Ashka Patel, DO retweetledi

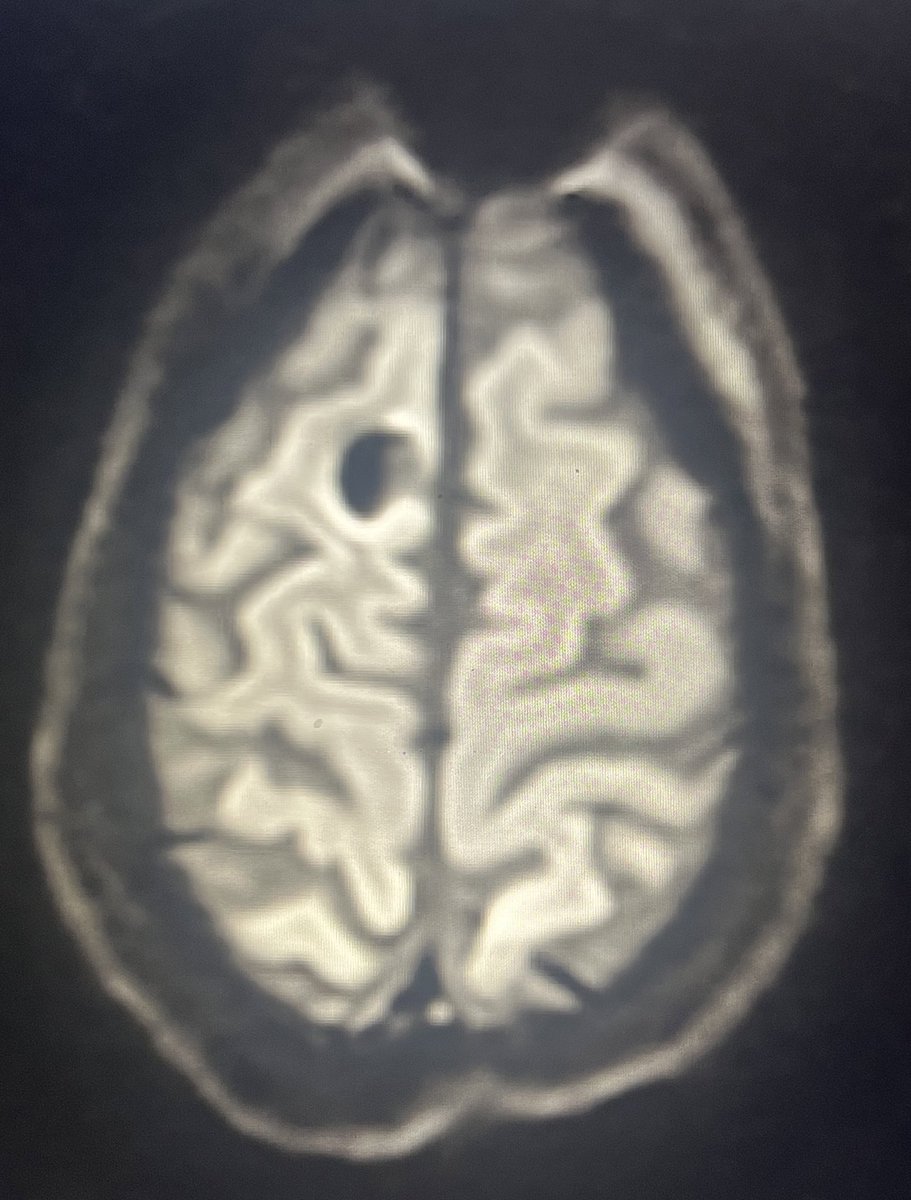
Measles is a highly contagious virus with a primary case reproduction number of 12 to 18.
It is currently spreading rapidly owing to reduced measles vaccination coverage
Excellent 🆕💫review @NEJM
Measles 2025 #IDXposts
nejm.org/doi/full/10.10…




English

























