B 🔬

5.5K posts

B 🔬

B 🔬

@Ba_P10

Anatomical pathologist

Katılım Temmuz 2019
678 Takip Edilen672 Takipçiler
B 🔬 retweetledi
Syed Z. Ali
Syed Z. Ali@sza_jhcyto·
"Cannon Ball" or "Wrecking Ball" is a classic (but definitely NOT a specific) cytological feature of "Metastatic Breast Ductal Carcinoma" in serous effusions. (Cytospin prep, 2nd photo from Chiang Mai, Thailand)
Syed Z. Ali tweet mediaSyed Z. Ali tweet media
English
3
27
103
3.4K
B 🔬 retweetledi
Mark Ong
Mark Ong@DrMarkOng·
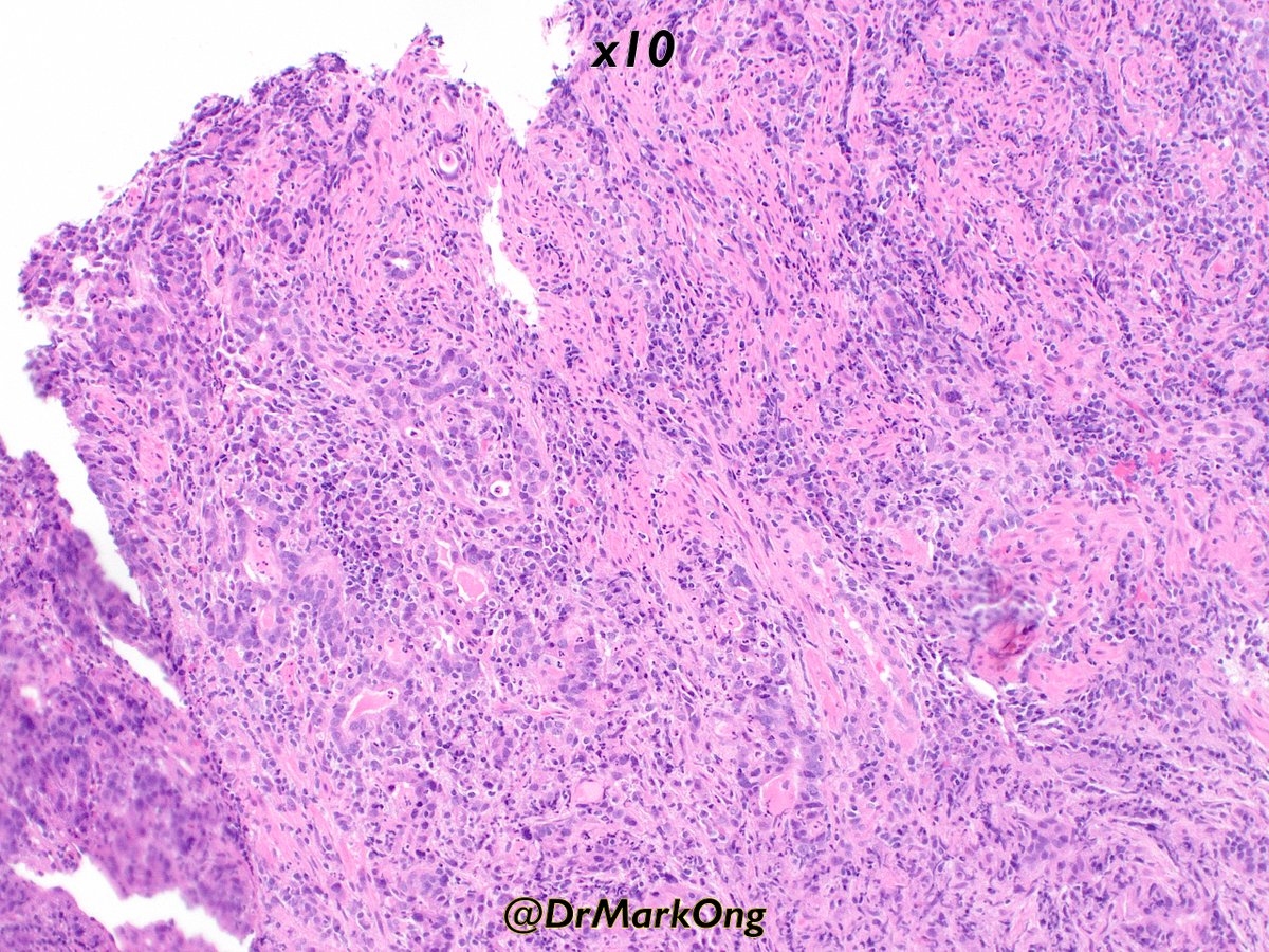
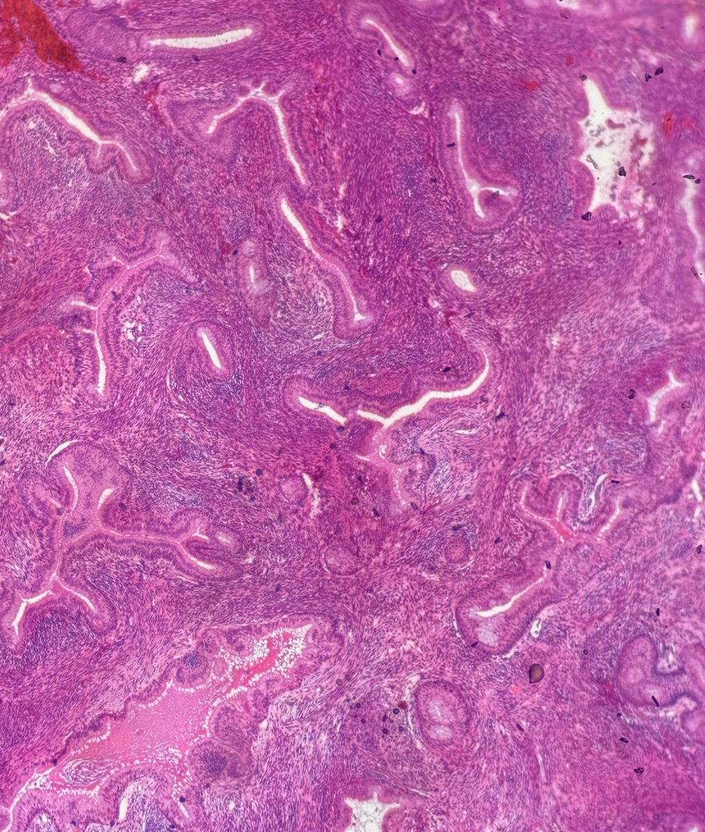
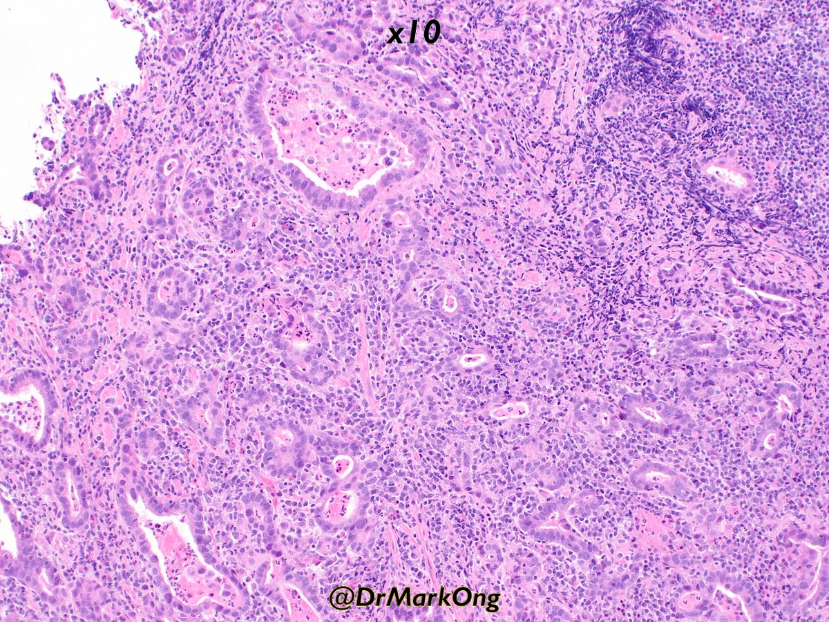
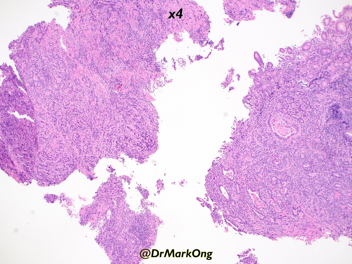
Endoscopic biopsies of a gastric mass from an adult. What stains would you like to see? #GIpath #PathX #pathology
Mark Ong tweet mediaMark Ong tweet mediaMark Ong tweet mediaMark Ong tweet media
English
14
18
47
4.6K
B 🔬 retweetledi
Tristan Rutland MBBS FRCPA IFCAP
Tristan Rutland MBBS FRCPA IFCAP@TristanRutland7·
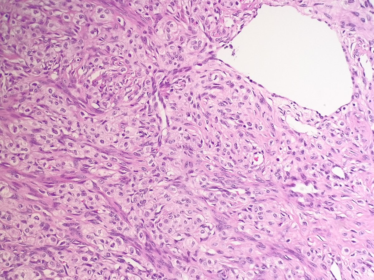
