53 posts

@AntuneP
Diagnostic radiologist - interested in cardiothoracic imaging.
São Paulo, São Paulo, Brasil Katılım Eylül 2018
189 Takip Edilen76 Takipçiler
[email protected] retweetledi

Thanks @urotoday for highlighting this work!
@AntuneP, @SangeetGhai, @sam311092, @StephanAltmayer and team
@imagingtoronto
urotoday.com/recent-abstrac…

English

@AdrianoDiasRad @ClinNuclearMed @imagingtoronto @UofTMedIm @NuclearMD @SAR_ProstateDFP @EsurOffice @ESUR2023 @ImagingProstate Thank you for your support throughout this work. 🫡
English
[email protected] retweetledi

👏 Happy to share this Meta-Analysis just published in @ClinNuclearMed!
👉 Comparison of mpMRI and the Combination of PSMA PET+MRI for the Intraprostatic Diagnosis of Prostate Cancer.
Congrats to Giovanni, Pedro and our team!
pubmed.ncbi.nlm.nih.gov/38776063/

English
[email protected] retweetledi

"A Toronto hospital was just rated as one of the best in the world" -- that's us!
UHN's Toronto General Hospital is now considered the third-best overall hospital and #1 publicly-funded hospital in the world!
Read more from @blogTO ⬇
blogto.com/city/2024/02/t…
English
[email protected] retweetledi

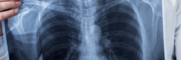
➡️Classical CXR of Rt Upper Lobe collapse
1-Homogenous opacity Rt upper & middle zones with a ‘S’ shaped lower border (Marked by green arrow)
2- Another small opacity just below the medial part of S
shaped border (Marked Red arrow)
3- Tenting of Right Hemidiaphragm.
1️⃣ Cont👇

Tariq Mir 🇵🇰@TSM_Humanist
Describe/name findings on CXR-PA View. #MedX #MedEd #MedTwitter
English

We are closing 2023! This year was one of most challenging of my career! We lost 50 % of our division and the clinical duties were huge! Beside this, our Chest division in @UflRad published 23 papers with more than 1100 citations. The partnership with RailLAB was fundamental! 1/3
English

@BrunoLimaMDPhD 👏🏽👏🏽👏🏽
There’s nothing like the good times we can spend with our families. They are priceless. Well done my friend 🎄🎁🎉
Happy holidays 🎅
English

@DanielVargasMD @RadioGraphics @marcosmestas @DulcichGonzalo @JordiBroncano @RanishKhawaja @RSNA Congrats!!!
English

Very happy to see that our exhibit on Congenital Lung Anomalies was identified for @RadioGraphics !
Congratulations to @marcosmestas @DulcichGonzalo on an amazing job!
@JordiBroncano @RanishKhawaja
@RSNA #RSNA23

English
[email protected] retweetledi

@KateHanneman @CsFuss @bdallen6 @DanielVargasMD @SuhnyAbbara @FelipeSanchezMD @ElsieRadiology @DrLindaMoy @marly_van_assen @kielar_ania @sanjeevbhalla @cookyscan1 @Mbwaitken @ayakamaya @felstorres @karen_ordovas @Davidson_Malc @LJProbyn @Mastrodicasa_MD @GauravGulsin @fcallemd @Robi_Catania @dianalitmano @asset25 @GauriKarur @HsiaoMDPhD @AlyFawzy_ @mingyen_ng It was great to see you again! Super excited about the upcoming opportunity to collaborate and gain knowledge from you and other professors, like Dr. @felstorres, @ElsieRadiology , and Dr. @minipakkal at UHN! Really looking forward to this adventure.
English
[email protected] retweetledi

So many happy memories from
#RSNA23! Until next time ☺️
@CsFuss @bdallen6 @DanielVargasMD @SuhnyAbbara @FelipeSanchezMD @ElsieRadiology @DrLindaMoy @marly_van_assen @kielar_ania @sanjeevbhalla @cookyscan1 @Mbwaitken @ayakamaya @felstorres @karen_ordovas @Davidson_Malc @LJProbyn


English

@AntuneP Adenocarcinoma?
Español

🌟 Pro tip: "What is the Radiologist's Best Friend? - The Previous Examination, always!" 🕵🏻♂️
Have you seen Lung-Rads 0 transform to 4B after infection resolution? What was your "aha" moment? 💡#Radiology #LungHealth #HeartFailure #MedTwitter #ChestRad
English












