely multifactorial. EBV may be necessary, not sufficient.
English
1
0
0
25
André
André@OAndrePa·
@DocNavarrow It is so strongly associated that a vaccine against EBV is being developed for decades to try to stop MS development.
English
1
0
1
49
Doc Navarrow
Doc Navarrow@DocNavarrow·
🦠Is Epstein-Barr virus really linked to multiple sclerosis? 🤔Interesting observation supporting a possible long preclinical phase. Makes you wonder how many “silent” biological signals precede MS by years.
Dr. Brandon Beaber@Brandon_Beaber

A woman was diagnosed with MS in 2019. A cerebrospinal fluid sample (obtained from spinal anaesthesia in a research study) 15 years prior showed antibodies against Epstein-Barr virus (EBV). A case report from Spain pubmed.ncbi.nlm.nih.gov/41841779/

English
2
6
21
1.8K
秋本和美
秋本和美@wAvydRR6z0niUMr·
@DocNavarrow この症例、勉強になりました。ありがとうございます。
日本語
1
0
1
54
Doc Navarrow
Doc Navarrow@DocNavarrow·
✅Intradural extramedullary capillary hemangioma of the cauda equina. 🩸Often mistaken for schwannoma or meningioma due to overlapping imaging features. Unfortunately, its higher vascularity carries an increased risk of intraoperative bleeding. doi.org/10.1055/s-0045…
Doc Navarrow@DocNavarrow

👩‍💼25F with 1-year history of low back pain and progressive left-sided radiculopathy, no motor deficit, normal reflexes. Symptoms worsening despite conservative management. 🩺What’s your differential?

English
2
9
48
2.2K
Doc Navarrow
Doc Navarrow@DocNavarrow·
✅Intradural extramedullary capillary hemangioma of the cauda equina. 🩸Often mistaken for schwannoma or meningioma due to overlapping imaging features. Unfortunately, its higher vascularity carries an increased risk of intraoperative bleeding. doi.org/10.1055/s-0045…
Doc Navarrow tweet media
English
0
0
4
267
Doc Navarrow أُعيد تغريده
Doc Navarrow
Doc Navarrow@DocNavarrow·
👩‍💼25F with 1-year history of low back pain and progressive left-sided radiculopathy, no motor deficit, normal reflexes. Symptoms worsening despite conservative management. 🩺What’s your differential?
Doc Navarrow tweet media
English
6
6
40
6.7K