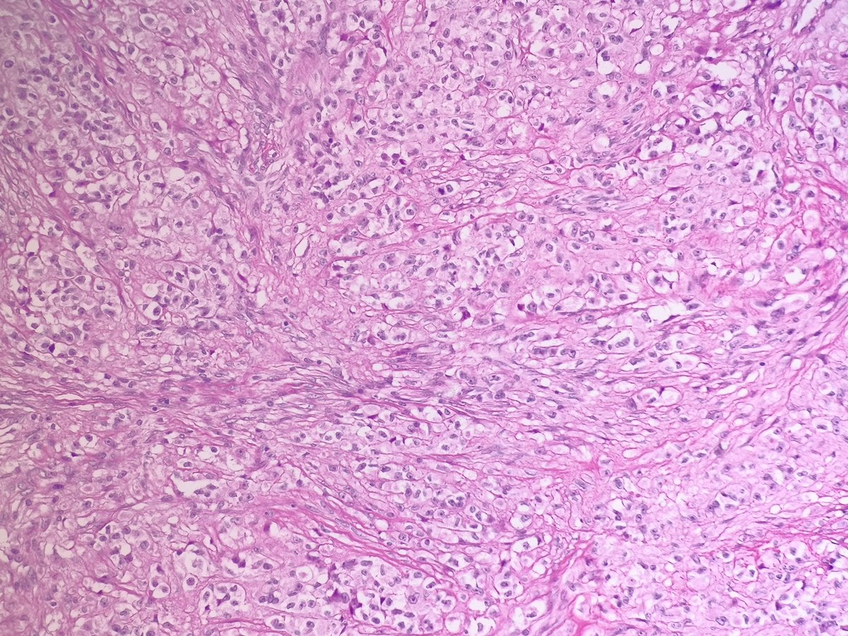
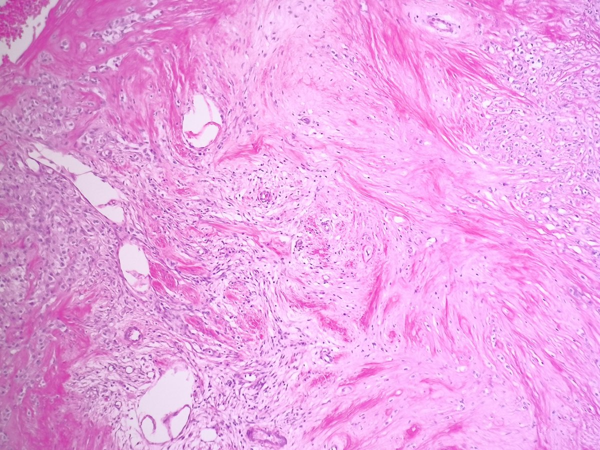
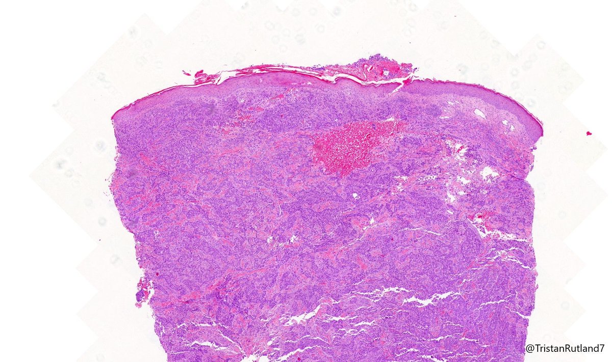
🔬𝐓𝐫𝐢𝐩𝐥𝐞-𝐍𝐞𝐠𝐚𝐭𝐢𝐯𝐞 𝐁𝐫𝐞𝐚𝐬𝐭 𝐂𝐚𝐫𝐜𝐢𝐧𝐨𝐦𝐚 (𝐍𝐒𝐓) 🔬 ⚠️ Pitfall alert 1️⃣ TNBCs can exhibit a range of morphologies, from metaplastic (sometimes resembling salivary gland tissue) to poorly differentiated or undifferentiated forms. 2️⃣ DCIS is usually absent. 3️⃣ GATA3 may be lost 4️⃣ SOX10 is usually positive (mimic melanoma). 5️⃣ 𝐃𝐢𝐚𝐠𝐧𝐨𝐬𝐭𝐢𝐜 𝐓𝐢𝐩: Always do a keratin and review patients history! #Breastpath #Dermpath #Pathtwitter #Pathresidents
Tristan Rutland MBBS FRCPA IFCAP tweet mediaTristan Rutland MBBS FRCPA IFCAP tweet mediaTristan Rutland MBBS FRCPA IFCAP tweet mediaTristan Rutland MBBS FRCPA IFCAP tweet media
English
0
37
118
6.6K
B 🔬 retweetledi
Charlie Herndon
Charlie Herndon@DrCycloPath·
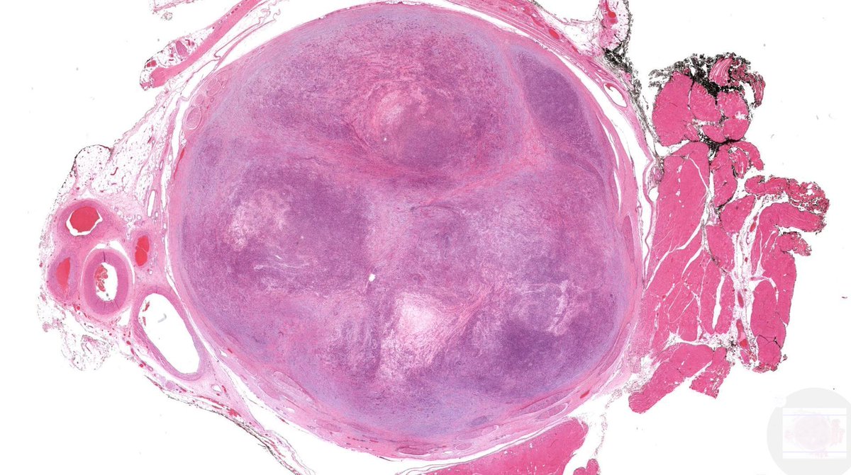
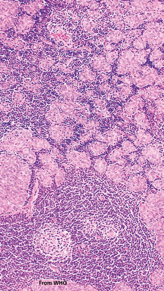
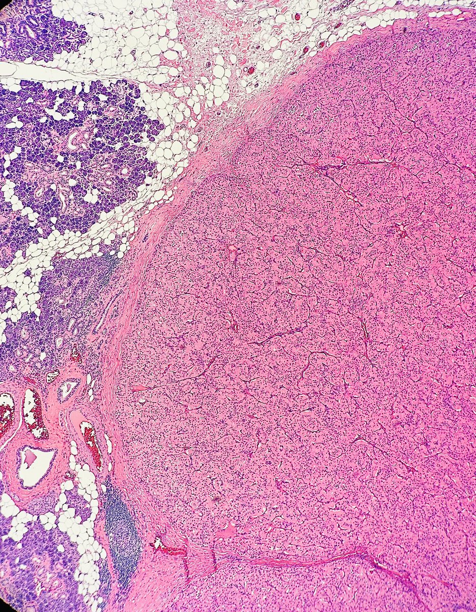
60-year-old man with an incidental mediastinal mass. What is the diagnosis? A) True thymic hyperplasia B) Thymic follicular hyperplasia C) Thymoma ─ Type AB D) Micronodular thymoma with lymphoid stroma #Pathology #PathTwitter
Charlie Herndon tweet media
English
4
34
104
9.6K
Miruna Popescu, MD
Miruna Popescu, MD@MirunaPopescu13·
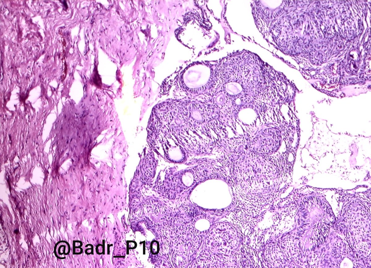
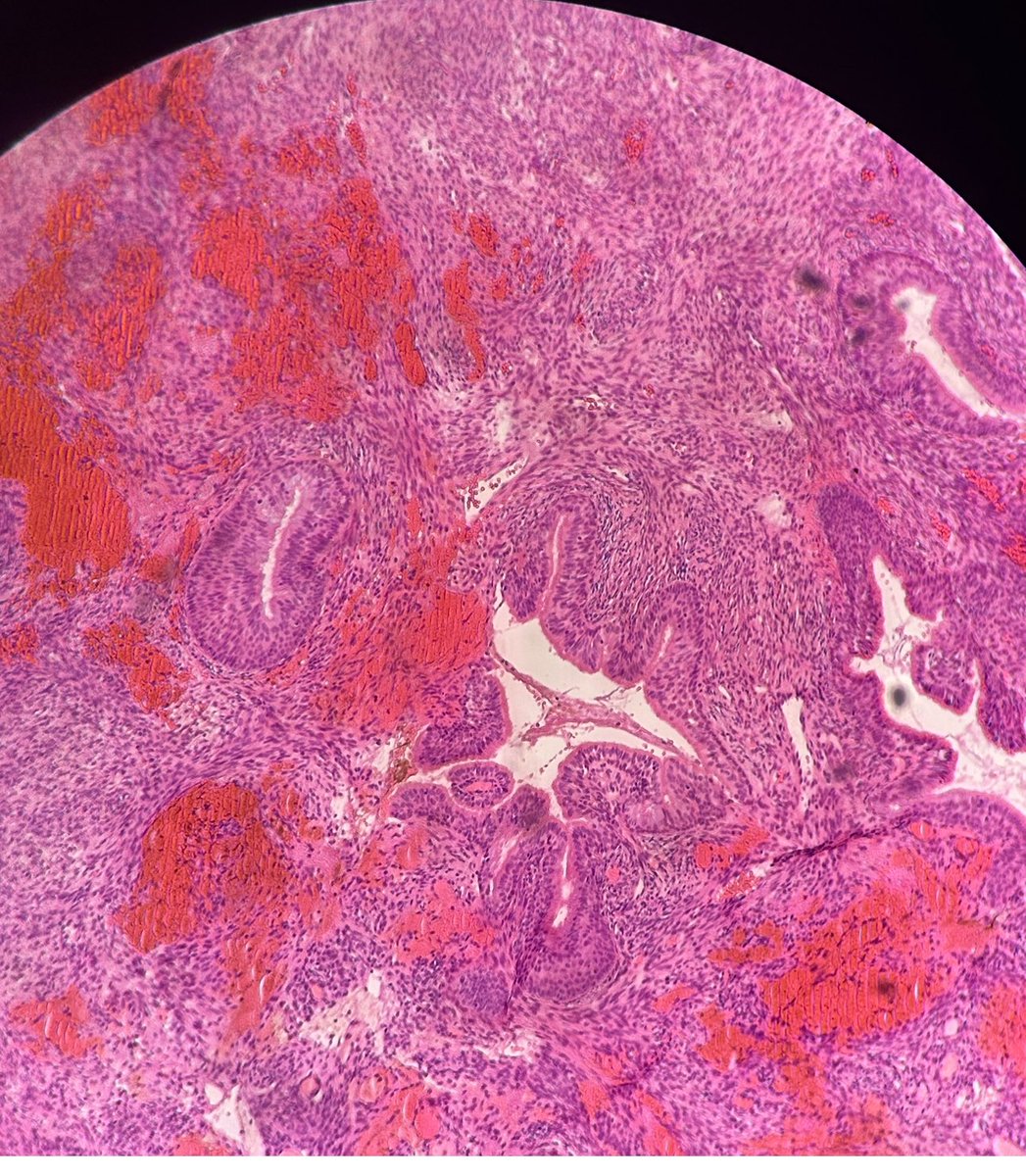
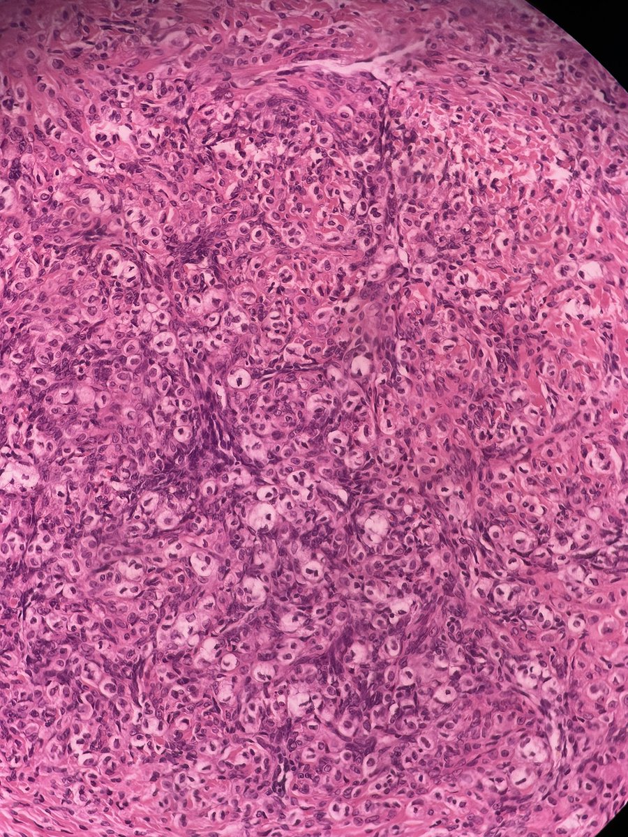
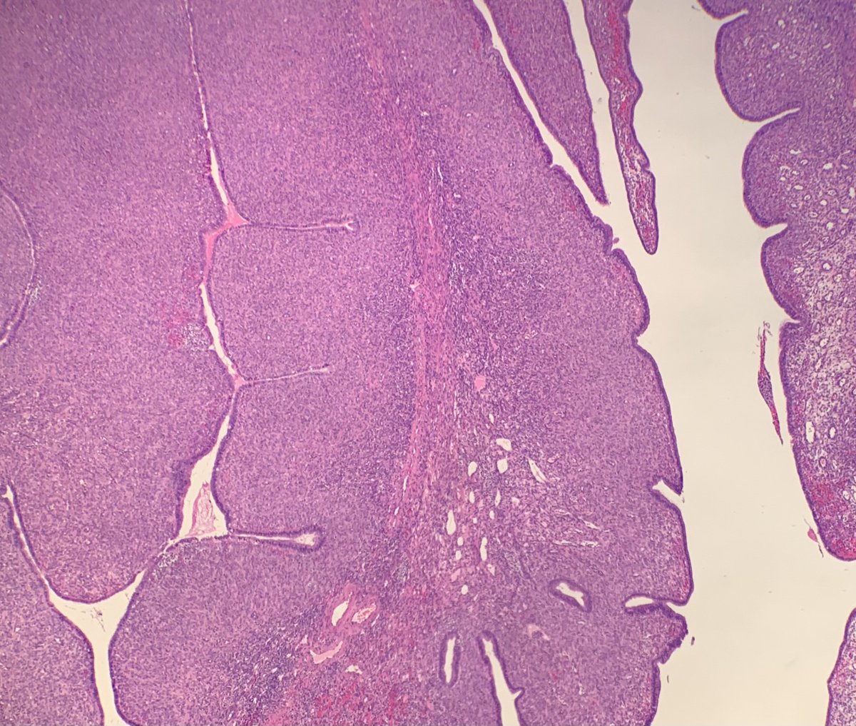
Sclerosing stromal tumor. Pseudolobular growth, staghorn vessels, stromal sclerosis, admixture of two cell populations in a "jumbled" pattern: spindled and epithelioid cells, latter w/ plump pale cytoplasm & monomorphic round vesicular nuclei. Here is an example: x.com/MirunaPopescu1… Another example in images below
Miruna Popescu, MD tweet mediaMiruna Popescu, MD tweet mediaMiruna Popescu, MD tweet mediaMiruna Popescu, MD tweet media
English
1
0
16
464
B 🔬
B 🔬@Ba_P10·
B 🔬 tweet mediaB 🔬 tweet mediaB 🔬 tweet mediaB 🔬 tweet media
ZXX
0
0
2
195